今天为大家分享由同济大学附属第四人民医院神经外科韩国胜主任医师、王伟主治医师带来的:一例混合型鞍结节脑膜瘤的手术切除,欢迎阅读、分享!
引言
脑膜瘤是颅内常见的肿瘤,而鞍结节脑膜瘤是其中的一种,其发病率约2/10万人。早期可无症状,但因肿瘤位置较深,毗邻视神经,颈内动脉,垂体等结构,随着肿瘤逐渐增大压迫视神经时可导致视力下降,视野缺损,严重者甚至出现失明;压迫垂体则可导致激素水平异常,低钠低钾,并出现淡漠,倦怠等症状表现,严重者甚至出现垂体危象。
病例分享
患者66岁老年女性,主因“双眼视物模糊进行性加重3年”入院。
患者3年前无明显诱因下出现左眼视物模糊,未就诊治疗。2年前双眼视物模糊,并逐渐加重,左眼逐渐仅存光感。至当地医院眼科就诊,行核磁检查示鞍区占位性病变。
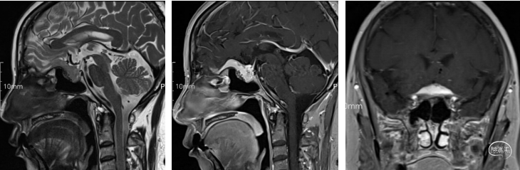
头颅CT:鞍区饱满,蝶鞍等密度占位,未见明显钙化。


头颅增强核磁:蝶鞍可见片条状异常信号影并向前延伸,长度约33mm,高约14mm,垂体显示不清,视交叉受压,增强后强化明显,局部欠均匀,可见脑膜尾征,考虑为脑膜瘤可能。


激素检查:性激素,甲状腺激素,皮质醇等激素检查结果未见明显异常。



视力视野检查:左眼视力:指数/50cm,VFI:1%。右眼视力0.3,VFI:66%。


经详细术前评估及讨论后,予以全麻下行“右额外侧入路鞍区肿瘤切除术”,手术过程顺利,术中见肿瘤生长至双侧视神经管内,肿瘤包绕颈内动脉,同垂体柄粘连紧密。
肿瘤包绕左侧视神经并生长至视神经管内:

肿瘤侵犯右侧视神经并生长至视神经管内:

肿瘤同垂体柄粘连紧密:

切除肿瘤后暴露鞍底硬膜:

全切肿瘤,解剖结构暴露清楚:


术后复查核磁肿瘤切除干净,右眼视力情况较前改善。术后患者出现轻度尿崩,低钠,皮质醇及甲状腺素水平降低,予以对症治疗后好转。
术后核磁:肿瘤切除干净,垂体及垂体柄保留完好,术区无出血。

术后视力视野检查(2025年3月31日):左眼视力:指数/50cm,VFI:0%。右眼视力0.4,VFI:21%。


近期视力视野检查(2025年5月15日):左眼视力:指数/50cm,VFI:0%。右眼视力0.4,VFI:37%。患者双眼视力同前,右眼视野较前显著改善。


术后激素变化:性激素正常,甲状腺激素正常,ACTH恢复正常,皮质醇稍低。



激素水平趋势图
甲状腺素:

ACTH:

皮质醇:

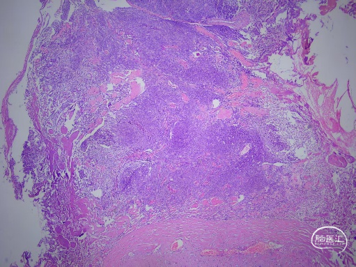
术后病理:脑膜瘤,WHO Ⅰ级。免疫组化:肿瘤细胞EMA(+),SSTR2(+),PR(+),β-catenin(膜浆+),GFAP(-),S-100(-),SOX-10(-),Desmin(-),ATAT-6(-),AE1/AE3(-),CD34(血管+),Ki-67(2%+)。


讨论
1
鞍结节脑膜瘤分型
Type A:鞍结节脑膜瘤:肿瘤起源于鞍隔上,垂体柄前方,前海绵间窦通畅,鞍隔未累及。肿瘤将视交叉向后方或后上方推挤,部分肿瘤侵及视神经管。
Type B:混合型(鞍结节+鞍膈脑膜瘤):起源于鞍隔上,垂体柄后方。前海绵间窦堵塞,肿瘤侵犯鞍隔,视交叉位于肿瘤上方,视神经位于肿瘤侧上方,部分肿瘤侵及视神经管。
Type C:鞍膈脑膜瘤:起源于鞍隔下,前海绵间窦通畅,鞍隔受侵犯,视交叉及视神经位于肿瘤上方,肿瘤不侵及视神经管。

