摘要
脑淀粉样血管病(CAA)是脑叶内出血(ICH)和认知障碍的常见病因,其诊断标准近期已修订。部分CAA病例会伴随CAA相关炎症反应,可能导致更严重的临床病程。本文报告一例61岁男性患者,因左额上回脑叶出血表现为亚急性行为改变、运动性失语和右侧偏瘫。脑部MRI显示右侧枕叶慢性皮质-皮质下小出血灶及多发性脑叶微出血,符合很可能CAA的诊断标准。一年后,患者出现急性精神病性症状伴攻击行为。脑脊液中β-淀粉样蛋白(Aβ)1-40和1-42水平降低,总tau蛋白和磷酸化tau蛋白正常。随后数年病情保持稳定。68岁时,患者在6个月内出现快速认知功能衰退(非CAA典型表现)。复查MRI显示多发性皮质-皮质下微出血和微梗死。高分辨率血管壁MRI显示多动脉节段同心性血管壁强化。这些表现提示可能存在炎症性CAA或血管炎等炎症过程。但神经病理学检查证实为重度CAA,未见血管壁炎症。本病例表明CAA可能出现急剧进展阶段,且单纯Aβ沉积(无炎症)也可能导致动脉壁强化,模拟血管炎或淀粉样相关炎症过程。该神经影像学特征对患者分层或预后的价值仍需进一步验证。
要点
脑淀粉样血管病(CAA)诊断基于神经病理学,但浅表铁沉积、微出血、血管周围间隙扩大及多灶性白质高信号等影像学标志物可支持诊断。
认识血管壁MRI(VWMRI)中同心性动脉壁强化可作为无炎症CAA的特征,可避免侵入性检查和免疫抑制治疗。
警示
CAA临床病程多变,可表现为快速衰退期及神经精神症状;即使出现这些不典型临床表现,患者仍可能符合CAA波士顿标准2.0版诊断要求。
无炎症的β-淀粉样蛋白(Aβ)沉积也可能导致动脉壁强化,易被误判为血管炎或淀粉样相关炎症。
病例报告
一名61岁男性因亚急性行为改变伴运动性失语及右侧偏瘫一周至急诊就诊。患者有高血压病史,入院时血压高达210/100mmHg。头颅CT显示左额上回存在皮质-皮质下延伸的亚急性混杂密度脑叶出血。虽出血位于脑叶,但基于患者年龄、病史及单一孤立出血灶表现,初期考虑高血压性小血管病诊断。遂予拉贝洛尔控制血压,后续数月运动功能逐渐恢复。
三个月后复查脑部MRI显示:右侧枕叶慢性皮质-皮质下小出血灶,顶叶、额叶及颞叶多发T2*低信号(提示微出血),未发现动脉瘤、血管畸形或恶性肿瘤征象。此时符合很可能CAA诊断标准。一年后,患者因急性精神症状伴激越攻击行为收治精神科。脑电图排除局灶/广泛性慢波或痫样放电,头颅CT无新发病灶。脑脊液检查显示:非炎性改变,Aβ1-40及1-42降低,总tau/磷酸化tau正常,符合CAA表现。出院时存在步态障碍及以执行功能为主的认知缺损,此后数年病情稳定。
68岁时,患者出现6个月内快速恶化:自发言语及理解能力显著下降,指令执行不一致,时间空间定向障碍,并出现额叶释放征(包括摸索动作、模仿言语、眉间反射及双侧抓握反射)。双侧上运动神经元综合征(下肢4级瘫、腱反射亢进、巴氏征阳性)自首次出血后持续存在。简易精神状态检查无法完成。此类快速认知衰退伴精神行为异常在CAA中较为罕见,需进一步评估。
