
病例展播
病例信息
患者:男性,65岁。
主诉:以“突发意识不清伴右侧肢体偏瘫1小时余”于2025-02-15 12:42入院
既往史:心房颤动,未予抗凝等治疗。
急诊查体:浅昏迷,双肺呼吸音清,未闻及明显干湿罗音;心率95次/分,律不齐,各瓣膜区未闻及病理性杂音。
神经系统查体:浅昏迷,双侧额纹对称,双侧瞳孔等大等圆,直径3.0mm,对光反射灵敏,双眼左侧凝视,无震颤,右侧鼻唇沟变浅,口角左歪斜。右侧肢体肌力0级、肌张力减低,左侧肢体肌力5级、肌张力正常,右下肢病理征阳性,左下肢病理征阴性。颈软,无抵抗,布氏征、克氏征阴性。NIHSS评分22分。
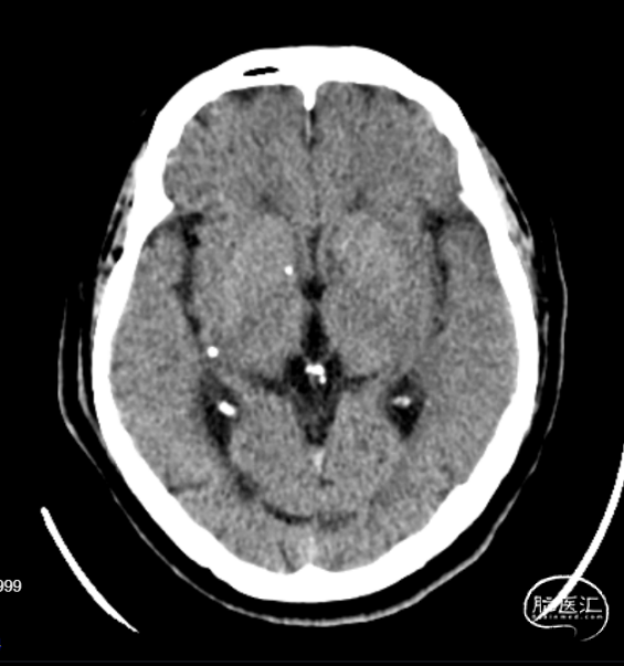
术前影像
急诊CT平扫:未见颅内出血。

CTP:左侧丘脑、基底节区、额叶、颞叶、顶叶、枕叶见异常灌注区。

全脑核心梗死区(CBF<30%)体积为54.95mL,低灌注区(Tmax>6.0s)体积为183.95mL,Mismatch体积为129.00mL,Mismatch比值为3.35。
CTA:左侧颈内动脉、左侧大脑中动脉闭塞。


手术策略
患者发病3小时内,头颅CT排除出血,CTA提示左侧颈内动脉及左侧大脑中动脉闭塞。结合患者房颤病史,考虑左侧颈内动脉系统急性脑栓塞。NIHSS评分22分。同患者家属沟通病情,急诊予阿替普酶63mg静脉溶栓,并迅速桥接进入导管室,行全脑血管造影及机械取栓术。
手术器械
· 6F 90cm 长鞘
· 6F 125cm 通桥银蛇®颅内支持导管
· 通桥蛟龙®取栓支架 6.0*30mm
· 5F 125cm 多功能导管
· 通桥×海思 0.014" 北斗SS™神经血管导丝
· 0.027″ 微导管
手术过程
全身麻醉,右侧股动脉入路,应用泥鳅导丝、单弯造影导管辅助下将6F 90cm长鞘置于左侧颈总动脉末端,继续在泥鳅导丝及该长鞘辅助下将6F 125cm 通桥银蛇®颅内支持导管置入右侧颈内动脉C3段、长鞘置于颈内动脉C1段,然后在路图下,0.014" 北斗SS™神经血管导丝引导下将微导管小心通过闭塞段置于右侧大脑中动脉上干M2段,并造影确认真腔。

然后经该微导管置入通桥蛟龙®取栓支架 6.0*30mm,于闭塞段定位并完全释放;造影见血管较前恢复通畅。

至支架与血栓充分嵌合后,支架锚定下将6F 125cm 通桥银蛇®颅内支持导管向前送至大脑中动脉M1段起始部血栓近端,回撤微导管及支架系统,同时中间导管尾端行负压抽吸回撤,取出大量血栓;即刻造影见左侧颈内动脉大脑中动脉系统血流恢复,远端血流mTICI 3级。


术后情况
术后影像

术后24小时复查头颅CT未见出血,CTA提示血管通畅。予加用氯吡格雷单抗抗血小板聚集。

术后12天改用利伐沙班抗凝治疗。术后14天出院至康复医院继续康复治疗,3周左右回访,患者已经能行走,右侧肢体肌力4级。

病例小结
时间就是大脑。对于缺血性脑卒中患者,有大血管闭塞患者时间窗内尽快行血管内治疗,能明确改善患者临床症状,提高良好预后率。
通桥银蛇®颅内支持导管具有优异的通过性,支架锚定后通过迂曲动脉性能良好;具有优异的支撑性,为后续治疗器械的输送提供可靠的通路。
通桥北斗SS™神经血管导丝操控和显影性能优异,顺利通过病变血管,对通路的建立也起到高效的作用,也为快速进行治疗提供了保障。
通桥蛟龙®取栓支架通过支架结合抽吸,大大减少了患者的出血风险,提高取栓的安全性和手术效率。
术者简介
尹延航
泰康仙林鼓楼医院
副主任医师
江苏省神经免疫学会会员
曾在江苏省人民医院介入放射科进修神经介入科
擅长于脑血管疾病、神经变性疾病、脱髓鞘疾病及一般神经内科疾病的诊治以及急慢性脑血管疾病的介入手术

本内容仅供医学专业人士作线上专业交流
本内容不向非医学专业人士开放,敬请理解
讲课内容仅代表专家个人观点,非通桥医疗推广产品
声明:脑医汇旗下神外资讯、神介资讯、脑医咨询、Ai Brain 所发表内容之知识产权为脑医汇及主办方、原作者等相关权利人所有。
投稿邮箱:NAOYIHUI@163.com
未经许可,禁止进行转载、摘编、复制、裁切、录制等。经许可授权使用,亦须注明来源。欢迎转发、分享。
投稿/会议发布,请联系400-888-2526转3。