此例鞍结节脑膜瘤属于混合型脑膜瘤,术中见肿瘤同垂体及垂体柄粘连紧密,且肿瘤侵及视神经管内。手术对于垂体及垂体柄骚扰较大,术后易出现尿崩、激素及电解质异常。
2
鞍结节脑膜瘤鉴别诊断
①垂体腺瘤:通常以垂体内分泌障碍为主,70%以上病人出现内分泌障碍,50%以上病人以此为首发症状,视神经受压初期以视野缺损为主,视力改变不明显,颅骨X片约97%病人出现蝶鞍扩大,变形或骨质破坏。
②颅咽管瘤:年龄多较轻,尿崩症和肥胖等丘脑下部受累症状明显,肿瘤发生于垂体上方,常表现为囊实性肿块,66%~74%病人鞍上和(或)鞍内有钙化,特别是蛋壳样钙化对确定诊断更有价值。囊性病变在 T1WI 上可呈高信号或低信号取决于囊内物质,在 T2WI 上表现为高信号,其实性部分和囊壁增强扫描时明显强化。核磁可见正常垂体结构。
③生殖细胞瘤:儿童或青少年期首发症状为长期多饮多尿,数月或数年后出现视力减退,CT可见鞍上有低或等密度实体肿物,没有钙化;MRI在T1像可见鞍上等信号或低信号,T2像为均匀一致的高信号。脑脊液β-hCG升高对诊断生殖细胞肿瘤有重要意义。
3
手术入路选择
①翼点入路:其手术路径短,磨除颅底骨质,充分释放脑脊液,更有利于肿瘤显露,充分减压视神经,分离肿瘤与血管粘连。但翼点开颅对颞肌损伤较大,有可能损伤面神经。蝶骨嵴处理较为繁琐,出血较多。且术中同侧视神经及视交叉对手术操作的阻挡较为严重,如此则增加手术损伤血管及神经的风险。
②额外侧入路:作为翼点的改良入路,其对于鞍区及鞍上的暴露充分,十分适合主体位于鞍上区及鞍前区的鞍结节脑膜瘤。其手术路径短,开颅简单,不易损伤面神经,对颞肌损伤小,不会引起颞肌萎缩。无需处理蝶骨嵴,开关颅时间段,出血少。但由于骨窗较小,对额叶牵拉较重,且术中应注意对嗅神经的保护。
③神经内镜经鼻蝶入路:其入路简单,术中无需牵拉脑组织,对伴脑水肿的病例,可减少进一步损伤脑组织。避免翼点或额外侧入路在分离侧裂过程中对血管和脑纽织的可能损伤,无需在视神经和视交义上方操作,减少损伤视器血运的风险,增加保留和好转视力的机会。但其术后脑脊液漏风险较大,采用任何颅底修补和重建技术均不完全可靠。且经鼻内镜操作空间相对狭小,操作精确度及灵活性与开放经颅显微于术相比有差距,对于质地较为坚韧且粘连严重的肿瘤,术中继发性损伤及出血的风险极大。
总结
鞍结节脑膜瘤位置较深,周围毗邻颈内动脉,海绵窦,视神经,视交叉,垂体及垂体柄等重要结构。手术难度极大,对周围神经保护要求极高。手术者应根据每个患者的肿瘤位置及其与周围组织的毗邻关系,个体化选择最佳手术路径,以达到在全切肿瘤的同时做到功能保护。术前应常规完善激素水平检查,对于激素水平低下者应及时补充。对于术中垂体及垂体柄结构骚扰较大的患者,术后应严密监测出入量,每小时尿量,尿比重,电解质及激素变化情况,围术期应时刻关注患者精神状态及各项指标变化,保证患者安全。
专家介绍
韩国胜 主任医师
● 主任医师、副教授、硕士研究生导师、医学博士
● 哈佛大学麻省总院访问学者
● 同济大学附属第四人民医院神经外科行政副主任
● 2009-2023年就职于第二军医大学附属长海医院神经外科
● 2017-2018年美国哈佛大学麻省总医院访问学习
● 2012年公派至台湾彰化基督教医院学习
● 中国抗癌协会神经肿瘤专委会委员
● 中国医师协会脑胶质瘤专业委员会分子诊疗学组委员
● 上海市医学会神经外科分会脊柱脊髓学组委员
● 上海市中西医结合学会神经外科专业委员会委员
● 上海市抗癌协会肿瘤科普和人文专业委员会委员
● 《中华创伤杂志》青年学术委员
● 海军医疗事故技术鉴定专家库成员
● 获得两次海军“四有”优秀文职人员称号
● 以第一作者/通讯作者等国内外专业期刊发表学术论文30余篇,主持和参与国家科学自然基金9项,获得国家发明专利1项,实用新型专利9项
王伟 主治医师
● 同济大学附属上海市第四人民医院神经外科主治医师
● 南方医科大学硕士研究生
● 毕业后于首都医科大学宣武医院进行住院医师规范化培训,后就职于首都医科大学三博脑科医院,并于颅底、内镜、脊柱、肿瘤、癫痫神经外科相关亚专业组进行轮转学习。以第一作者发表论文6篇,获批国家专利1项
● 擅长各种类型脑出血的微创治疗,脑外伤危重症的治疗,硬膜下血肿的神经内镜治疗,机器人及立体定向活检及穿刺手术治疗,胶质瘤及脑膜瘤等肿瘤的诊疗
声明:脑医汇旗下神外资讯、神介资讯、神内资讯、脑医咨询、Ai Brain 所发表内容之知识产权为脑医汇及主办方、原作者等相关权利人所有。







