
➤ 患者信息:孟XX,女,59岁
➤ 患者主诉:因“右侧肢体无力半月余”入院
➤ 病史简介:患者于入院前半月无明显诱因出现右侧肢体无力,症状逐渐加重,遂至医院就诊,行头颅平扫CT示:1. 左侧顶叶占位,周围水肿,脑疝形成,建议颅脑MRI平扫,增强及MRS进一步检查;2. 脑白质脱髓鞘病变,现患者为求进一步诊治,就诊于我院,门诊以“颅内占位性病变”收住入院。患者自患病以来神志清,精神可,无发热,头晕头痛,咳嗽咳痰,胸闷气短,恶心呕吐,腹痛腹泻,乏力盗汗等不适,饮食睡眠良好,二便如常,近期体重未见明显增减。
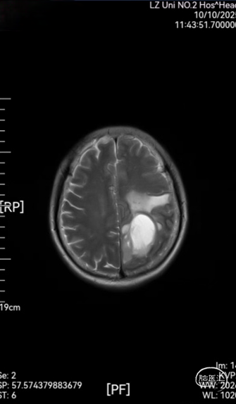
➤ 颅脑MRI平扫,增强及MRS结果:双侧大脑半球对称,灰白质比例正常,左侧顶叶见囊实性长T1长T2信号影,实性成分呈稍长T1稍长T2信号,T2-FLAIR及DWI呈稍高信号,增强后呈边缘明显环形强化,大小约29mm×48mm×46mm,周围脑实质见斑片状稍长T1稍长T2水肿信号影,左侧侧脑室轻度受压变窄;MRS示双侧海马区Cho峰明显升高,NAA峰无明显降低。双侧半卵圆中心及侧脑室旁可见散在斑片状稍长T1稍长T2信号,T2-FLAIR呈稍高信号,DWI呈等信号,边界模糊,增强后未见强化。各脑室,脑池大小形态正常,中线结构居中,幕下小脑,脑干无异常,矢状面扫描示垂体大小形态正常,强化均匀。颅脑MRA示双侧颈内动脉,大脑中动脉,大脑前动脉及大脑后动脉及其分支走行略僵硬,管壁毛糙,无明显局灶性增粗或变细。颅脑MRV示上矢状窦,直窦,窦汇,横窦及乙状窦显示良好,走行连续,未见明显增粗或狭窄。



图1:术前头颅MRI平扫,增强及MRS
➤ 诊断意见:1. 左侧顶叶占位,周围脑实质明显水肿,考虑高级别胶质瘤可能,请结合临床。2. 双侧半卵圆中心及侧脑室旁散在缺血性脑白质病变(改良Fazekas I级)。3. 颅脑动脉轻度硬化征象。4. 颅脑MRV未见明显异常。
➤ 手术治疗:大脑深部病损切除术
➤ 骨瓣固定:使用3个CRANIAL LOOPTM PEEK颅骨固定器进行骨瓣固定并使用2个CRANIAL COVERTM 颅骨孔盖进行铣刀钻孔封堵,之后回置骨瓣。




图2:CRANIAL LOOPTM PEEK颅骨固定器及CRANIAL COVERTM颅骨孔盖联合应用
➤ 术后检查:术后第2天,第8天,第12天复查头颅CT(如图3),术后术区无渗血,骨瓣固定良好,无错位及膨出,且CT无伪影,患者顺利出院。



图3:术后第2天,第8天,第12天复查头颅CT
CRANIAL LOOPTM PEEK颅骨固定器与CRANIAL COVERTM 颅骨孔盖联合应用临床经验分享
CRANIAL LOOPTM PEEK颅骨固定器及CRANIAL COVERTM颅骨孔盖均由西班牙NEOS公司研发并生产,是由PEEK-OPTIMATM材料制成的开颅术后颅骨骨瓣固定及颅骨毛刺孔封堵产品。
CRANIAL LOOPTM PEEK颅骨固定器为颅骨骨瓣固定产品,CRANIAL COVERTM颅骨孔盖仅适用封堵开颅钻孔,不能用于颅骨骨瓣固定。但是,对于开颅手术的患者,两者可以搭配联合使用(如下图)。


