
COSIS技术(Chronic artery OccluSion recanalization with the Intracranial protection of Stent retriever,颅内取栓支架保护下的慢性动脉闭塞开通术)是基于加奇生物 Syphonet®取栓支架的独特设计特点而衍生出的针对慢闭开通实施颅内保护的技术,在颅内动脉慢性闭塞,保护伞无法到位的情况下,利用Syphonet®取栓支架作为颅内保护装置,支架远端有网篮设计,可以捕获逃逸血栓而起到保护伞的作用。同时,Syphonet®取栓支架适配0.017、0.021inch的微导管,较小的微导管超选后,可直接将支架输送至远端释放,而减少了多次操作步骤。Syphonet®取栓支架推送导丝设计为0.0154inch,球囊可以通过该取栓支架的推送导丝直接到达狭窄或闭塞部位予以扩张。
左滑查看更多
本期病例
病史简介
患者:男性,59岁,体重65kg。
主诉:发作性左下肢无力、言语含糊1月,加重1周,于2024.11.08入院。
简要病史:1月前,晨起后出现左下肢行走不灵活伴有言语含糊,持续1-2分钟缓解,未重视。1周前症状再发,持续不缓解,外院诊疗后症状消失,同时发现右侧颈内动脉闭塞。
既往史&个人史:“高血压”6年,血压最高180/100mmHg。烟史30年,20支/日;无酗酒嗜好。
入院查体:BP 135/83mmHg,脉搏 72次/分,双侧足背动脉搏动正常,意识清,言语清晰,查四肢肌力、肌张力正常,巴氏征阴性。 NIHSS 0分,mRS 0分。
辅助检查:
· 随机血糖:7.0mmol/L。
· 实验室化验:血常规、凝血功能、肝功、电解质、术前8项正常。
· CYP2C19基因型:中间代谢型。
·血脂、HCY(2024.11.09 本院):LDL-C 1.25mmol/L,HCY 36.3umol/L。
术前影像学检查
颅脑MRI+DWI+MRA(2024.11.05)
右侧放射冠多发亚急性脑梗,右侧颞叶软化灶伴周围胶质增生;多发陈旧性脑梗死;脑白质脱髓鞘改变;右侧颈内动脉闭塞,颅内动脉多发不同程度狭窄。



PWI(2024.11.07)


DSA造影(2024.11.07)
右侧颈内动脉起始段闭塞,动脉晚期可见颈动脉颅内段浅淡显影。

前交通动脉开放,右侧大脑中动脉显影良好。

右侧后交通动脉开放,右侧颈动脉颅内段浅淡显影。

HR-MRI(2024.11.09)
右侧颈内动脉全段管壁不均匀性增厚,腔内见多发混杂信号影,管腔显著狭窄、闭塞。增强扫描管壁不均匀强化,管腔内部分成分强化。

术前讨论
初步诊断
右侧颈内动脉非急性期闭塞
手术方案
全脑血管造影+右侧颈内动脉闭塞开通+球囊扩张+支架置入术。
手术指征
症状性颈内动脉闭塞,无手术禁忌症,CT无出血,患者家属知情同意,行颅内取栓支架保护下的非急性期动脉闭塞开通术。
手术风险
斑块脱落致栓塞事件;过度灌注、颅内出血;血管夹层、血管破裂;手术不成功。
麻醉方式
全身麻醉
围手术期管理
管理血压,预防高灌注,TCD血流监测,防止支架内血栓形成。
术中器械
· 8F Guiding(Ⅱ型弓)
· 6F 125cm 中间导管
· 190cm 微导丝
· 加奇生物 0.014inch 300cm DCwire®微导丝
· 0.021" 155cm 微导管
· Rebar27微导管
· 加奇生物 2.5*15mm SacSpeed®球囊扩张导管
· 加奇生物 Syphonet 4.0*30mm Syphonet®取栓支架
· 4.0*20mm 颅内支架
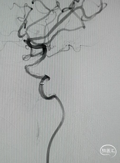
手术过程
DCwire®微导丝通过闭塞段

微导管到达闭塞段以远真腔

释放4.0*30mm Syphonet®取栓支架

2.5*15mm SacSpeed®球囊扩张导管在C5段进行球囊扩张

2.5*15mm SacSpeed®球囊扩张导管在C1段进行球囊扩张

清理管腔血栓

回收4.0*30mm Syphonet®取栓支架

置入4.0*20mm 颅内支架

术后成形良好

术后情况
术后影像(2024.11.12)


血流监测:连续监测TCD压颈试验证实右侧颈内动脉血流通畅。

TCD (2024.11.13)

TCD (2024.11.14)
颈部血管超声(2024.11.18)

后期治疗及随访
颈部血管超声(2024.12.13)

