
前 言
近年发展起来的血管内机械取栓技术,成为除静脉或动脉内药物溶栓之外治疗颅内外血管栓塞的较理想治疗方案,能显著改善急性脑梗死的临床预后。对于远端血管闭塞的患者治疗,往往因为远端血管直径更细、路径更迂曲,导致治疗更困难,开通时间更久,因此需要更加精细的操作防止脆弱的血管出现相关并发症。
Tigertriever取栓支架是全球首款可调节的全显影取栓支架,首创的可控膨胀技术,支架可以安全输送至病变部位,释放过程更加精准,更好地适应患者的闭塞血管尺寸,同时兼顾高嵌栓能力和低血管损伤率。其中Tigertriever 17取栓支架兼容0.017inch微导管,可适配1.5-2.5mm血管的取栓。
本期“术”说卒中由暨南大学附属第一医院乔宏宇主任、关敏教授、张亮医师分享Tigertriever 17取栓支架治疗大脑中动脉M1段闭塞。


01
01
患者:男性,59岁。
主诉:言语不能伴左侧肢体乏力2小时余。
现病史:患者被发现摔倒在厕所,无法言语,左侧肢体无力。发病时意识清楚,无头晕、头痛,无恶心、呕吐,无肢体抽搐。1小时后到达我院急诊科,急诊头颅CT未见出血,在急诊科给予静脉TNK静脉溶栓。急诊头颅CTA+CTP检查提示:右侧大脑中动脉平扫密度增高(CT值约62HU),考虑大脑中动脉致密征;灌注示右侧额颞顶叶CBV、CBF较对侧减低,MTT、TTP及Tmax较对侧延迟;CTA示右侧大脑中动脉完全闭塞;右侧椎动脉V4段狭窄;脑动脉硬化;脑桥左侧份低密度灶,考虑小梗塞灶可能。急诊拟“大脑动脉闭塞性脑梗死”收入院。
既往史:支气管扩张病史20余年;否认高血压、糖尿病、冠心病、风湿性心脏病、房颤及其他病史。
个人史:吸烟30余年,1包/天,已戒烟1年。
家族史:否认家族遗传疾病病史。
专科查体:T 36.1℃;P 95次/分;R 16次/分;BP 115/67mmHg。神清语晰,对答切题,记忆力、定向力、计算力正常,查体合作。双侧瞳孔等圆等大,直径约3mm,对光反射灵敏,向右侧凝视。双侧额纹对称,左侧鼻唇沟浅,伸舌居中。双侧软腭上抬对称,悬雍垂居中,双侧咽反射对称存在。四肢肌张力正常,右侧肢体肌力基本正常,左侧肢体肌力0级,四肢感觉对称存在。双侧腱反射对称存在,双侧巴氏征未引出。颈软,双侧克氏征、布氏征(-)。NIHSS评分12分(凝视2 面瘫1 左上4 左下4 构音1)。
02
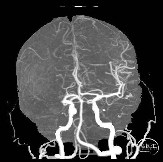
急诊CT显示右侧大脑中动脉血栓高密度征。




CTP+CTA显示右侧大脑中动脉M1闭塞,右侧大脑半球存在大面积缺血半暗带。


诊断:
1.大脑动脉闭塞性脑梗死(右侧大脑中动脉供血区)
2.右侧大脑中动脉闭塞
3.支气管扩张
介入治疗指征:发病2小时,NIHSS评分12分,ASPECT9分,CTA示右侧大脑中动脉M1段闭塞,CTP示右侧大脑半球低灌注,Mismatch139.1ml。
术中涉及器械
8F股动脉鞘
6F 90cm长鞘+5F MPA多功能导管+泥鳅导丝
微导管
0.014inch215cm微导丝
6F中间导管
Tigertriever 17可调节取栓支架
03
1
造影显示右侧大脑中动脉M1闭塞。