入院完善检查:无发热提示感染;无恶性肿瘤史、体重下降或恶病质表现(可除外副肿瘤/代谢性疾病);常见滥用药物筛查阴性;系统性自身免疫病(含血管炎)相关神经元抗体阴性;单纯疱疹、带状疱疹、HIV及梅毒血清学阴性;其他器官受累证据均已排除。脑MRI显示:双侧皮质-皮质下区域多发微出血及急慢性微梗死(较前增多),双侧额叶为主的皮质表面铁沉积。高分辨率血管壁MRI显示多动脉节段同心性强化。近期病情恶化结合不对称缺血/出血病灶及血管壁强化,需考虑CAA相关炎症(CAA-RI)或中枢神经系统原发性血管炎(PACNS)。
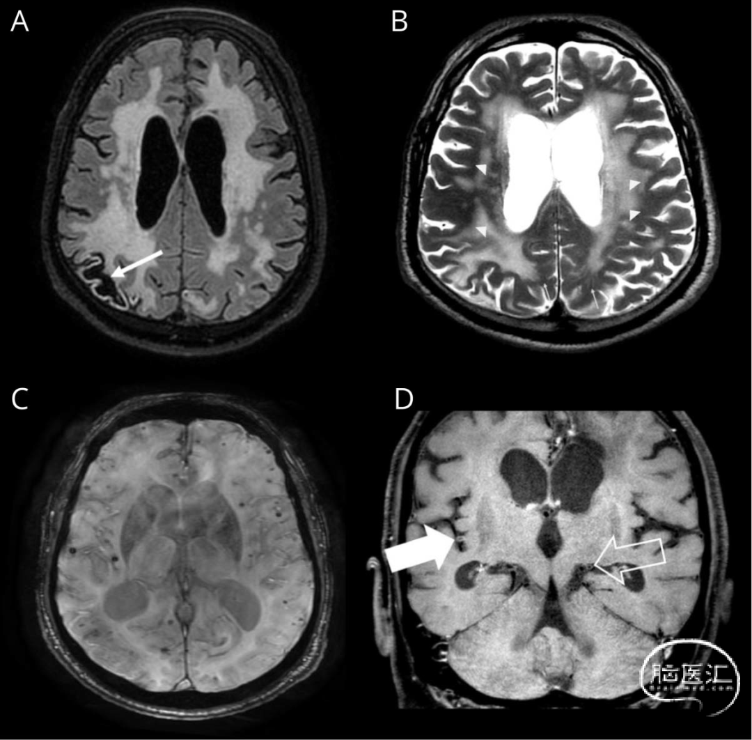
图1 脑部MRI表现。轴位T2/FLAIR序列(A)与T2/TSE序列(B)显示:右顶叶陈旧性缺血病灶(A图箭头),广泛融合性脑白质病变(A图),病变区域周边血管周围间隙扩大(B图细箭头),受累区域边界清晰(B图箭头标示)。轴位SWI序列(C)可见:多发脑叶表浅微出血(基底节及丘脑未受累),右额叶皮质表面铁沉积证据。冠状位血管壁成像(D)显示:左大脑后动脉P3段(空心箭头),右大脑中动脉M2段(实心箭头),呈同心性血管壁对比强化:

右额叶脑组织及脑膜活检显示:重度CAA伴皮质表面铁沉积及陈旧微出血证据,未见血管壁炎症,确诊为非炎症性CAA。未予免疫抑制治疗出院。
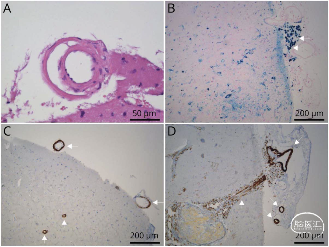
图2 脑淀粉样血管病(CAA)的神经病理学证据。A. 苏木精-伊红(H&E)染色显示:重度软脑膜CAA,血管壁分裂形成"双管征"。B. 普鲁士蓝染色显示:伴随的皮质表面铁沉积(箭头标示)。C-D. β-淀粉样蛋白免疫组化染色显示:软脑膜血管(C图水平箭头/D图斜向箭头),皮质内血管(C图上方箭头)。陈旧性皮质出血瘢痕周围(D图上方箭头),均可见淀粉样蛋白沉积:

讨论
CAA是以Aβ进行性沉积于皮质及软脑膜血管壁为特征的小血管病[1],既是脑叶出血常见病因,也是增龄性认知障碍的影响因素[2]。本例患者初发脑叶出血时考虑高血压性小血管病,但结合年龄及MRI脑叶出血/微出血表现,更符合CAA诊断——具有典型影像模式(符合波士顿标准很可能CAA)及临床表现(脑叶出血)[3-5]。但数年后出现的精神症状及快速衰退在CAA中较罕见(虽阿尔茨海默病共病CAA时曾有精神症状报道[6])。新发缺血/出血灶伴多灶血管壁强化需鉴别CAA-RI与PACNS,其他感染/炎症性血管病(如脑膜血管梅毒)已排除。
高分辨率血管壁MRI较常规CT/MR血管成像能更精细评估管壁结构。本方案采用3D T1黑血序列配合脑脊液/血液饱和脉冲。强化病灶远离缺血/出血区,且信号特征/部位不符合软脑膜强化表现。观察到的线样/同心性强化模式与动脉粥样硬化典型的偏心性强化形成对比。
无论是CAA相关炎症(CAA-RI)还是中枢神经系统原发性血管炎(PACNS)均可解释这种非典型的快速临床进展及皮质-皮质下出血/梗死[7]。近期一项对比89例CAA-RI与47例活检确诊PACNS的研究发现:两组颅内狭窄程度无显著差异,而CAA-RI最具特异性的特征包括蛛网膜下腔受累的出血性标志物及半卵圆中心多发(≥21个)血管周围间隙扩大[8]。虽然本病例存在明显出血标志物,但血管周围间隙扩大仅见于半卵圆中心融合性T2/液体衰减反转恢复高信号邻近区域(图1A-D)。
