
术者寄语
《急性缺血性卒中血管内治疗中国指南2023》指出:颅内动脉闭塞合并原位狭窄患者的手术方式选择尚不明确,由于单纯支架取栓困难大、开通率低,临床常会选择血管成形术或支架置入术作为补救措施。急诊血管内治疗时可以考虑应用血管成形、支架置入等补救措施,以使再灌注血流达到eTICI分级2b50~3级(Ⅱb类推荐,B级证据)。 但先取栓后血管成形的处理方式存在诸多困难:如血栓易位、狭窄远端的血栓难以取出,再通率低;反复交换与取栓可能损伤血管,引起斑块破裂、血管夹层,导致再次通过困难等。现有的取栓器械只是为了单纯的取栓操作而设计,对于ICAS-LVO这类复杂情况,尚缺乏专门的器械与技术。
BASIS(Balloon AngioplaSty with the dIstal protection of Stent retriever)技术——远端取栓支架保护下的球囊血管成形术,正是基于Syphonet®取栓支架的独特设计特点而提出的,可以同时解决狭窄与栓塞的ICAS-LVO患者的治疗技术:
①同时处理近端狭窄与远端栓塞,减少手术时间,提高患者预后;
②相较传统手术步骤可以减少器械交换,降低因器械交换所致的并发症发生风险;
③利用Syphonet®取栓支架抓捕篮作为保护,降低因球囊扩张导致的血栓逃逸风险;
④避免传统手术取栓支架拉栓过病变造成的内膜损伤、斑块破裂、血管痉挛风险。
本期「沛嘉加奇·嘉介谈」邀请惠安县医院邓成信医师、陈先勇主治医师、郑丁还副主任医师、黄培昆主任医师,分享应用:BASIS技术急诊成功开通左侧大脑中动脉急性闭塞并球囊成形支架植入术一例,精彩不容错过。

左滑查看更多
病例简介
01 患者基本信息
患者:男性,58岁。
主诉:意识不清伴右侧肢体无力5小时。
现病史:5小时前无明显诱因下突发意识不清,呼之不答,伴右侧肢体无力,症状渐加剧,急诊行头颅CT示:“左侧岛叶可疑片状低密度影,建议MR检查排查脑栓塞”,进一步完善头颈部CTA后提示“左侧大脑中动脉M1段未见显示,考虑闭塞”,拟“脑梗塞”收入住院。
既往史:否认高血压、糖尿病、冠心病、房颤病史。
入院查体:BP 132/80mmHg。神志浅昏迷,查体欠合作,不能对答。不能言语,呼吸平稳,未闻及异常气味。GCS(E3V1M3)6分,双侧嗅觉视力检查欠合作,双瞳孔常大等圆,D=2.0mm,对光反射迟钝,双眼左侧凝视。右侧鼻唇沟变浅,口角向左侧歪斜。肌力检查欠合作,痛刺激左侧肢体可见定位,右侧肢体见肢体稍屈曲。NIHSS:25分,mRS:5分。
02 术前影像信息
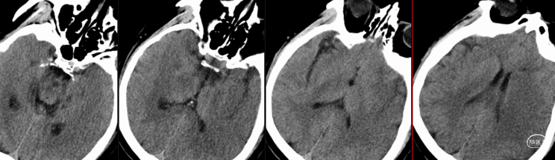
头颅CT(12/3):左侧颞叶可以低密度影,左侧大脑中动脉可疑高致密征。


头颅CTA(12/3):左侧大脑中动脉闭塞。

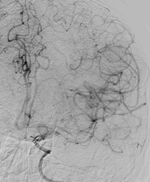
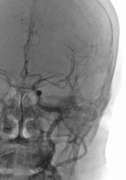
术前造影提示:左侧大脑中动脉闭塞,可见部分豆纹动脉显影,左侧大脑前动脉通过脑膜支代偿左侧大脑中上干。


诊疗经过
01 术前讨论
➢术前诊断
1.左侧脑梗死;
2.左侧大脑中动脉闭塞;
3.右侧大脑中动脉狭窄(M1段局部管腔重度狭窄)。
➢手术策略
中年男性患者,起病急,病情有进展加重表现,造影提示左侧大脑中动脉近端以远闭塞,大脑前部分代偿,造影闭塞为椎形征,考虑脑梗死发病机制为ICAS可能性大。拟行“BASIS技术”取栓及开通左侧大脑中动脉闭塞必要行支架植入术治疗。
02 术中涉及介入器械选择
· 泥鳅导丝
· 6F 长鞘
· 5F 多功能管
· 加奇生物 2.0*15mm SacSpeed®球囊扩张导管
· 加奇生物 6F Tethys®中间导引导管
· 0.014" 微导丝
· Plus微导管
· 加奇生物 4.0*30mm Syphonet®取栓支架
· 4.5*22mm 自膨式闭环支架
03 治疗过程
0.014" 微导丝引导下支架微导管进入M2下干,保留导丝退回微导管,造影提示M2未见显影,考虑“首过效应”阴性。此时考虑病变性质狭窄基础上并大负荷血栓可能,不排除栓塞性病变可能。

