
高某 男性 24岁
主诉:头痛半年,加重伴右眼视力下降1月
查体:神志清,精神可,右眼睑下垂,眼裂缩小,右眼视力下降。左眼无异常。双侧眼球运动无异常。鼻唇沟对称,无变浅。双侧颜面部感觉无异常。双侧听力粗测无异常。四肢肌力5级。
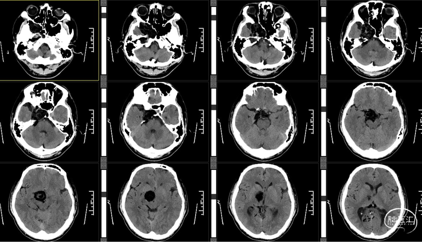
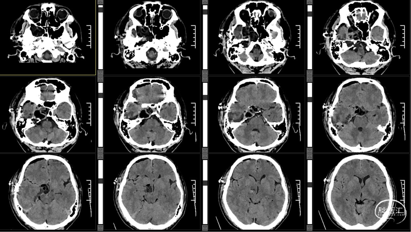
外院CT示:右侧颅底占位性病变,临近骨质部分吸收。
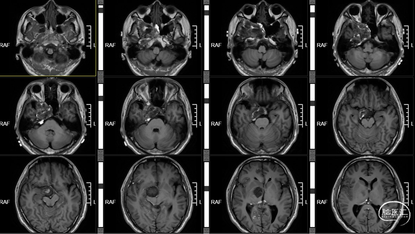
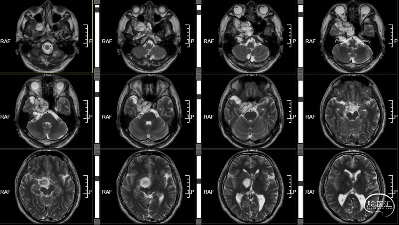
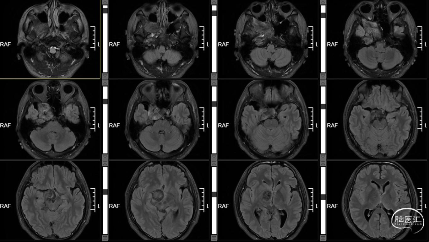
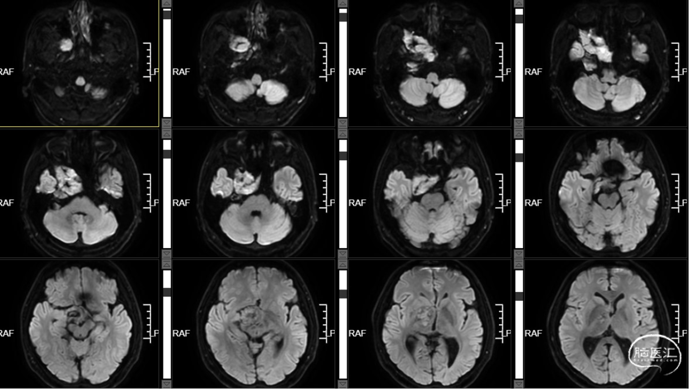
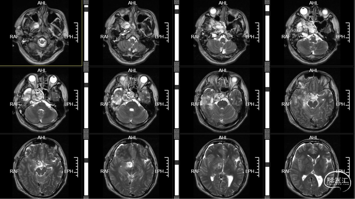
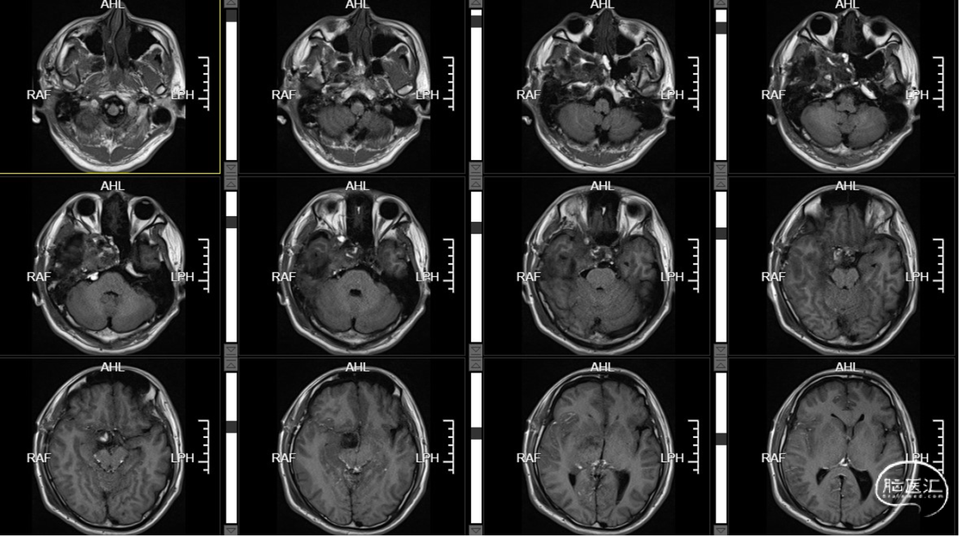
外院MR示:右侧颞底、桥小脑角区及鞍内占位,考虑表皮样囊肿伴破裂可能。







