
前言
血流导向密网支架的出现为颅内动脉瘤传统的瘤内栓塞提供了新的理念,治疗策略转至重建载瘤动脉并促进动脉瘤的愈合。通桥麒麟FD是国内首款远端闭合设计的密网支架,由铂金芯镍钛丝编织而成,通体显影,近远端各3个显影点,3.5mm及以下直径规格可通过21系列微导管释放。为临床治疗颅内动脉瘤提供新的方案。
本 / 期 / 病 / 例
患者基本信息
患者:男性,75岁。
主诉:口角歪斜14小时。
现病史:患者于14小时前无明显诱因出现口角歪斜,伴头晕、心慌,无意识障碍、肢体抽搐,无语言不利,无视物异常,无肢体无力,无饮水呛咳,在家未治疗,来我院就诊,完善颅内CT示多发脑梗塞灶、软化灶,建议结合MR检查;心电图示窦性心律,扩展到后壁的下臂心肌梗塞。拟以“脑梗死待查”收入我科,患者自发病以来,意识清,精神一般,饮食可,大小便正常。
治疗策略
入院后完善相关检查,排除相关手术禁忌症后行脑血管造影术检查,取右桡动脉入路,术中影像结果显示:
· 左侧颈总动脉造影示:左侧颈内动脉未见明显异常,左侧大脑中动脉未见明显异常,左侧大脑前动脉A1段可见2.9mm*1.9mm大小动脉瘤;
· 左侧锁骨下动脉造影示:左侧椎动脉未见明显异常,颅内段呈动脉硬化性改变,基底动脉级双侧大脑后动脉未见明显异常;
· 右侧颈总动脉造影示:右侧颈内动脉未见明显异常,右侧大脑中动脉级大脑前动脉未见明显异常;
· 右侧锁骨下动脉造影示:左侧椎动脉纤细,未见明显狭窄;
· 静脉期造影:未见明显异常。
建议行血流导向密网支架辅助栓塞术。
术中器械
· 通桥麒麟™血流导向密网支架 TQL-25-15
· 6F 115 通桥银蛇®颅内支持导管
· TDS088-06-80M 8F 通桥玄武™长鞘
· 0.021" 微导管
· 微导丝
手术过程
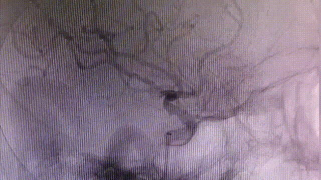
左侧大脑前动脉瘤术前造影


缓慢释放通桥麒麟™血流导向密网支架 2.5*15mm,支架释放全程显影良好。


通桥麒麟™血流导向密网支架贴壁良好。


术后通桥麒麟™血流导向密网支架贴壁良好,远端血流良好,动脉瘤内造影剂滞留。


术者体会
通桥麒麟™血流导向密网支架通体显影,可以随时判断出释放的效果,操作方便、定位精准。
通桥麒麟™血流导向密网支架远端闭合设计,对血管损伤小,打开容易;近远端30~45喇叭口,贴壁性好。
通桥麒麟™血流导向密网支架具有稳定的金属覆盖率,术后造影剂即刻滞留。
术者简介
张玉新
广饶县人民医院
综合介入科神经内二病区主任,副主任医师
擅长缺血及出血性脑血管疾病的介入治疗。如颈动脉血管支架植入、椎动脉支架植入、颅内血管狭窄成形术、颅内外血管慢性闭塞开通术、动脉瘤栓塞治疗、血流导向密网支架植入术、动静脉畸形手术等
山东省疼痛医学会脑血管专业委员会委员,山东省东营市综合介入医师专业委员会委员
本内容仅供医学专业人士作线上专业交流
本内容不向非医学专业人士开放,敬请理解
讲课内容仅代表专家个人观点,非通桥医疗推广产品

声明:脑医汇旗下神外资讯、神介资讯、脑医咨询、Ai Brain 所发表内容之知识产权为脑医汇及主办方、原作者等相关权利人所有。
投稿邮箱:NAOYIHUI@163.com
未经许可,禁止进行转载、摘编、复制、裁切、录制等。经许可授权使用,亦须注明来源。欢迎转发、分享。
投稿/会议发布,请联系400-888-2526转3。