2
支架输送及释放:
沿微导管输送Tigertriever 17取栓支架到位。输送过程中,整个器械保持收缩状态,整体轮廓直径较小,可安全到达远端病变位置。在透视下可见支架达到预定位置后,回撤微导管,支架有效段完全覆盖闭塞段。
支架按摩:
通过向后拨动手柄按钮,缓慢打开Tigertriever 17取栓支架,在透视下,密切观察支架打开形态,由于Tigertriever 17取栓支架由DFT丝编织,支架的每根编织丝都是显影的,术中全程可视,医生可通过支架的打开形态准确判断支架与血栓的关系,直至支架血管贴壁。随后前后拨动手柄按钮进行“按摩“,该技术通过波动滑块,支架反复扩张,回缩,可有效嵌合血栓。


3
由于支架可通过操控滑块调整支架的外径尺寸,嵌栓完成后,随后跟进中间导管,并将手柄按钮向前拨动至2档,将Tigertriever 17取栓支架收缩,以降低施加于血管壁的径向力减小血管损伤的风险。随后回撤支架,中间管跟进负压抽吸。


4
支架一次成功取出血栓,血流通畅,体外可见抓捕篮内成功捕获血栓。

5
右侧大脑中动脉取栓1次完全再通。


术后即刻CT未见出血。

术后3天MRI显示右侧基底节区梗死,右侧大脑中动脉通畅。




出院时患者神经缺失症状完全消失,NIHSS:0分。
治疗体会
Tigertriever取栓支架可操控支架的外径和径向支撑力,取栓过程中可对血栓进行充分“按摩”,极大提高了血栓的捕获能力。
Tigertriever取栓支架如果未充分释放,其锚定效能可能不足,跟进中间管可能会导致支架移位。因此,在支架到位后需调控支架外径确保一定的锚定力。
Tigertriever取栓支架“按摩”血栓,增加血栓捕获能力的同时也会增加对血栓的切割作用,因此配合中间管抽吸可能就更为重要,否则血栓逃逸风险可能会增加。

指导专家
乔宏宇
暨南大学附属第一医院
副主任医师、医学博士,暨南大学附属第一医院神经介入中心主任
2001年开始从事缺血性脑血管病介入诊疗工作。擅长神经介入,颅内外缺血性血管疾病、急性缺血性脑卒中介入治疗,颅内动脉瘤、动静脉畸形血管内栓塞术等
广东省卒中学会缺血性神经介入分会主任委员
广东省保健协会脑卒中防治与康复学会副主任委员
广东省医学会神经介入学分会第一届委员会常务委员
关敏
暨南大学附属第一医院
副主任医师,医学博士
广东省医学会神经介入学分会第一届青年委员会副主委
广东省卒中学会缺血性神经介入分会第一届、第二届委员会常务委员
广东省医院协会神经病学分会委员
广东省医学会脑血管病学分会第一届委员会介入学组成员
广东省医学会介入学分会第一届委员会神经介入学组成员
广东省中西医结合学会卒中专业委员会第二届委员会委员
主持广东省医学科学技术研究基金1项。参与获得广东省科技进步二等奖项目1项。2021年被中国卒中学会评选为 “全国百佳取栓治疗金牌医师”;2021年被广东省卒中学会评选为“2021年取栓治疗金牌医师”
术者简介
张亮
暨南大学附属第一医院
主治医师,医学博士
广东省医师协会神经介入分会第一届青年委员会副组长
广东省健康管理学会脑血管病防治和健康促进专业委员会常务委员
广东省中西医结合分会脑血管病分会委员
深圳市医学会神经病学分会第一届青年委员会委员
深圳市医师协会神经内科分会第一届青年委员会委员
从事脑血管病和神经介入工作10余年,完成各类神经介入手术2000余例
以第一或共同第一作者在 Neuroradiology、Journal of Vascular and Interventional Radiology、Stroke and Vascular Neurology、Frontiers in Neurology 等国际期刊发表SCI论文5篇
-END-

扫描左侧二维码
进入微创神通品牌专区

声明:脑医汇旗下神外资讯、神介资讯、脑医咨询、Ai Brain 所发表内容之知识产权为脑医汇及主办方、原作者等相关权利人所有。