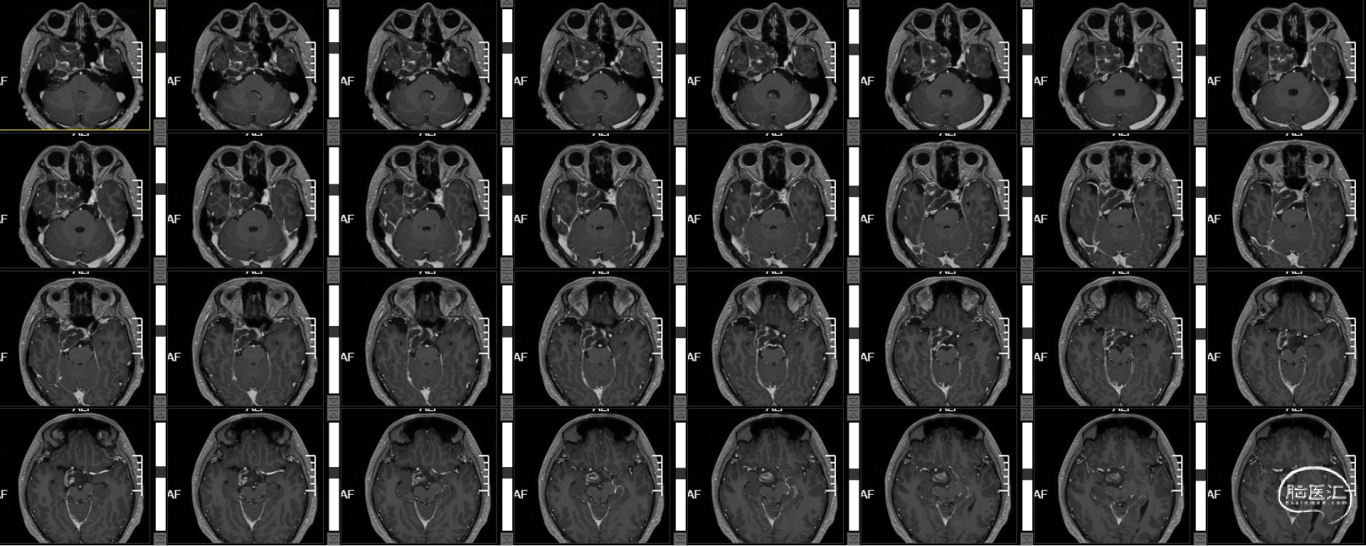
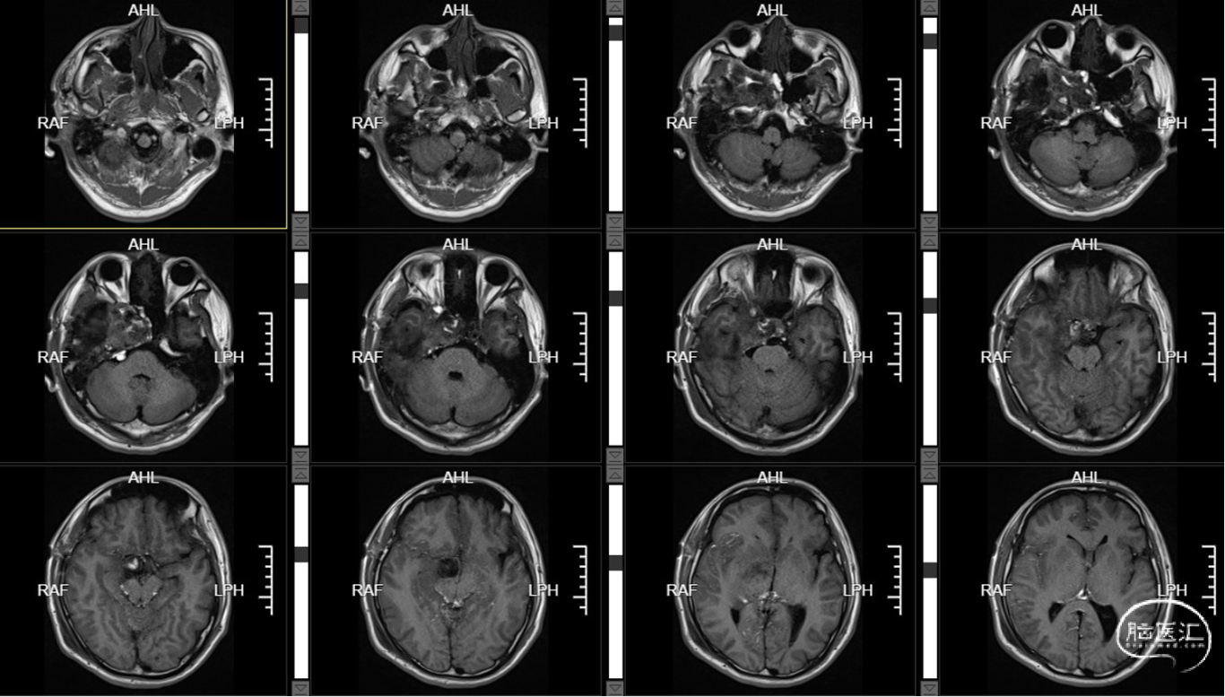
术前T1+C

