前言
血流导向密网支架的出现为颅内动脉瘤传统的瘤内栓塞提供了新的理念,治疗策略转至重建载瘤动脉并促进动脉瘤的愈合。通桥麒麟FD是国内首款远端闭合设计的密网支架,由铂金芯镍钛丝编织而成,通体显影,近远端各3个显影点,3.5mm及以下直径规格可通过21系列微导管释放。为临床治疗颅内动脉瘤提供新的方案。
本 / 期 / 病 / 例
患者基本信息
患者:男性,64岁。
主诉:检查发现颅内动脉瘤3天。
现病史:患者自诉3天于我院门诊行头颅MRA发现颅内动脉瘤,无畏寒、发热,无胸闷、心悸、胸痛,无头晕、头痛,无恶心、呕吐,无腹痛、腹泻、腹胀,无肢体麻木、乏力、抽搐等不适。今为求进一步诊治,来我院门诊就诊,门诊拟“颅内动脉瘤”收住入院。
术前造影
术前进行脑血管造影,前交通开放,3D造影发现左侧颈内动脉后交通段动脉瘤。
手术方案&术前测量影像数据
患者入院后完善了相关检查,病情、诊断及重要检查情况:
目前诊断:1.左侧颈内动脉后交通段动脉瘤;2.脑血管狭窄;3.高血压;4.高尿酸血症;5. 高脂血症 ;6.低蛋白血症。
治疗方案、替代治疗方案的利弊与主要风险(并发症)情况:
方案1:保守治疗,一般适用于HUNT分级4级,且生命征不稳定,年龄偏大,治疗效果预期不佳的患者,给予一般维持生命征,对症治疗。
方案2:开颅动脉瘤夹闭术,该方法需手术开颅,时间较长,手术中需降颅内压,解剖正常脑组织间隙,对神经血管骚扰相对介入手术严重,术后恢复时间相对介入治疗较长,该方法对于动脉瘤的复发较介入稍低,手术费用较介入稍低。
方案3:介入栓塞术,该方法相对传统开颅手术较微创,手术时间较短,术后恢复时间较传统手术短但花费较高,对于瘤颈的处理有一定难度,术后较传统手术复发率稍高。
经评估,该患者有介入手术适应症,无绝对禁忌症,选择治疗方案3,建议全麻下行左侧颈内动脉后交通段动脉瘤密网支架植入术,将手术方式、费用、利弊及可能出现的风险充分告知患者家属,患者家属均表示理解。同意行血流导向密网支架植入术。
术前测量:
经3D重建测量血管远端直径,2D造影测量血管近远端直径与长度,经测量后评估选择通桥麒麟™血流导向密网支架 TQL-50-20。
方案:通桥麒麟™血流导向密网支架远端锚定位于大脑前和大脑中血管交汇处,近端落脚位于床突段转弯处。
术中器械
通桥麒麟™血流导向密网支架 TQL-50-20
27系统微导管
6F 115 中间导管
8F Guiding
0.014" 200cm 微导丝
手术过程
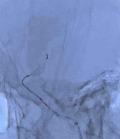
中间导管、微导丝建立通路,微导管达到大脑中M2段处,越过瘤颈约30mm处,随后沿着27微导管输送通桥麒麟™血流导向密网支架 5.0*20mm。


通桥麒麟™血流导向密网支架于大脑中M2平直段开始预释放成V字型,缓慢拖拽至锚定位置,锚定释放后,造影观察确定落在锚定点。头端3个Mark点辅助精准定位。

中段释放:通桥麒麟™血流导向密网支架通体显影,术中易观察支架释放是否贴壁情况,通过推拉结合进行释放。


通桥麒麟™血流导向密网支架在血管弯处释放表现良好,贴壁释放。

通桥麒麟™血流导向密网支架尾端释放,落脚点于术前预期的床突段血管弯曲处。镍钛包裹铂金材质通体显影,清晰观察到通桥麒麟™血流导向密网支架解脱过程、释放过程可控,精准,血管迂曲处可以充分张开,极致贴壁。

术后造影
导丝按摩,令近远端和弯曲血管更贴壁。

术后造影可见动脉瘤囊内造影剂即刻滞留,通桥麒麟™血流导向密网支架尾端完全打开,贴壁良好,支架内血流畅通。

术者简介
叶远良
柳州市人民医院
神经外科主任,主任医师,医学博士,广西医科大学硕士研究生导师
开展颅底神经外科工作(听神经瘤、岩斜区肿瘤、前中颅窝底肿瘤手术);开展脑血管疾病外科及介入治疗(颅内动脉瘤夹闭及栓塞、颅内血管畸形切除等);开展内镜神经外科工作(内镜下垂体瘤、颅咽管瘤及脑膜瘤切除;内镜下颅神经微血管减压术);开展复合手术室下复杂脑血管疾病外科治疗(功能区AVM、复杂动脉瘤等)
发表SCI文章9篇,著作1本;期刊有:Front Mol Neurosci(影响因子5.2)、Front Neuroanat(影响因子3.5)、Front Oncol(影响因子6.29)
课题:主持广西壮族自治区科技厅重点研发计划课题、柳州市科技局课题;立项脑出血多中心前瞻性临床研究及柳州市神经内镜解剖与临床转化工程技术研究中心
本内容仅供医学专业人士作线上专业交流
本内容不向非医学专业人士开放,敬请理解
讲课内容仅代表专家个人观点,非通桥医疗推广产品
声明:脑医汇旗下神外资讯、神介资讯、脑医咨询、Ai Brain 所发表内容之知识产权为脑医汇及主办方、原作者等相关权利人所有。 投稿邮箱:NAOYIHUI@163.com 未经许可,禁止进行转载、摘编、复制、裁切、录制等。经许可授权使用,亦须注明来源。欢迎转发、分享。 投稿/会议发布,请联系400-888-2526转3。





