
前 言
血流导向密网支架将颅内动脉瘤囊内治疗的理念转向载瘤血管的重建,由于具有高金属覆盖率和较强血流导向能力,可改变载瘤动脉内的血流方向以减少动脉瘤内的血流冲击,促使动脉瘤瘤体内血液滞留和血栓形成。在面对复杂动脉瘤时,使用血流导向密网支架进行治疗,可以简便高效地覆盖瘤颈,重建载瘤动脉,降低手术难度,提高动脉瘤治疗的有效性和安全性,让更多的患者获益。
本期“术”说卒中由重庆医科大学第一附属医院张晓冬教授团队分享Tubridge血流导向密网支架(改进版)治疗颈内动脉巨大动脉瘤。


01
01
患者女性,71岁。
病因:6月前患者无明显诱因出现左眼睑下垂伴重影,2周前患者自觉症状逐渐加重伴眼球活动障碍。
现病史:入院查体情况,T 36.2℃;P 88次/分;R 19次/分;BP 147/91mmHg。意识I级,对答切题,查体合作。定向力、记忆力及计算力无减退。无嗅觉异常,右侧瞳孔直径约3mm,对光反射灵敏,眼球各向运动正常;左侧瞳孔4mm,对光反射迟钝,眼球活动受限;左侧眼睑下垂,右侧无眼睑下垂;双侧面部浅感觉无异常;双侧额纹、鼻唇沟对称,口角无歪斜;伸舌居中,饮水无呛咳,耸肩有力。颈软;四肢肌力V级,肌张力正常。双侧肱二头肌反射(+),双侧肱三头肌反射(+),双侧膝反射(+)。躯体及四肢无感觉减退、过敏。生理反射存在,双侧巴氏征及霍夫曼征阴性。
02
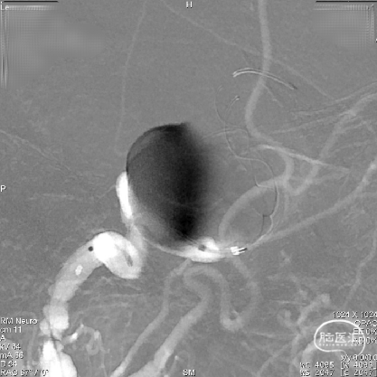
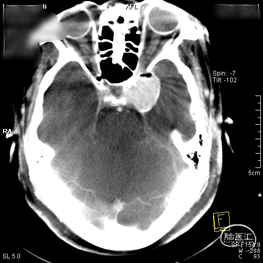
术前CT检查显示,可见左侧侧裂内侧类圆形高密度。
DSA造影显示为左侧颈内动脉海绵窦段巨大动脉瘤。
通过3D工作位测量出左侧海绵窦段动脉瘤尺寸:33mm不规则动脉瘤,载瘤动脉尺寸:近端直径4.55mm,远端直径3.97mm。
诊断结果:
造影后发现该患者左侧海绵窦段动脉瘤,动脉瘤不规则,最大径33mm,未破裂,不累及分叉部,动脉路径迂曲。
手术指征:
根据血流导向装置治疗颅内动脉瘤的中国专家共识提示,对于血流导向密网支架治疗颈内动脉大型及巨大型动脉瘤的闭塞率较高,相比于其他方法更有优势。
治疗方案:
患者为左侧海绵窦段动脉瘤,载瘤动脉段虽然有弧度,但也算平坦,符合血流导向装置释放条件,计划直接释放密网支架。
术中涉及器械
8F 导引导管
0.017 inch微导管
0.014 inch 300cm交换导丝
0.014 inch 200cm神介导丝
Fastrack-27支架微导管
4.5mm*45mm Tubridge血流导向密网支架(改进版)
03
1
通路建立:
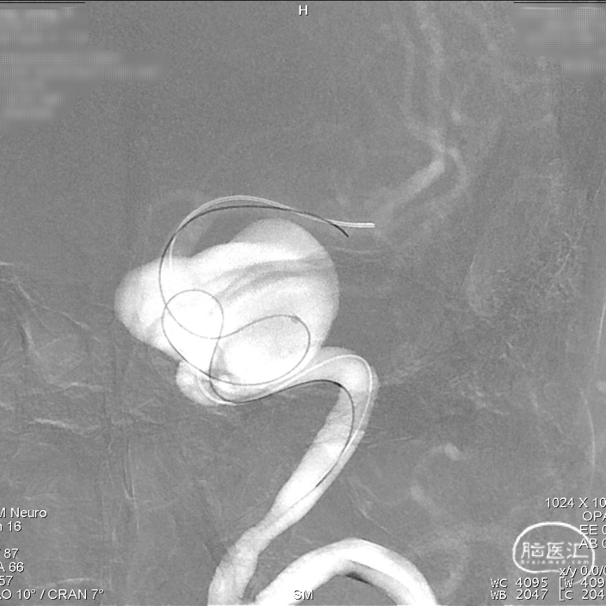
路图显示患者颈内动脉血管迂曲,瘤口处载瘤动脉呈现”S”反角弯;为使支架导管能顺利到达动脉瘤远端区域,采用囊内“成襻/解襻技术”,通过交换导丝带栓塞微导管到达动脉瘤远端,交换Fastrack-27支架微导管到达M1段。
2
支架定位:
输送支架到达支架微导管远端,缓慢回撤Fastrack-27支架微导管使支架头端打开呈“V”型,整体回撤支架系统定位于颈内动脉分叉段下约2mm位置进行锚定。
3
支架释放:
因载瘤动脉较为迂曲,为使支架头端锚定牢固, 4.5mmx45mm Tubridge血流导向密网支架前端1/3处采用稳定支撑系统逐步缓慢给张释放支架,使支架前端充分打开并与血管壁充分贴合。
当Tubridge血流导向密网支架释放到瘤颈弯段位置时,既要保障支架能充分打开、又要保障近端导管张力可控防止支架整体疝入动脉瘤囊内。因此采用节段性“推拉释放技术”既局部给张/松张,来回推挤技术释放支架,并通过持续造影观察支架打开、贴壁及血流转向效果等情况。
通过减影、显影所示,4.5mmx45mm Tubridge血流导向密网支架尾端长度充分且足够,为达到预设计的释放落脚点位置,支架尾端释放采用“推挤+减张瞬间释放技术”通过支架张力使尾端快速打开。
4
造影检查:
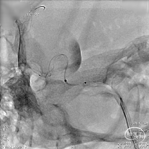
支架打开后即刻造影判断Tubridge血流导向密网支架已充分打开、贴合,同时可见瘤囊内造影剂滞留明显。
5
导丝按摩:
为防止支架未完全贴壁,即刻采用“massage技术”从远至近对Tubridge血流导向密网支架每个节段进行充分按摩。
术后即刻造影显示,支架打开良好、贴壁充分,囊内有明显的滞留。
治疗体会
血流导向密网支架作为治疗大/巨大型颅内动脉瘤各文献中明确确定了它的疗效价值,本病例我们首选采用血流导向密网支架为患者进行治疗。在本次使用Tubridge血流导向密网支架(改进版)治疗颈内动脉巨大动脉瘤过程中,支架头端锚定精准、打开顺利,Tubridge(改进版)良好的通过性和支架的充分贴壁确保了手术治疗的安全性。