手术视频
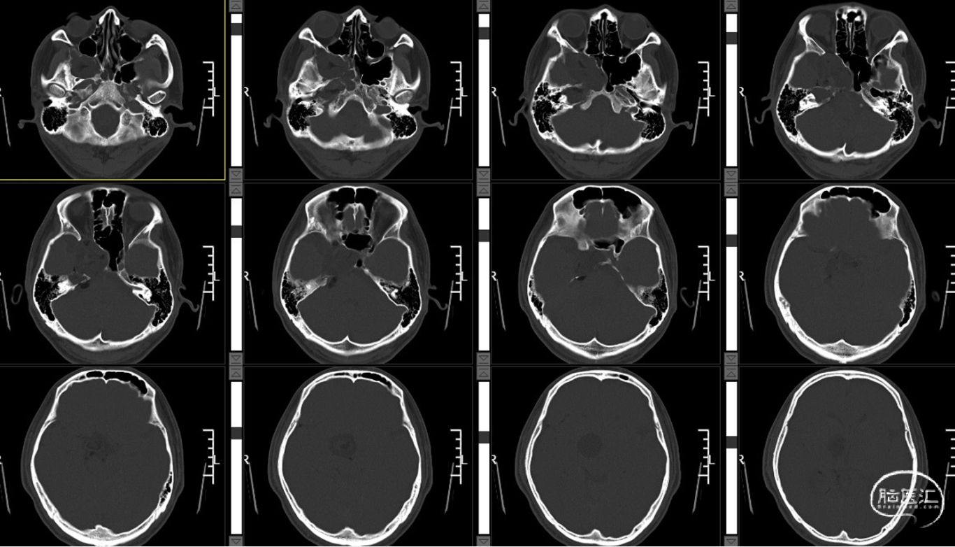
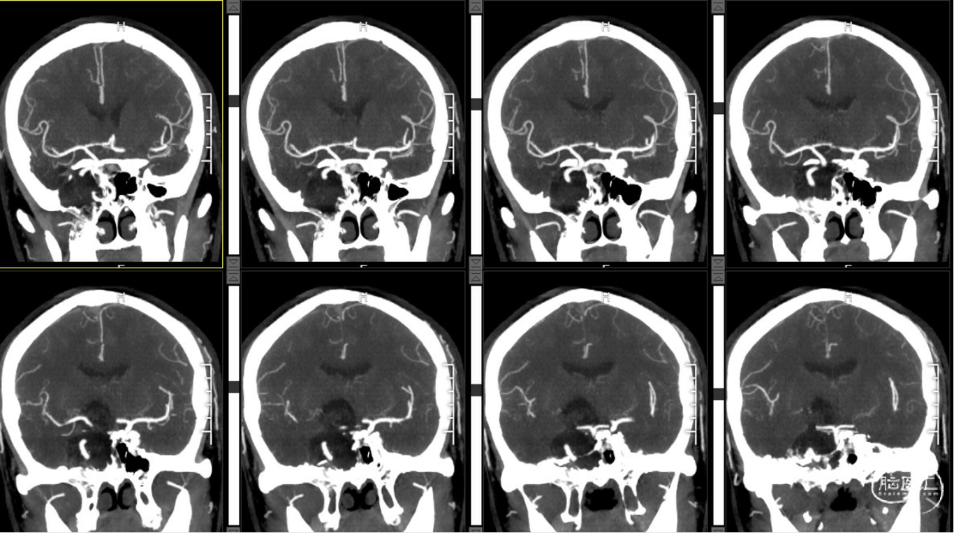
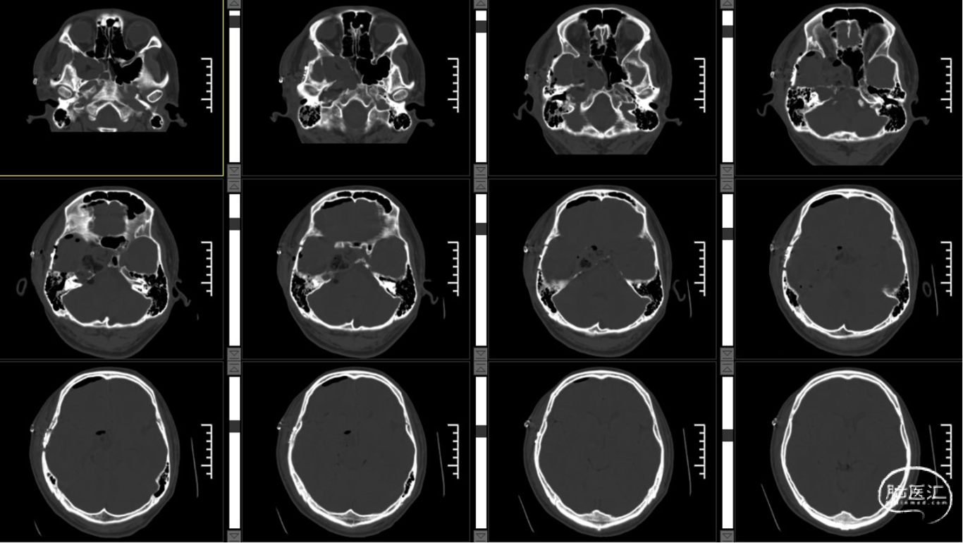
术后CT




