

Location(地点)
Team(手术团队)

Patient(患者)
Background(手术背景)
● 患儿为10个月大男婴,患有Lennox-Gastaut综合征和发育倒退,常规神经科门诊检查时偶然发现枕部皮样囊肿。患儿母亲称其枕部自出生起就有肿块,且大小间歇性变化。检查发现枕部中线处有一柔软、可压缩、可移动的肿块,存在可触及的茎,提示可能有颅内延伸,但未完全附着于颅骨。超声显示肿块呈纺锤形,回声增强,延伸至枕骨板障空间,颅骨缺损较小,未见脑组织(图1)。
● 皮样囊肿是良性外胚层肿瘤,常发生于颅缝。因有颅内扩展风险,通常建议切除。如能完全切除,预后通常良好。

图1. 超声显示可能的皮样囊肿(红色箭头),向下延伸(紫色箭头)至枕骨(蓝色箭头)。

Technique(技术)
Procedure(手术过程)
1.初次手术:
■ 使用牙科器械分离头皮附着的病变部分,向下解剖至枕骨,发现颅内受累区域。
■ 在病变基底部制作骨膜袖套以确定位置,并用丝线结扎。
■ 整体切除肿块,切除过程中挤出干酪样物质,符合皮样囊肿病理表现。
■ 颅内侵犯仅限于枕骨外层的微小突出,未达硬脑膜,故未进入硬膜内空间。
■ 使用骨水泥重建颅骨缺损,最终病理报告确诊为皮样囊肿。
2.复发及评估:
■ 初次术后初期无特殊,切口愈合良好,无感染或裂开。
■ 术后9个月,患者出现嗜睡及步态共济失调。
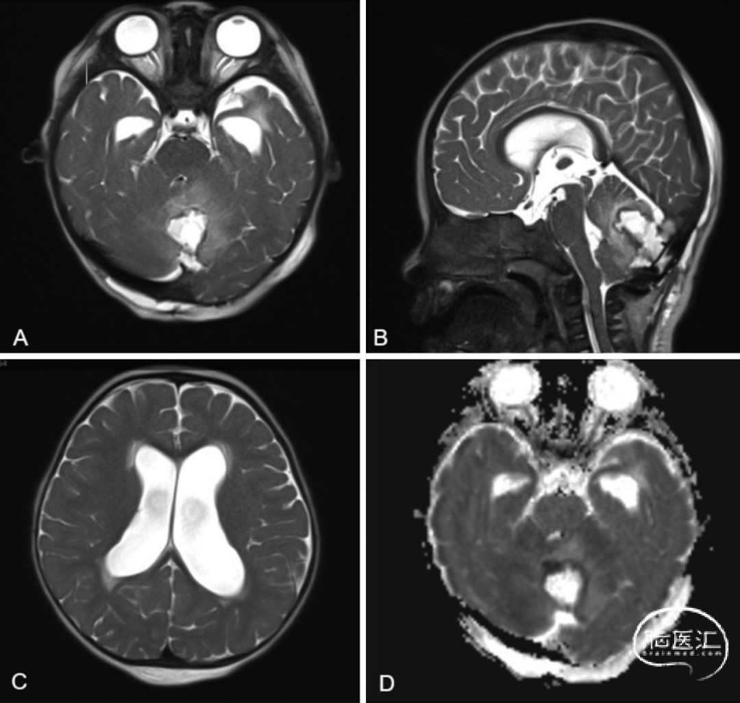
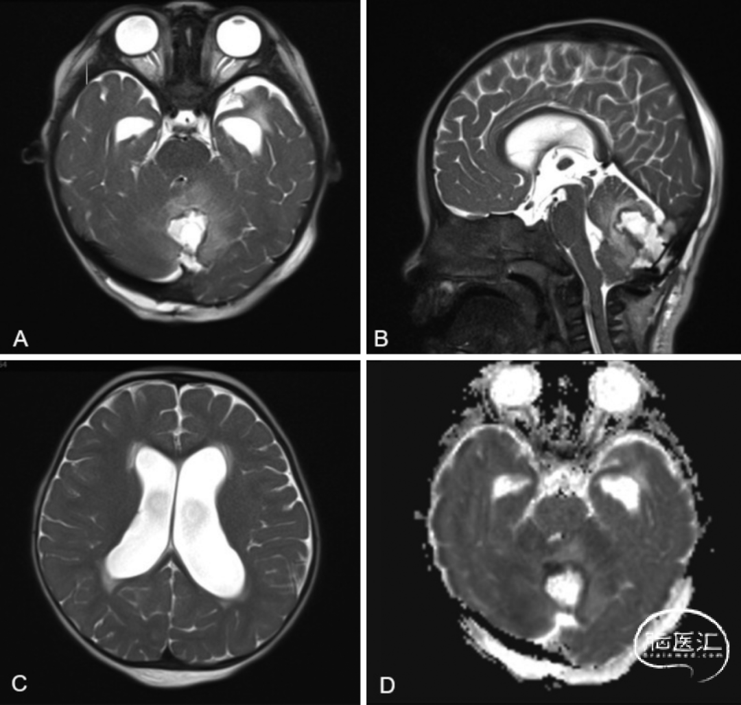
■ 脑部MRI显示后颅窝占位性病变(2.6×3×2.7cm),压迫小脑蚓部,伴幕上脑室扩大(图2)。因病变体积大、有占位效应,伴梗阻性脑积水及神经功能恶化,决定再次手术。
3.二次手术:
■ 采用扩大枕下中线入路,开颅时发现一软组织窦道从原切除/部分颅骨切除缺损处向下延伸。切除病变前,先小心切除该通道,避免损伤附近横窦。
■ 抽吸病变内的黏稠黄绿色液体,再将其从脑组织分离并分块切除,切除组织中可见珍珠白色钙化组织及毛发(图3)。

