患者,女性,56岁,"右侧上下肢无力伴口角歪斜,言语不清1天"入院。
入院右侧上下肢肌力4级,言语含糊不清,口罩角歪斜。
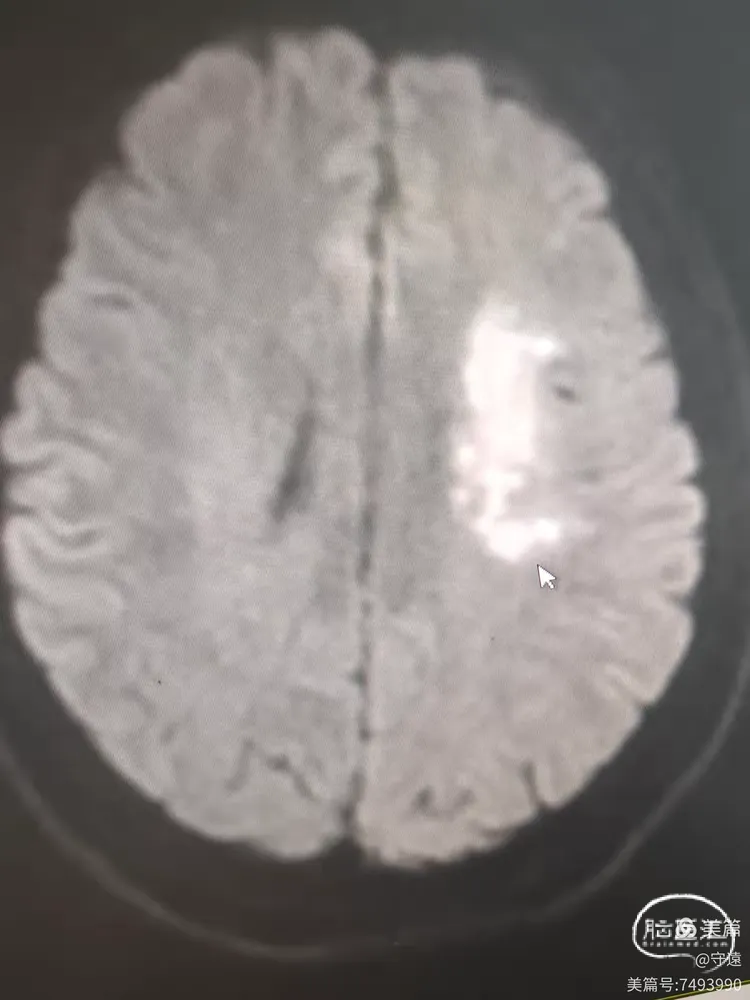
核磁显示:左侧大脑半球多发点状梗塞,MRA显示左侧大脑中动脉M1以这末显影,考虑lCAS病变,给予次替罗非班泵入。
8小时后症状加重右下肢肌力3级,上肢2级,言语不清。NⅰHSS评分9分。



造影显示:左侧大脑中动脉M1以远末显影。

动脉晚期皮层支代偿供血良好,返流至M1段分叉部。
影像评估:M1段闭塞,分叉以远血管床显影良好。

手术方案:
颈内动脉血管迂曲,6F天巡中间支持下拟用Fastunnel输送型球囊扩张开通大脑中动脉闭塞。
血管迂曲,微导丝+微导管辅助难以前行,最远至C2段。
微导丝回头弯通过狭窄困难,跟进球囊导管至M1,用球囊导管头端推顶后再次微导丝回头弯顺利到达M2段,微造影真实在真腔内。

铆定狭窄位置后缓慢打压扩张至8个大气压(命名压6个大气压),泄压回撤造影,M1段血流通畅,管腔略毛糙。



推注替罗非班10mL,等待10分钟造影,血流保持3级,末置入支架。

体会
1.核磁显示多发点状梗塞,为低灌注表现,说明患者存在重度狭窄,已有部分代偿。但出现症状性病变,代偿存在不足。
2.造影显示M1闭塞,动脉晚期皮层支返流至M1分叉部。说明闭塞段在M1中段至分叉部。
3.微导丝尖头偿试通过闭塞容易穿通血管,回头弯难以通过,可偿试微导管头端推顶突破较微导丝安全。
4.ICAS病变明确,直接使用Fastunnel输送型球囊扩张导管"零交换"扩张成形,手术快捷,安全。
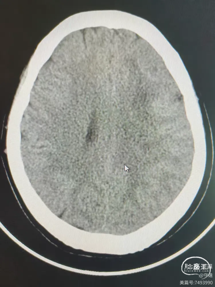
术后18小时复查CT左侧略高影,考虑造影剂滞留,水肿不明显。



作者简介
赵宝元 主任医师
武威市中医院 神经内科
主任医师。 武威市中医医院脑病科主任。甘肃省陇原人才,武威市中医院脑血管介入团队学科带头人,武威市脑血管介入与卒中早期康复创新工作班组组长。 从事神经内科工作20余年,曾在兰大二院进修神经内科和急诊,中国人民解放第940医院神经内科高级卒中中心、陆军军医大附属新桥医院高级卒中与介入中心学习脑血管介入。 任武威市老年病专业委员会主任委员、武威市中西医结合神经内科专业委员会副主任委员、武威市中西医结合眩晕专业委员会副主任委员、武威市神经内科学会常务委员、甘肃省脑血管专业委员会委员。 开展脑出血微创锥颅引流近500余例,经桡动脉脑血管造影500余例,开展急性脑梗塞血管内机械取栓,动、静脉桥接、颈内动脉狭窄、椎动脉狭窄、锁骨下动脉狭窄或闭塞的血管支架成形术。
![]()
声明:脑医汇旗下神外资讯、神介资讯、神内资讯、脑医咨询、Ai Brain 所发表内容之知识产权为脑医汇及主办方、原作者等相关权利人所有。