术后T1




王杰教授团队:颞下锁孔入路颅底胆脂瘤切除术

高某 男性 24岁
主诉:头痛半年,加重伴右眼视力下降1月
查体:神志清,精神可,右眼睑下垂,眼裂缩小,右眼视力下降。左眼无异常。双侧眼球运动无异常。鼻唇沟对称,无变浅。双侧颜面部感觉无异常。双侧听力粗测无异常。四肢肌力5级。
外院CT示:右侧颅底占位性病变,临近骨质部分吸收。
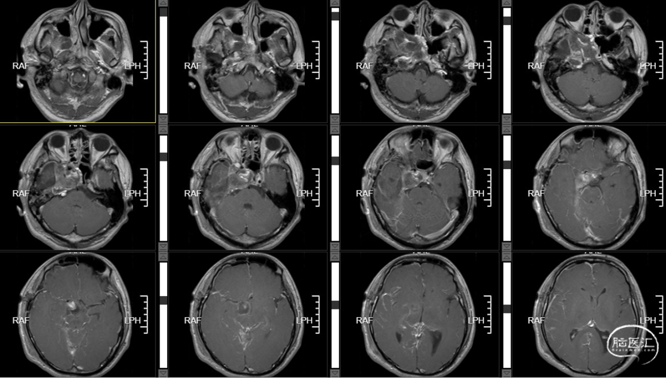
外院MR示:右侧颞底、桥小脑角区及鞍内占位,考虑表皮样囊肿伴破裂可能。







术前T1+C

手术视频
术后CT




术后T1