尽管如此,其余影像学特征均符合CAA表现,且患者脑活检结果支持非炎症性CAA诊断。这使得诊断分类从"很可能CAA"升级为"病理证实的很可能CAA"(电子表1)。这一更高诊断确信度阶段是生前所能达到的最高级别,因"确诊CAA"需尸检证实全脑重度CAA伴血管病变。
需注意脑活检可能因CAA-RI的局灶性而漏诊[9]。但本例活检区域与MRI异常区域吻合,提高了结果代表性[8]。早期研究显示约50%CAA患者存在血管壁强化[10],但未行组织病理学验证。新近对5例确诊非炎症性CAA的回顾性分析发现,40%病例(2/5)在血管壁MRI呈现动脉壁强化[11],表明单纯Aβ沉积亦可导致该现象。实际上,CAA尸检标本中Aβ受累血管的内皮完整性标志物表达降低[12],可能增加血管通透性导致对比剂外渗及管壁强化——即使不存在炎症。加之Aβ沿脑血管多灶性(非均匀)沉积的特点[13],进一步解释了血管壁MRI中的这种强化模式。
认识血管壁强化作为CAA特征的重要性还体现在其与未来缺血性卒中的关联(如本病例)[14]。非炎症性CAA病例回顾显示[11],出现血管壁强化的患者同时存在大量微出血,提示该征象可能是疾病严重程度及预后的标志物,但需前瞻性自然史研究验证。
皮质微出血及脑脊液Aβ生物标志物降低在区分真阳性与假阳性病例方面具有可靠性,近期波士顿标准2.0在社区应用中也证实了这点[15]。本例首次与末次MRI对比显示微出血数量增加,正反映了疾病负荷进展。
本文目的并非推荐血管壁MRI在CAA中的普遍应用,而是强调:识别这种特征可避免对CAA患者进行侵入性检查及免疫抑制治疗。需注意CAA相关血管炎及其他小血管炎患者的MR血管造影通常正常。血管壁MRI目前主要适用于经其他影像发现颅内狭窄的中/大血管炎患者。
本病例证实了波士顿标准2.0诊断CAA的高敏感性与特异性——即使面对非典型临床病程。单纯Aβ沉积(无炎症)即可导致CAA患者血管壁MRI出现同心性动脉强化,这一神经影像特征可能对患者分层、治疗及预后评估具有重要价值。
Neurology
. 2025 Jul 22;105(2):e213849. doi: 10.1212/WNL.0000000000213849. Epub 2025 Jun 23.
Pearls & Oy-sters: Arterial Wall Enhancements and Rapid Clinical Progression in Noninflammatory Cerebral Amyloid Angiopathy
*本文转载自微信公众号“脑血管病及重症文献导读”,脑医汇获授权转载
声明:脑医汇旗下神外资讯、神介资讯、脑医咨询、Ai Brain 所发表内容之知识产权为脑医汇及主办方、原作者等相关权利人所有。
投稿邮箱:NAOYIHUI@163.com
未经许可,禁止进行转载、摘编、复制、裁切、录制等。经许可授权使用,亦须注明来源。欢迎转发、分享。
投稿/会议发布,请联系400-888-2526转3。