后期治疗:
01.
患者术后无明显不适。
02.
药物治疗:
①抗血小板:
阿司匹林肠溶片 0.1 qd
氯吡格雷片 75mg qd
替罗非班注射液 0.39mg/h,泵入48小时
②调脂、降同型半胱氨酸:
阿托伐他汀钙片 40mg qn
叶酸片 0.8mg qd
维生素B6片 5mg qd
③抗凝:
低分子肝素钙 4000u bid,连用3天
03.
出院时:NIHSS 0分,mRS 0分。
04.
1月门诊复查超声血流良好。拟半年复查头颈部CTA。
病例小结
选对患者:中年男性,症状性颈内动脉非急性期闭塞。PWI示供血区明显缺血半暗带;手术指征明确。闭塞为B型,传统开通风险大,采用COSIS技术开通成功。
精准评估:目前主要的治疗手段为药物保守治疗、搭桥手术、颈动脉内膜切除术(carotid endarterectomy, CEA)、血管内治疗(endovascular treatment, EVT)。
临床获益:1.避免反复交换,精简手术操作,减少手术时间;2.取栓支架远端保护,预防术中栓塞、血栓形成,提高手术安全性;3.Syphonet®取栓支架输送导丝作为工作导丝,提供稳定的系统,近端进行球囊扩张、支架成形、抽吸取栓等一系列操作。

主刀医生张会平院长的“三个敬畏”
每一台慢闭手术都是一场“血管考古”
一敬病理——慢性闭塞的血管不是“死胡同”,而是被时间掩埋的“生命通道”。HRMRI的毫米级评估、术中导丝的'触觉反馈’,都是我们与病变对话的语言;
二敬技术——COSIS不是炫技,而是对患者最大限度的保护。Syphonet®取栓支架的闭环设计既能拦截血栓,又为后续操作铺路,这种“一器多用”的智慧,是器械与术式的完美共舞;
三敬生命——我曾遇过一位患者,闭塞血管开通后握着我的手说:“医生,我重新看见了孩子的笑脸”。这种时刻,让我坚信再复杂的手术都值得全力以赴。

团队共识:慢闭开通的“三要三不要”
要“个体化评估”:不是所有闭塞都能开通,但放弃前必须穷尽影像手段 (如HRMRI管壁分析、灌注-代谢匹配) ;
要“阶梯式预案”:备好球囊扩张、支架植入、紧急取栓等多套方案,术中灵活切换;
要“全程守护”:术后72小时是血栓形成、高灌注的“高危窗口”,需联合神经重症团队实时调控;
不要“盲目追求再通率”:若导丝通过时阻力异常或造影剂外渗,立即终止手术,保安全比开通更重要;
不要“忽视患者心理”:慢性闭塞患者多经历漫长求医路,术前需用3D血管模型直观讲解,重建信心;
不要“孤军奋战”:与麻醉、影像、康复科形成“闭环”,让技术优势转化为生存质量优势。
张会平
宝鸡高新医院
脑科医院副院长,主任医师
陕西省红十字基金会脑卒中专家委员会副主任委员
陕西省红十字基金会神经血管专家委员会副主任委员
陕西省中西医结合学会第一届神经介入专业委员会副主任委员
陕西省卒中学会第一届神经介入分会常务委员
陕西省医师协会神经介入专业委员会第二届常务委员
陕西省非公立医疗机构协会第一届神经内科专业委员会常务委员
宝鸡市脑卒中质量控制中心委员会委员
宝鸡市卒中学会副会长
2021年度获“急性脑梗死再灌注治疗质量改进国家行动”取栓优秀个人;2022年荣获陕西省“取栓治疗金牌医师”
郝涛
宝鸡高新医院
神经内科副主任,副主任医师
现任陕西省红十字基金会神经血管专委会常务委员;陕西省非公医疗机构协会脑病康复专委会第一届常务委员;陕西省医师学会神经介入专委会委员;陕西省中西医结合学会神经介入、介入血管专委会委员;陕西省国际医学交流促进会神经介入分会委员;宝鸡市卒中学会委员
曾在宣武医院缺血性脑血管病脑血运重建中心进修(44届、一年制)。获优秀学员、技术标兵毕业介入手术大赛一等奖称号。曾在空军军医大学(原第四军医大学)唐都医院进修学习介入治疗,曾参加国家脑卒中规范化治疗学习班、颈动脉支架规范化培训。在各类学术期刊发表论文8篇,荣获宝鸡高新医院优秀主诊医师称号、先进工作者,宝鸡市卫计系统岗位技能竞赛个人三等奖。对于脑梗死、脑动脉狭窄、头晕、失眠、焦虑等有丰富的临床经验
擅长:大动脉闭塞脑梗死的急诊取栓术、颈动脉支架置入术、椎动脉支架置入术、颅内动脉支架置入术、急性缺血性脑卒中桥接治疗等介入治疗


声明:脑医汇旗下神外资讯、神介资讯、脑医咨询、Ai Brain 所发表内容之知识产权为脑医汇及主办方、原作者等相关权利人所有。
投稿邮箱:NAOYIHUI@163.com
未经许可,禁止进行转载、摘编、复制、裁切、录制等。经许可授权使用,亦须注明来源。欢迎转发、分享。
投稿/会议发布,请联系400-888-2526转3。












