

引 言
近年来,随着神经介入技术的普及与发展,越来越多的临床专家选择患者舒适度更高的经桡入路,Joshi等报道经桡动脉行脑血管介入治疗已经被证实是安全有效的,而且患者术后恢复时间快,同时经桡进行神经介入手术(包括颈动脉支架、动脉瘤栓塞、取栓、肿瘤栓塞等各领域)成功率较高【94.5%(1268/1342)】,且并发症发生率低【2.90%(39/1342)】[1]。但目前在通路建立方面仍存在担忧:使用常规的Guiding和长鞘经桡入路到位不高,且对血管损伤大,血管痉挛和闭塞发生率高[2];DA及中间导管抗折性和支撑性较弱,经常需要额外的器械辅助到位及支撑,增加操作困难[3],可见传统用于经股的通路导管并不完全符合经桡的使用需求,需专门依据桡动脉入路走行设计专用的导管,特别是加强主动脉弓部导管的抗折能力及支撑稳定性,满足血管走形的要求以保证手术的顺利进行。
易介医疗提供经桡全产品解决方案,以满足不同的手术场景。EasyRadial™经桡输送导管具有良好的支撑性和到位性,有6F/7F的规格选择,能满足颅内病变治疗需求。本次为大家介绍应用EasyRadial™输送导管经桡动脉入路治疗右侧椎动脉动脉瘤一例。
参考文献

本期病例
病史信息
患者:男性,56岁。
主诉:“右侧椎动脉动脉瘤”入院。
既往史:高血压6年余,口服药物治疗。
入院查体:神清,肌力正常,无特殊阳性体征等。
术前讨论
诊断结果
椎动脉动脉瘤。
治疗策略
右侧椎动脉密网支架置入术。
器械选择考量
经桡动脉入路行右侧椎动脉密网支架植入,考虑使用到位性好、支撑力强的导管建立通路,易介EasyRadial™输送导管专为桡动脉入路设计,远端柔软,近端支撑性好,可作为第一选择。
手术器械
· 132cm Simmons导管
· 7F 鞘
· 易介 7F 105 EasyRadial™输送导管
· 微导丝
· 微导管
· 4.0*30mm 密网支架
· 7.0*40mm 血管支架
手术过程
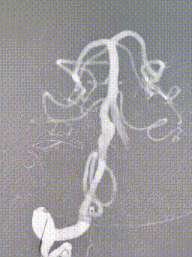
经桡动脉穿刺,132cm Simmons导管带7F 105 EasyRadial™输送导管过弓成攀超选右侧椎动脉。




132cm Simmons导管送至V2段末端输送导管。
微导丝带XT-27微导管至基底动脉尖。



将EasyRadial™输送导管送至V3段保持支撑。

造影测量血管直径3.5,选择4.0*30mm 密网支架释放。




密网支架释放完毕造影,显示支架打开良好。


将EasyRadial™输送导管撤至近端V2段动脉瘤处,释放7.0*40mm 血管支架。
血管支架释放完毕造影,手术结束。


术者总结
EasyRadial™输送导管专为经桡动脉入路手术设计,其凭借出色的支撑力和抗折性能,即使在迂曲复杂的桡动脉路径中,也能轻松应对。该导管通过性好,通路建立顺利,能到达V3-V4段,椎开口大锐角表现优秀没有出现弯折,7F型号可匹配5F中间管和7F薄壁桡鞘。
EasyRadial™输送导管提供了6F(0.071'' )和7F(0.079'' )两种内腔规格,可满足不同手术需求。这种多样化的规格设计,使其能够与多种介入器械完美兼容,无论是颅内动脉瘤的栓塞治疗,还是其他复杂血管病变的介入操作,都能为术者提供有力支持,确保手术过程顺畅无阻,为患者的健康保驾护航。
EGS技术介绍

<<< EGS单管经桡技术 >>>


术者简介
郑树法
福建医科大学附属第一医院
陈绍雄
福建医科大学附属第一医院
医学硕士
主要研究方向为神经重症、脊髓脊柱疾病和脑脊髓血管病研究和诊疗


特别说明:本页面所包含的文字、图片、音视频等内容仅供医学专业人士参考。本页面所包含的内容,仅为专家个人观点,不能代替医疗专业人士的判断。本页面不向非医学专业人士开放,敬请理解。

声明:脑医汇旗下神外资讯、神介资讯、脑医咨询、Ai Brain 所发表内容之知识产权为脑医汇及主办方、原作者等相关权利人所有。
投稿邮箱:NAOYIHUI@163.com
未经许可,禁止进行转载、摘编、复制、裁切、录制等。经许可授权使用,亦须注明来源。欢迎转发、分享。
投稿/会议发布,请联系400-888-2526转3。








