低压性脑积水(Low-pressure hydrocephalus,LPH)最初被定义为持续脑室扩大伴颅内压正常或偏低,且对负压引流具有临床和影像学反应的病症。该病症虽罕见但具有高致残率和死亡率。标准治疗方式为负压引流——即在外耳道(external auditory meatus,EAM)水平以下进行脑室外引流。文献记载了多种治疗方案,但长期来看这些治疗未必对所有患者都能产生理想效果,包括泵辅助脑脊液引流、卧位疗法、定制大直径导管、无阀门分流术以及神经内镜下第三脑室造瘘术(ETV)。本系列病例报道提出脑室腹腔分流术(ventriculoperitoneal shunt,VPS)的技术改良方案,通过将分流阀置于锁骨下区域,为LPH提供了一种新型有效的长期治疗手段。
根据既往文献描述的诊断标准,本研究纳入了3例LPH患者。简言之,入选标准为:既往接受过分流术、出现脑积水表现且无明确分流装置故障的患者。这些患者经负压引流治疗后,脑积水均获得临床及影像学改善。在条件允许时实施神经内镜下第三脑室造瘘术(ETV),并尝试逐步终止引流。若失败且仅能通过维持负压引流获得病情改善,则在床旁为脑室外引流(EVD)系统加装可控阀门(programmable valve)。锁骨下阀门的具体植入位置取决于患者直立位时能使临床及影像学改善维持24小时的EVD收集器(chamber)高度(与引流量无关)。阀门设置为中等阻力模式,便于术后根据临床和影像学进展进行调节。
手术技术要点:经Kocher点穿刺置入脑室端导管后,于锁骨或胸骨下方作切口,按标准术式置入阀门并与脑室导管连接。采用缝线固定阀门防止移位。腹腔端导管置入采用常规术式——作腹部切口进入腹腔后,使用分流器推进器将腹腔导管与阀门流出端连接器相接。所有病例均采用配备抗虹吸装置(ASD)的可控调压阀门。
研究记录了患者初诊情况、人口统计学特征、临床进程以及分流术前的干预措施类型,同时统计术后住院时间和随访状况等结局指标。所有手术均获得患者知情同意,病例报告符合CARE清单规范。本研究经本院当地机构审查委员会审核免予监管。
共纳入3例患者,人口统计学特征及结局指标总结见表1。患者临床表现多样,包括头痛、恶心/呕吐、颅神经功能障碍、步态异常及意识状态改变。所有患者均有分流术史,从初次确诊到发生LPH的时间间隔为12个月至40年不等。住院期间未记录到并发症。所有患者均接受负压引流治疗(压力范围0至-20 cm H2O),其中1例联合颈部包扎辅助治疗,仅1例符合ETV手术指征。所有患者终止EVD尝试均失败,最终手术中植入了带抗虹吸装置的可控调压阀门(programmable differential pressure valves),术后根据需要调至最低设置参数。分流术前EVD留置时间为12-42天,术后患者均于第2天出院。出院时及1个月随访时所有患者神经功能均恢复至基线水平。其中2例在6个月和12个月随访时无并发症,第3例于分流术后2个月因心脏并发症死亡。