微导管到位左侧大脑中动脉下干,造影证实真腔。

沿微导管送入4.0*30mm Syphonet®取栓支架,造影显示:造影见左侧大脑中动脉M1段约1.8cm细长狭窄显影。大脑中动脉一干仍不显影,考虑狭窄明显并血栓形成。以静脉替罗非班推注12ml,同时静脉7ml/h维持。

沿4.0*30mm Syphonet®取栓支架输送导丝送入2.0*15mm SacSpeed®球囊扩张导管,于大脑中动脉狭窄段缓慢扩张成型后,保留Syphonet®取栓支架造影后提示远端血流改善。5分钟后支架锚定、负压下将6F Tethys®中间导引导管拟送至支架近端并接触血栓(中间导管无法到位),用50ml注射器保持抽吸管负压,回拉Syphonet®取栓支架,取出1枚2.0*2mm细小血栓。


取栓后复查造影见左侧大脑中动脉仍闭塞。

再次将4.0*30mm Syphonet®取栓支架释放到位并造影,见左侧大脑中动脉狭窄段仍明显,且靠近豆纹动脉处。

考虑狭窄明显并夹层形成,遂行4.5*22mm 自膨式闭环支架于左侧大脑中动脉水平段并造影。

最后路径手推造影,造影确认脑血流完全恢复,mTICI 3级。

04 术后情况
➢术后影像
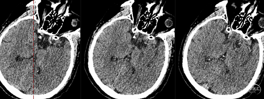
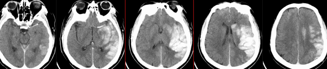
术后第1天复查头颅CT:左侧基底节及颞叶顶叶造影剂渗出改变。

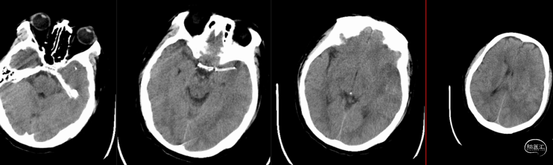
术后第2天复查CT:造影剂吸收。

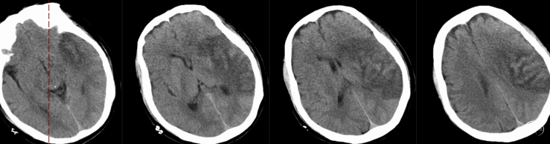
术后4天复查CT:左侧颞叶顶叶梗死,部分渗血改变可能。

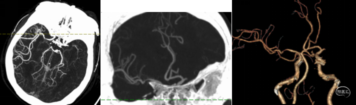
术后复查CTA:提示左侧大脑中动脉通畅,支架在位。



➢术后治疗
替罗非班静脉泵入维持48小时后改双联抗血小板、他汀稳定斑块、依达拉奉右莰醇抗炎抗氧化应激及脑保护治疗。
➢术后14天病人恢复情况
神志清楚,可部分言语,言语含糊。查体:血压 134/80mmHg。神志清楚,GCS(E4V1M6)11分,双侧嗅觉视力检查可,双瞳孔常大等圆,D=2.0mm,对光反射灵敏,眼动可。伸舌居中,左侧肢体肌力5级,右上肢肌力2级,右下肢肌力3+级,NIHSS评分9分。
病例总结
//
此患者病变性质为长节段狭窄,经球囊扩张后夹层改变可能,常规取栓支架治疗存在步骤繁琐,导丝误入夹层假腔可能,选用合适方法进行闭塞开通尤为重要。
Syphonet®取栓支架集远端保护、高效取栓、导丝指引、全程显影多种功能于一体。即使是在Syphonet®取栓支架释放后,仍可以根据术者判断,自由切换单纯取栓、BASIS球囊扩张、支架释放(APOLLO、WALLSTENT等特定类型支架)多种术式。
Syphonet®取栓支架通体显影,提供术中实时反馈,可辅助判断病变位置及血管再通情况,相较显影点的显影方式更直观。
术者信息
黄培昆
惠安县医院
硕士研究生,主任医师,神经外科科室主任、中共党员
泉州市高级人才
担任福建省医学会泉州神经外科分会常务委员
福建省中西结合神经外科学会委员
擅长神经重症患者的救治及颅脑损伤、脑血管病、神经系统肿瘤、脑积水、神经脊柱疾病的诊治与手术
郑丁还
惠安县医院
神经内科,副主任医师
福建省海峡医药卫生交流协会心脑血管病防治分会理事
泉州市康复医学神经康复医学分会理事
研究方向:脑血管疾病,神经介入治疗
陈先勇
惠安县医院
神经外科,主治医师
曾发表SCI论文1篇 IF3.1;主攻神经创伤、动脉瘤及脑栓塞介入、血管外科介入治疗
邓成信
惠安县医院
神经内科,住院医师
曾福建医科大学附属第二医院神经内科进修学习。主攻方向:脑血管疾病、神经介入、癫痫、帕金森、TIA等疾病诊治疗




声明:脑医汇旗下神外资讯、神介资讯、脑医咨询、Ai Brain 所发表内容之知识产权为脑医汇及主办方、原作者等相关权利人所有。
投稿邮箱:NAOYIHUI@163.com
未经许可,禁止进行转载、摘编、复制、裁切、录制等。经许可授权使用,亦须注明来源。欢迎转发、分享。
投稿/会议发布,请联系400-888-2526转3。