CRANIAL LOOPTM PEEK颅骨固定器与CRANIAL COVERTM颅骨孔盖联合应用操作步骤
1.
根据骨瓣的大小以及骨缝的间距选择3-4个合适大小的颅骨固定器进行固定,每个颅骨固定器间距需<4cm。
2.
如需使用CRANIAL COVERTM颅骨孔盖封堵铣刀钻孔,也需要根据钻孔的大小选择合适的孔盖尺寸并在骨瓣放回前提前植入。CRANIAL COVERTM颅骨孔盖植入前需去除钻孔周边残留物。
3.
使用CRANIAL COVERTM颅骨孔盖封孔开颅手术铣刀钻孔时,先植入CRANIAL COVERTM颅骨孔盖底盘短头至颅骨下,底盘长头留在活动骨瓣下部。
4.
CRANIAL LOOPTM PEEK颅骨固定器及CRANIAL COVERTM颅骨孔盖植入后再放回骨瓣,先顺次收紧CRANIAL LOOPTM PEEK颅骨固定器至90%,之后再顺次收紧CRANIAL COVERTM颅骨孔盖至90%,从而保证骨瓣受力平衡。


5.
首次收紧至90%之后,再提拉收紧每个CRANIAL LOOPTM PEEK颅骨固定器及CRANIAL COVERTM颅骨孔盖,做到二次收紧。
6.
为了达到最佳收紧效果,拉力保持约 4N (4kg),拉力过小,不易收紧盘面;拉力过大,可导致手柄或轧带断裂。
7.
用剪刀在施压器和手柄之间的区域剪断CRANIAL LOOPTM PEEK颅骨固定器及CRANIAL COVERTM颅骨孔盖轧带,并取下施压器。
Step8(图6)
轧带采用自切割设计,用拇指将多余的轧带从上底盘伸出的点处弯曲,弯曲方向应平行于间隙并朝向固定器外侧。再来回移动两三次,便可以移除多余的轧带。
Step9(图7)
对其他轧带重复该操作步骤,完成轧带移除。移除后用手轻轻敲击骨瓣,确认骨瓣是否固定牢固。


侯博儒 | 主任医师
医学博士、博士研究生导师,甘肃省领军人才,甘肃省卫生健康行业骨干人才
兰州大学第二医院神经与心理卫生科党总支第一支部书记
甘肃省神经内镜诊疗行业技术中心副主任
甘肃省抗癌协会脑胶质瘤专业委员会常务委员
甘肃省康复医学会意识障碍康复专业委员会常务委员
甘肃省科技专家库专家、甘肃省医学会医学鉴定专家、甘肃省保健专家库专家
兼任中国医师协会神经外科医师分会第五届委员会青年委员会委员,中国医师协会神经外科医师分会颅脑创伤学组委员,中国医疗保健国际交流促进会神经损伤学分会委员,中国抗癌协会会员,中国医师协会神经外科医师分会会员,中国解剖学会神经外科分会会员,《中华行为医学与脑科学杂志》的第五届编委。
擅长:颅脑创伤,特别是重型颅脑创伤合并多发伤病人的救治、颅脑创伤病人的亚低温脑保护及各类颅脑创伤手术设计及处理、脑出血的现代规范化的精准、微创治疗(小骨窗显微镜、脑室镜下清除血肿以及机器人定位下钻孔冲洗引流术)、采用最先进的电子计算机成形技术行颅骨重塑和修补术、各类脑积水脑室腹腔分流术、脑部各种良恶性肿瘤(脑膜瘤、脑胶质瘤、听神经瘤、垂体瘤等)及脊髓各种肿瘤的显微外科治疗等方面达到省内绝对领先,国内先进水平。每年完成神经外科疑难手术约250台,其中三、四级手术200台左右。
如需详情可点击视频观看

南京嘉得乐医疗设备有限公司
声明:脑医汇旗下神外资讯、神介资讯、神内资讯、脑医咨询、Ai Brain 所发表内容之知识产权为脑医汇及主办方、原作者等相关权利人所有。





