
2025年11月1日,神经外科领域权威期刊Neurosurgical Focus(JCR Q1/中科院二区/IF:3.0)在线发表了解放军总医院第一医学中心神经外科徐兴华、陈晓雷等的研究成果,题为“Endoscopic management of intraventricular and subarachnoid neurocysticercosis: technical workflow and clinical outcome”,系统总结了脑室及蛛网膜下腔囊虫病(IVSN)的内镜微创治疗流程和长期随访效果。

脑囊虫病是全球流行的重要寄生虫性中枢神经系统疾病,由猪带绦虫幼虫感染引起,其中脑室及蛛网膜下腔型脑囊虫病(IVSN)可引起严重阻塞性脑积水,传统开放手术创伤大、并发症多。本研究为临床提供了全流程、标准化、长期验证的微创内镜治疗方案。
该回顾性研究纳入了2009年至2025年间接受神经内镜手术治疗的51例IVSN患者。患者平均年龄为43.4岁,其中74.5%的患者报告有食用含囊尾蚴猪肉的历史,与以往流行病学报告一致。研究的平均随访时间长达98.3个月(约8.2年),提供了评估长期疗效的坚实基础。
研究人员在术前影像学评估中整合了两项关键创新,以解决常规影像学检查难以发现脑室或脑池内囊肿的挑战。
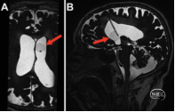
● 一是高分辨率3D SPACE MRI的应用:常规T1或T2加权MR图像上,囊肿内容物信号强度与CSF相似,囊壁通常不清晰,导致IVSN难以诊断。研究人员纳入了高分辨率、重T2加权的3D SPACE(sampling perfection with application-optimized contrast using different flip angle evolutions)序列。结果显示:3D SPACE MRI在所有病例中(100%)都能清晰地显示虫囊包膜,其内容物在3D SPACE图像上呈现出比CSF显著较低的信号强度。
● 二是下肢侧位X线片检查作为诊断辅助:研究将下肢侧位X线片纳入术前影像协议,用于筛查下肢肌肉中的微小肌内钙化。结果显示:在51例患者中,有48例(94.1%)通过下肢X线片发现了肌内钙化。该方法的检出率高于传统的血清ELISA囊虫抗体检测(阳性率为88.2%)。这是首次报道将下肢侧位X线片作为诊断辅助手段,它是一种经济有效且易于获取的筛查方法。
研究确立的综合流程结合了先进影像技术、灵活内镜技术和标准化药物治疗。手术主要目的是恢复CSF循环通路和切除囊肿,所有手术均采用额角入路进入侧脑室。内镜手术不仅包括囊肿切除,还常规实施了内镜下第三脑室底造瘘术(ETV)和透明隔造瘘术(septostomy)。ETV和透明隔造瘘术有助于重建CSF通路,避免脑室腹腔分流管的高失败率。
研究结果显示,45例患者实现了囊虫完全切除(88.2%),术后未观察到新的神经功能缺损。颅内感染极少,仅发生2例(3.9%),均成功治愈,仅有9.8%的患者(5例)因交通性脑积水需要植入VP分流管。所有患者术后接受皮质类固醇(地塞米松)和口服阿苯达唑(15 mg/kg/天)至少6周,长期随访(平均98.3个月)期间,复发率极低,仅为2.0%(1例)。
研究证实,在高分辨率3D SPACE MRI的指导下,结合标准化的内镜手术(包括ETV和透明隔造瘘术),神经内镜治疗IVSN是一种安全且有效的方法,这一综合性流程实现了囊肿的全面切除和对疾病的长期控制,并保持了低并发症率和低复发率。该研究为IVSN的治疗提供了一个切实可行且可复制的标准化方案。据文献检索,该报道为全球第二大宗的脑室内囊虫病内镜治疗的报道,仅次于Proaño等人的报道(56例,Childs Nerv Syst. 2009)。
作者团队:Xinghua Xu, Jiashu Zhang, Zhiwang Guo, Ruochu Xiong, Shengkun Lang, Zhichao Gan, Xiaolei Chen.
论文链接/引用信息:Xu X, Zhang J, Guo Z, et al. Endoscopic management of intraventricular and subarachnoid neurocysticercosis: technical workflow and clinical outcome. Neurosurg Focus. 2025;59(5):E5. doi:10.3171/2025.8.FOCUS25686
陈晓雷 教授
解放军总医院
● 解放军总医院神经外科医学部主任医师,教授,医学部副主任
● 擅长影像导航下的脑重要功能区手术和神经内镜微创手术;在国内外杂志发表论文多篇,其中28篇以第一作者或通讯作者身份被SCI著名国际期刊收录;作为项目负责人获国家自然基金课题4项,负责国家重点研发项目课题1项,省部级课题1项;获国家发明专利1项,获实用新型专利2项
● 现任中国研究型医院学会精准神经外科专委会副主任委员兼秘书长,中国医师协会内镜分会神经内镜专业委员会委员,中国医师协会脑胶质瘤专业委员会委员,《中华外科杂志》《中华神经医学杂志》《临床军医杂志》编委;2023年荣获人民日报社评选的“国之名医·优秀风范”称号
点击或识别二维码,前往陈晓雷 教授学术主页
查看更多精彩内容
![]()
声明:脑医汇旗下神外资讯、神介资讯、神内资讯、脑医咨询、Ai Brain 所发表内容之知识产权为脑医汇及主办方、原作者等相关权利人所有。