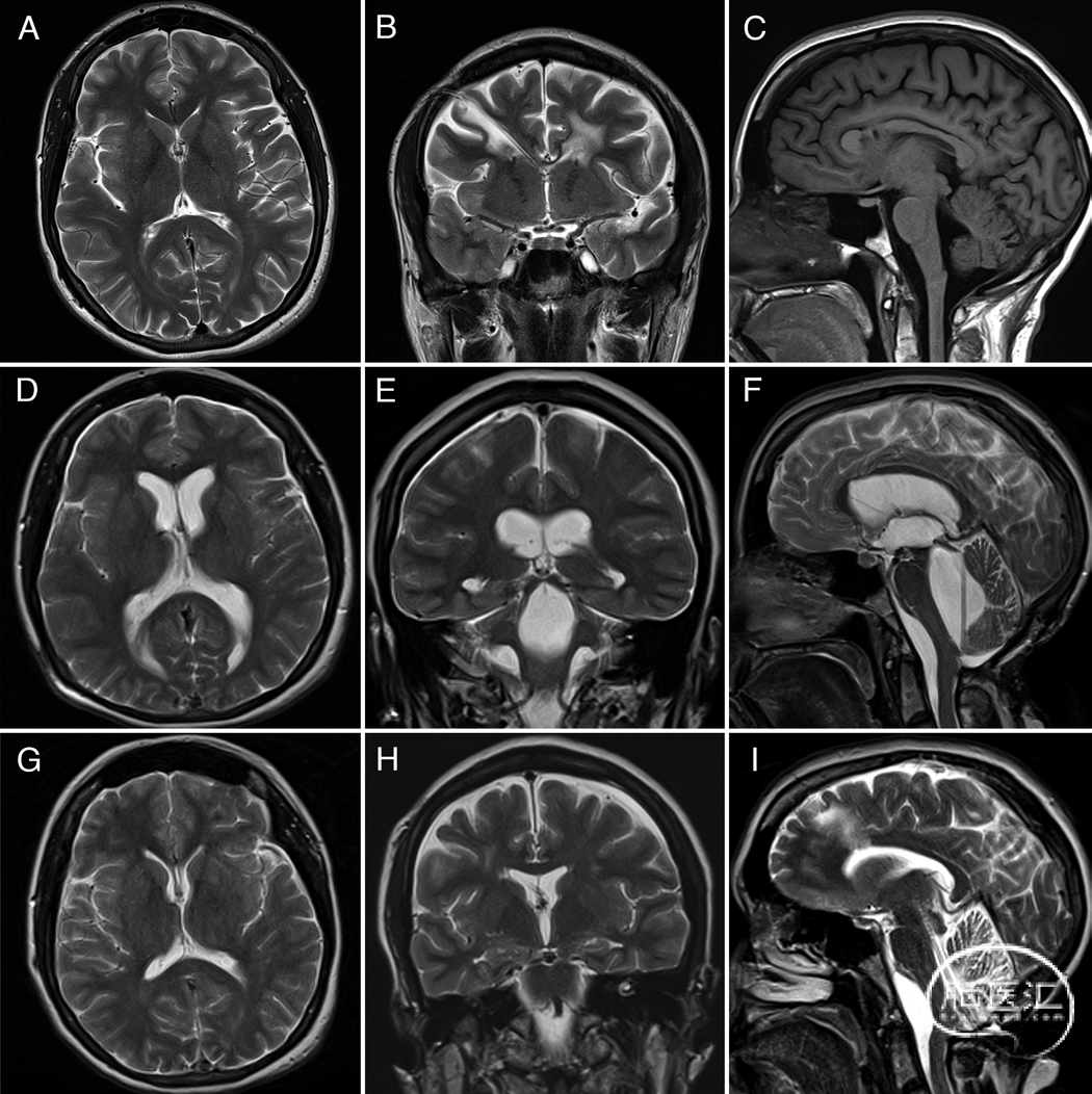
图1展示了病例1的脑室大小变化过程,包括置管后12个月随访影像学表现稳定。图2为分流系列检查中的胸片图像,示意图显示分流阀置于锁骨尾侧的解剖位置。
图1. 病例1。T2加权(A、B及D–I)与T1加权(C)磁共振图像显示脑室扩大进展。A–C:分别为轴位、冠状位及矢状位图像,呈现神经功能正常状态下的基线脑室系统形态。D–F:分别为轴位、冠状位及矢状位图像,显示治疗前脑室系统显著进行性扩大,以第四脑室扩大最为明显。G–I:分别为轴位、冠状位及矢状位图像,展示治疗后1年脑室扩大程度改善,神经系统症状完全缓解:

图2.术后分流系统定位胸片正位像,显示分流阀置于锁骨尾侧。示意图放大并标注了解剖结构,明确分流阀相对于锁骨的位置关系:

本研究所呈现的三例病例印证了既往文献所述LPH患者的复杂性。尽管LPH核心症状已有详述,但目前仍缺乏标准治疗方案。我们针对这一棘手疾病提出了一种新的治疗选择。在本系列病例中,当EVD高度置于外耳道(EAM)水平(0 cm H2O)时,所有患者均未出现影像学或症状改善,由此确诊LPH。值得注意的是,现行治疗指南在EVD终止试验失败后未提供进一步指导,这意味着患者将长期依赖引流系统,面临住院时间延长等相关风险,这构成了当前认知的重要空白。
在前两例患者经历EVD终止试验失败但体外负压引流试验成功后,我们为其植入了阀门置于锁骨下水平的VPS装置。该术式不仅显著缩短EVD终止试验时长,还使患者神经功能恢复至基线水平且无需再次修正手术。第三例患者在EAM下20 cm H2O负压引流获得临床改善后,将分流阀置于胸骨远段1/3水平,脑积水的临床和影像学状态均趋于稳定。
J Neurosurg
. 2025 Feb 14;143(1):119-126. doi: 10.3171/2024.10.JNS232782. Print 2025 Jul 1.
Treatment of low-pressure hydrocephalus using a novel shunt valve technique: applying Bernoulli's equation to fluid statics. Technical note
*本文转载自微信公众号“脑血管病及重症文献导读”,脑医汇获授权转载
声明:脑医汇旗下神外资讯、神介资讯、脑医咨询、Ai Brain 所发表内容之知识产权为脑医汇及主办方、原作者等相关权利人所有。
投稿邮箱:NAOYIHUI@163.com
未经许可,禁止进行转载、摘编、复制、裁切、录制等。经许可授权使用,亦须注明来源。欢迎转发、分享。
投稿/会议发布,请联系400-888-2526转3。