![]()
2025年的初春,济南的寒风尚未褪去,63岁的高女士却迎来了一场生命中的巨大挑战。
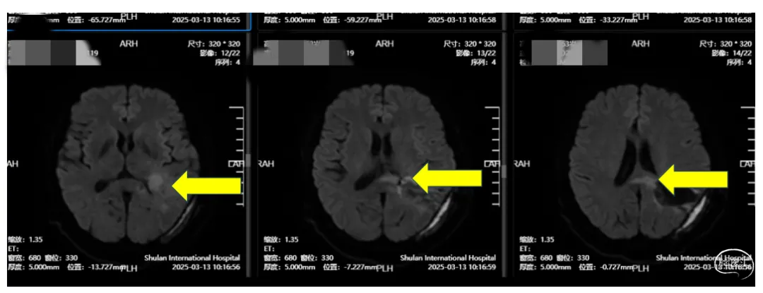
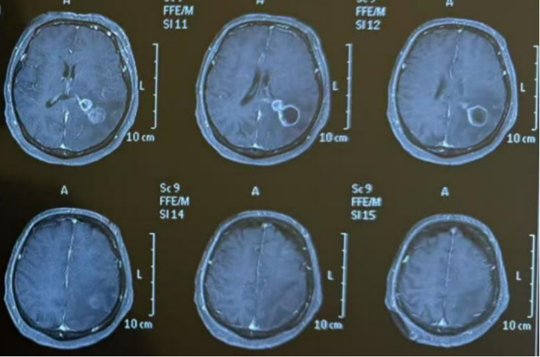
2月初,高女士因记忆力下降,思维迟缓和四肢无力就诊于山东某知名三甲大医院。进行PET-CT+颅脑MRT检查,提示“左顶叶、胼胝体占位性病变”。一场紧急手术切除了肿瘤,但术后病理报告却让其家属心中一沉——“胶质母细胞瘤”,这是恶性程度最高、侵袭性最强的脑肿瘤之一。
![]()
(图1:术前:左顶)
![]()
(图2:术前:左顶+胼胝体)
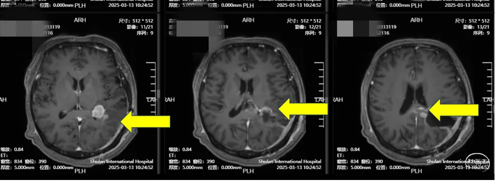
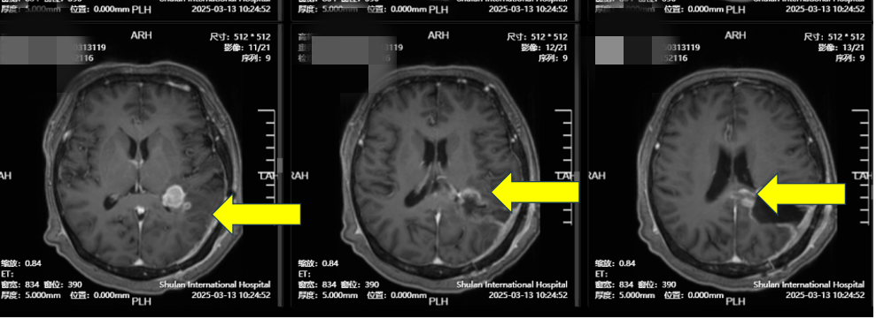
“胶质母细胞瘤”作为一种极其恶性、生长迅速的脑肿瘤,术后的治疗方案对于患者来说至关重要。术后,高女士家属得知树兰(济南)医院神经肿瘤科陶荣杰教授团队在神经肿瘤领域的治疗具有丰富的经验,随即慕名前往。复查影像结果显示:术后肿瘤仍有残留。
![]()
![]()
(图3、图4:术后1月:肿瘤残留)
陶教授团队并未急于制定方案,而是首先为高女士解读基因组检测,试图从分子层面揭开肿瘤的“真面目”。检测报告显示:
MET+突变
CDKN2A/B-缺失
PDGFRA+改变
这些复杂的特征揭示了一个更为严峻的现实:高女士所患的是一种非典型的胶质母细胞瘤,这种类型的肿瘤预后效果更差。
![]()
疾病打击也许接踵而至
但医者仁心却永不缺失
陶荣杰教授团队迅速开展MDT会诊,根据病理、基因检测等,整合诊断结果,结合患者个体情况,制定出针对高女士的【高级别胶质瘤(MET+)】整合治疗方案:
![]()
在成人胶质细胞瘤中,IDH突变型和IDH野生型均会出现MET基因的改变,而MET基因异常是导致患者预后差的重要因素之一。如果能够在高级别胶质瘤患者的治疗中选择MET抑制剂,则可以有效提高患者的生存获益。伯瑞替尼是一种针对 MET 靶点的小分子酪氨酸激酶抑制剂,在治疗 MET 恶性胶质瘤方面有其独特的作用机制、临床研究进展和优势,具有靶向性强、口服给药方便,有利于患者长期接受治疗。
治疗过程中,陶荣杰教授神经肿瘤团队密切监测疗效,在其为高女士“量身定制”的“整合治疗”方案下,高女士脑肿瘤发展得到有效抑制,身体及精神状况逐渐好转。
基因突变虽然让病情变得复杂,但树兰(济南)医院神经肿瘤科陶荣杰教授团队通过精准化诊断、个体化治疗,让每一位患者及其家人看到了希望的曙光。
![]()
陶荣杰 教授
树兰(济南)医院神经肿瘤科 科主任
主任医师、教授、国内知名脑科专家。
曾建立负责山东省肿瘤医院头颈神经外科工作,从事临床工作30余年。在国内率先开展恶性肿瘤间质化疗的技术,手术后明显降低了患者的复发。
擅长颅内恶性肿瘤的综合治疗。脑转移瘤及脑膜转移的诊断和治疗。成人及儿童的原发及复发胶质瘤的临床诊疗。儿童原发生殖细胞肿瘤及胚胎性肿瘤的诊疗。原发中枢神经系统淋巴瘤的诊疗。
擅长解读基因检测报告,根据基因突变,整合诊断,给难治复发的恶性肿瘤进行精准的个体化治疗。
第六届中国胶质瘤协作组副组长
中国抗癌协会肿瘤神经病学专业委员会副主任委员
中国非公立医院协会第一届神经肿瘤专业委员会副主任委员
国家神经疾病医学中心脑胶质瘤MDT专科联盟(NGMA)北方联盟常务理事
中国抗癌协会第一届脑胶质瘤专业委员会常务委员
中国临床肿瘤协会第二届神经肿瘤专业委员会常务委员
中国医师协会第一届脑胶质瘤专业委员会委员
中国抗癌协会第一至第五届神经肿瘤专业委员会委员
中国抗癌协会脑胶质瘤专业委员会第一届脑转移瘤委员会主任委员
中国医师协会脑胶质瘤专业委员会第一、二届药物与生物治疗委员会副主任委员
山东省抗癌协会第一、二届神经肿瘤专业委员会主任委员
山东省抗癌协会第三届神经肿瘤专业委员会名誉主任委员
山东省医学会第一届胶质瘤联合治疗专业委员会顾问
山东省激光医学会第五届理事会理事长
出诊时间:每周一、周三、周四全天
门诊预约:0531 8165 8055





