图2(A)轴位CT(骨窗)显示枕骨中线骨折贯穿窦汇(箭头所示)。(B)轴位CT静脉造影(CTV)可见窦汇处脑静脉窦血栓形成(箭头所示),正位于骨折部位上方。该病例经资深专家确认,展示了窦汇直接创伤继发血栓形成的典型表现:

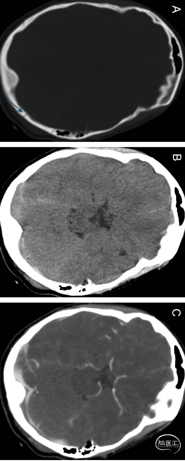
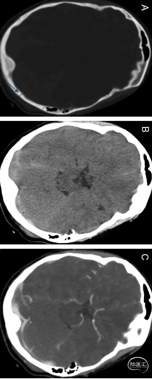
图3(A)轴位CT(骨窗)显示左枕骨骨折横跨横窦(箭头所示)。(B)轴位CT(软组织窗)可见左枕部硬膜外血肿(星号标记)压迫横窦。(C)轴位CTV:初始报告怀疑骨折部位上方存在脑静脉窦血栓。经回顾性复核,实无真实血栓存在;血肿压迫模拟血栓表现。本案例揭示了重要诊断误区:硬膜外血肿的外在性窦腔压迫可模拟血栓形成。经资深专家重新评估排除脑静脉窦血栓诊断:

表.脑静脉窦血栓形成的鉴别诊断:

Neuroradiology
. 2025 Jul;67(7):1773-1781. doi: 10.1007/s00234-025-03670-6. Epub 2025 Jun 23.
Are isolated linear fractures over major dural venous sinuses a risk factor for sinus thrombosis in mild TBI?
*本文转载自微信公众号“脑血管病及重症文献导读”,脑医汇获授权转载
声明:脑医汇旗下神外资讯、神介资讯、脑医咨询、Ai Brain 所发表内容之知识产权为脑医汇及主办方、原作者等相关权利人所有。
投稿邮箱:NAOYIHUI@163.com
未经许可,禁止进行转载、摘编、复制、裁切、录制等。经许可授权使用,亦须注明来源。欢迎转发、分享。
投稿/会议发布,请联系400-888-2526转3。