术者简介
张晓冬
重庆医科大学附属第一医院
医学博士,副主任医师,副教授,硕士生导师
现任职重庆市医学会神经介入学组副组长;中华医学会神经外科分会神经介入学组委员
2007年赴法国里昂神经疾病中心,系统学习神经血管疾病的诊疗。目前已从事神经外科工作27年,是重庆地区最早开展神经介入治疗的医生之一,累计完成神经血管介入治疗手术超2000台。曾受邀在国际脑血管病论坛及世界颅内支架大会(ICS)上作大会发言。荣获重庆医科大学附属第一医院新技术奖、“手术/操作能手”等大奖,并被授予“学习钱悳精神”好医生称号。带领开展的“支架辅助介入栓塞颅内复杂动脉瘤”技术已处于国内领先,国际先进水平。每年接受大量进修医生的培养工作,并担任研究生及留学生的带教工作,为重庆市培养了大量的神经介入人才
朱继
重庆医科大学附属第一医院
医学博士,教授,主任医师,硕士生导师。
美国哈佛大学医学院附属布莱根医院神经外科访问学者。现任中国医师协会重庆市神经外科分会委员,重庆医师协会神经介入专委会副会长,重庆医学会神经外科专委会神经介入学组顾问,重庆市神经外科诊疗中心副主任,重庆医科大学附属第一医院神经外科血管病专业组(三医疗组)组长
专业优势:从事神经外科医疗、教学、科研工作30多年,专注脑血管疾病研究及临床治疗20多年,擅长对脑血管疾病特别是脑动脉瘤的外科治疗,无论开颅夹闭或血管内介入治疗,均具有丰富临床经验
徐睿
重庆医科大学附属第一医院
重庆医科大学附属第一医院神经外科,医学博士,副主任医师
现任重庆市卒中学会脑出血专委会副主任委员,重庆市卒中学会青年理事会常务理事,中国研究型医院学会神经再生与修复专业委员会委员,重庆市医学会神经外科学分会神经介入学组委员,重庆市医师协会神经外科医师分会智慧神经外科学组委员
从事神经外科医疗、教学、科研工作10余年,专注出血性及缺血性脑脊髓血管疾病的诊治和研究,擅长神经介入、脑血管搭桥、支架成型及血流导向等多种脑血流重建技术治疗复杂颅内动脉瘤和颈部大型动脉瘤,急性及慢性缺血性脑血管疾病等。
郭腾云
重庆医科大学附属第一医院
医学硕士,主治医师
主要从事脑血管疾病的诊断与治疗,参与国家自然科学基金1项,发表SCI及中文核心期刊多篇
-END-

扫描左侧二维码
进入微创神通品牌专区

声明:脑医汇旗下神外资讯、神介资讯、脑医咨询、Ai Brain 所发表内容之知识产权为脑医汇及主办方、原作者等相关权利人所有。