图2. 随访MRI检查显示小脑中线病变,伴继发性幕上脑室扩大,病变后部致密部分存在弥散受限,符合皮样囊肿表现。

图3. 在3D外视镜下观察到板障内的茎(A)。囊肿整体呈褐色,带有棕色斑点(B),内部可见毛发等表皮样特征(C),符合皮样囊肿的典型表现。图D显示了全切除后的手术腔。

Outcome(结果)
Review(手术复盘)
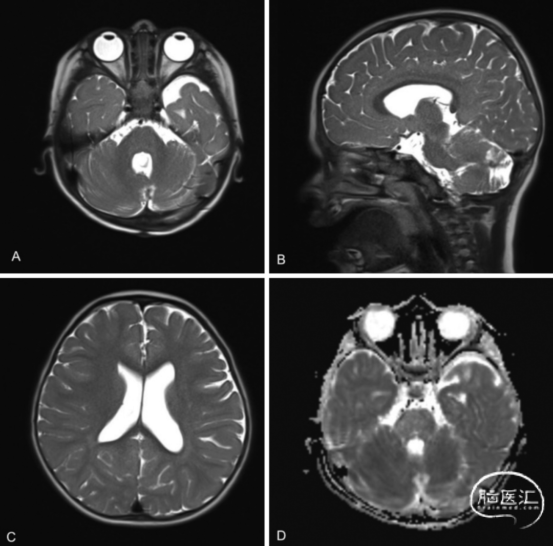
● 术后患者恢复顺利(图4)。给予地塞米松控制水肿。患者出现短暂恶心、呕吐,3天后症状缓解并出院。最终病理报告确认切除的肿块为复发性皮样囊肿,无感染。术后1个月随访时,患者运动功能恢复至术前水平,恢复良好。术后3个月MRI随访显示无残留皮样囊肿,梗阻性脑积水完全缓解(图5)。

图4. 术后MRI检查显示皮样囊肿已完全切除,脑室扩大情况得到部分即刻缓解,与术前相比弥散受限减轻。

图5. 随访MRI检查显示切除腔缩小,脑室扩大情况得到缓解,与术前相比弥散受限减轻。
● 皮样囊肿是一种常见的良性病变,通常生长缓慢。虽然大多数皮样囊肿位于颅骨外,但少数位于中线的囊肿可能会延伸至颅内,导致严重的神经并发症,如感染、脓肿、脑膜炎和癫痫。本病例中,患者在初次手术后9个月出现颅内延伸,提示术前应仔细评估颅内侵犯的可能性,并在必要时采取更为积极的手术策略。
REF:Suresh RE, Eckert T, Stegmann KP, Webb T, Saway BF, Eskandari R. Intracerebellar extension of occipital scalp dermoid after initial resection: illustrative case. J Neurosurg Case Lessons. 2025;9(15):CASE2548. Published 2025 Apr 14. doi:10.3171/CASE2548
点击二维码前往脑医汇-病例夹
查看更多精彩内容
点击二维码前往脑医汇-文献速览查看更多精彩内容
声明:脑医汇旗下神外资讯、神介资讯、神内资讯、脑医咨询、Ai Brain 所发表内容之知识产权为脑医汇及主办方、原作者等相关权利人所有。