
▶小径输送
直径≤3mm的支架可经其017微导管输送系统释放,轻松达到小血管病变
▶贴壁随形
Thermal Blue热处理技术加持,提升径向支撑力,随血管形状贴壁
▶闭合头端
一体化编制闭合头端,减少血管壁损伤,降低术后并发症,保证支架头端从输送系统中顺利打开
▶更全规格,2.0-6.5mm直径,10-55mm长度
给术者提供更多选择
史怀璋教授病例分享一:左侧大脑前动脉A2段动脉瘤
患者:女性,50岁。
主诉:左侧上肢麻木、发现颅内动脉瘤一个月。
既往史:脑梗死病史一个月,药物治疗。
入院查体:神志清楚,对答切题,GCS评分15分,定时、定向力及记忆力正常,查体配合。双眼视力、视野粗侧正常,双侧瞳孔等大等圆,直径约2.5mm,对光反射灵敏。颈软,四肢肌力V级、肌张力正常,生理反射存在,病理反射未引出。
DSA:提示左侧大脑前动脉A2段动脉瘤,其他血管造影未见明显异常。







术前诊断:左侧大脑前动脉A2段动脉瘤。
治疗方案:血流导向装置植入。
导管鞘组:6F导引导管
远端通路导管:6F*115cm
微导丝:Synchro-14
密网支架:强易达(Choydar)血流导向密网支架2.5mm*25mm
微导管:畅医达
远端通路导管到位:


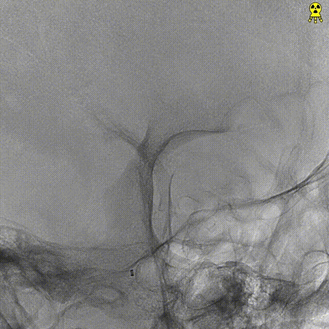
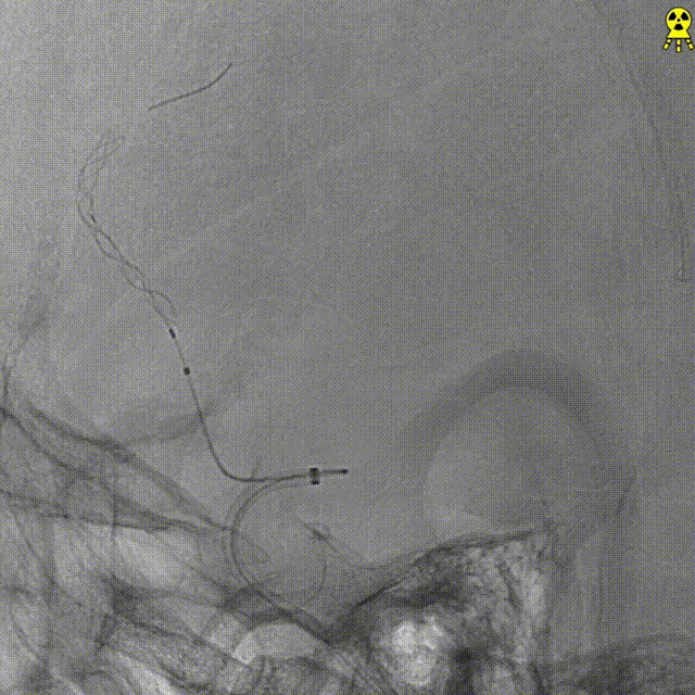
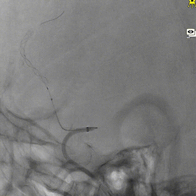
微导管到位:Synchro微导丝导引支架微导管通过病变血管进入。
支架到位,远端打开(工作位):支架释放过程中,轻柔推送支架系统,支架释放,打开良好。



术后造影:支架覆盖夹层动脉瘤,贴壁良好。
术后造影:



强易达(Choydar)血流导向密网支架术中操作顺利,支架推送及释放过程平顺,未见管壁损伤,支架喇叭口形状设计贴壁效果好;径向支撑力高。
该款支架规格齐全,覆盖广,长度10-55mm,直径2.0-6.5mm,且主要直径规格间隔0.25mm,可以根据血管直径,选择合适的规格。
本例病变为大脑前A2段,输送较远,且型号齐全,具备017、021、027和033四种微导管输送,其中017系统,(临床试验中,最远用在大脑前动脉A4段),更适用于远端细小血管病变的治疗。
徐善才教授病例分享二:右侧大脑前动脉A3动脉瘤
患者:女性,59岁。
主诉:检查发现颅内动脉瘤3日。
入院查体:一般状态尚可,无明显阳性体征。
既往病史:高血压病史3年余,口服替米沙坦及贝尼地平;心脏病病史2年,冠脉支架置入术后。


右侧颈内正位造影
右侧颈内侧位造影
载瘤动脉远端血管直径:2.1mm
载瘤动脉近端血管直径:1.8mm
动脉瘤尺寸:瘤颈4.69mm,大小3.25mm*4.21mm*4.24mm;指向右上
近端狭窄:最窄处:0.53mm,远心端2.1mm,近心端2.2mm,长度11.23mm
8F 90cm 基础通路
0.0014" 215cm Traxcess14 TRANSEND 300 微导丝
115cm 中间导管
150cm SL-10 支架微导管
Accessway MC-017-155-S 支架微导管
强易达 FD250-20 血流导向密网支架
Gateway 2.0*15
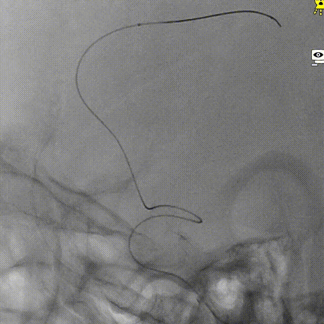
微导管到位。
交换FLOPPY导丝,提高支撑力,带高中间导管。


输送球囊到位、充盈及泄压。
撤出球囊后造影。
支架微导管到位。


支架到位。


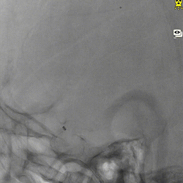
支架全段打开。
支架全段打开造影。

回撤推送导丝及微导管。


术后造影。

术后正侧位造影。


术后VASO CT。


强易达(Choydar)血流导向密网支架材质是镍钛合金,输送易到位;头端导丝、50%释放点、100%释放点清晰,便于观察支架位置。
50%Mark点可帮助分析后半段打开后的尾端位置,近端血管较粗考虑支架短缩,也可调整支架的50%Mark点置于偏近端一些。
支架由2对4根铂钨合金显影丝以对向排列的方式,混合编入支架主体,呈3D立体显影效果,便于观察支架贴壁情况。
术者简介
史怀璋
哈尔滨医科大学附属第一医院
主任医师、教授、博士研究生导师
哈尔滨医科大学附属第一医院神经外科主任
中华医学会神经外科分会神经介入学组副组长
中国医师协会神经外科分会常委
中国医师协会神经介入专业委员会副主委
中国卒中学会理事、介入分会常委
黑龙江省医学会神经外科分会主任委员
黑龙江省医师协会神经介入分会主委、神经外科分会秘书
哈尔滨医学会神经外科专业委员会副主任委员
《中国脑血管病杂志》编委、《中华神经外科杂志》审稿专家、《International Neuroradiology》审稿专家
徐善才
哈尔滨医科大学附属第一医院
医学博士,主任医师,副教授
中国卒中学会神经介入专业委员会委员
中华医学会神经外科分会神经介入学组委员
中国医师协会神经介入专业委员会出血性脑血管病专业委员会委员
黑龙江省医学会神经介入专业委员会主任委员
黑龙江省医师协会神经介入专业委员会副主任委员
黑龙江省脑血管病学会介入专业委员会副主任委员
黑龙江省老年医学研究会神经外科分会常委


扫描左侧二维码
进入畅医达品牌专区

声明:脑医汇旗下神外资讯、神介资讯、脑医咨询、Ai Brain 所发表内容之知识产权为脑医汇及主办方、原作者等相关权利人所有。