
▶小径输送
直径≤3mm的支架可经其017微导管输送系统释放,轻松达到小血管病变
▶贴壁随形
Thermal Blue热处理技术加持,提升径向支撑力,随血管形状贴壁
▶闭合头端
一体化编制闭合头端,减少血管壁损伤,降低术后并发症,保证支架头端从输送系统中顺利打开
▶更全规格,2.0-6.5mm直径,10-55mm长度
给术者提供更多选择
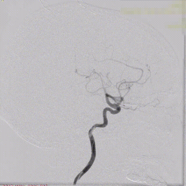
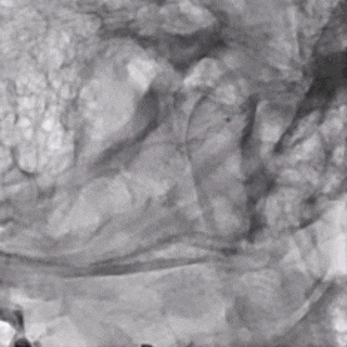
盖延廷教授病例分享一:左侧颈内动脉多发动脉瘤
患者:女性,55岁。
主诉:头疼,检查发现动脉瘤8月余。
入院查体:颅内多发动脉瘤。
既往病史:无。
术前诊断:



左侧颈内动脉:



右侧颈内动脉:



远端锚定点脉前起始近端;近端锚定点海绵窦段。
载瘤动脉远端血管直径:3.23 mm
载瘤动脉近端血管直径:4.17 mm
选用4.25mm*25mm 强易达(Choydar)密网支架。
8F 短鞘
6F 90cm 长鞘
5F 115cm 远端支撑导管
0.014*200cm 微导丝
XT-27微导管
4.25mm*25mm 强易达(Choydar)血流导向密网支架
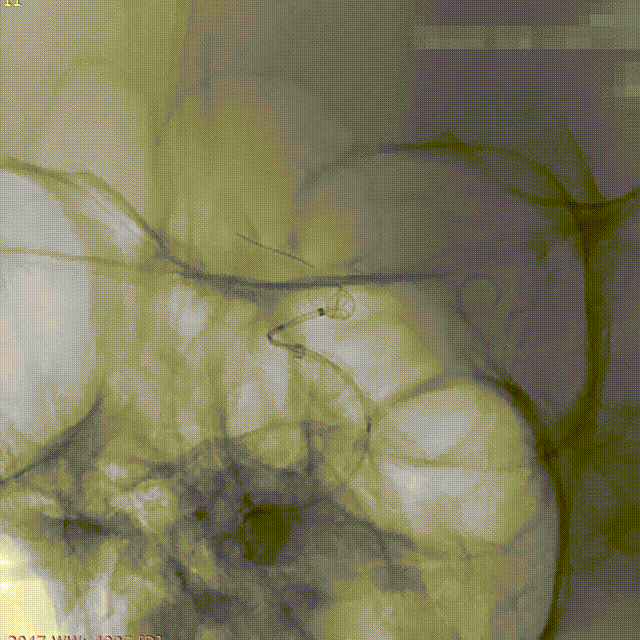
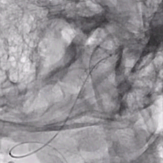
支架及支架微导管到位。


支架头端打开。


支架远端打开造影。




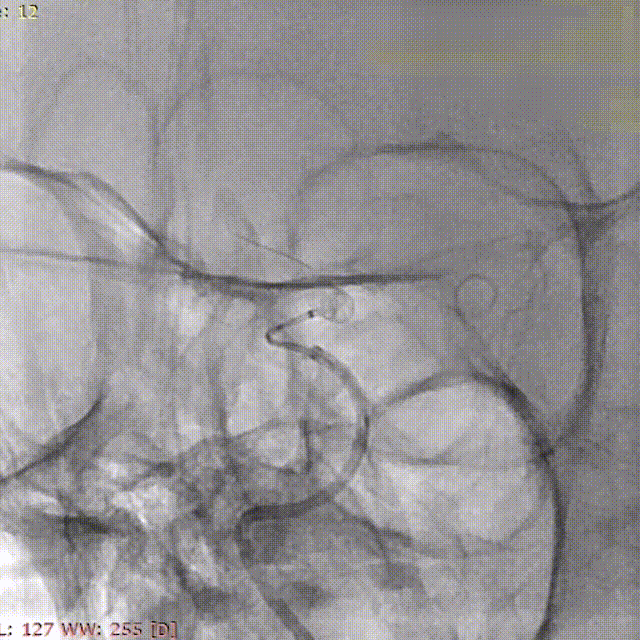
等张释放,支架中段打开至50%释放标记点。


支架中段打开造影。


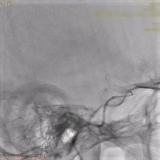
支架近端打开,完全释放。
支架完全释放造影。


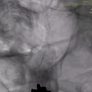
术后即刻造影。



术后重建。


浦奔放教授病例分享二:右侧椎动脉夹层动脉瘤
患者:男性,50岁。
主诉:患者自诉于两周前无明显诱因出现头痛,以右侧枕部胀痛为主,休息后缓解。
入院查体:阴性。
颈部CTA提示:右侧V4近段及中上段、右侧V4中上段管腔中-重度狭窄,动脉夹层可能。
既往病史:2017年曾受“右侧人工髋关节置换术”术后恢复良好。
左侧椎动脉:



右侧椎动脉(劣势):


右侧颈内动脉:



左侧颈内动脉:


左侧椎动脉劣势,颅内段纤细;右侧V4段夹层,血管狭窄。
载瘤动脉远端血管直径:1.50mm
载瘤动脉近端血管直径:1.83mm


8F 短鞘
6F 90cm 长鞘
5F 115cm 中间管
0.014*200cm 微导丝
Accessway-17微导管
2mm*20mm 强易达(Choydar)血流导向密网支架
3mm*25mm 强易达(Choydar)血流导向密网支架
微导丝带017 Accessway微导管上高至远端。


第一枚2*20支架通过017支架微导管到位。


支架远端打开。


支架远端打开情况。


支架中段打开,过50%释放标记点。


造影显示支架整体打开良好。


支架完全释放。


微导管沿推送杆通过支架,撤出推送杆,保留通路。

造影显示支架打开良好,准备桥接第二枚支架。


第二枚3*25支架沿017支架微导管上高。


第二枚支架远端释放。


第二枚支架释放至中段。


中段释放适当推挤系统,保持贴壁良好。


中段释放后造影。


继续释放支架。


继续释放支架,造影观察贴壁良好。


完全释放支架。


支架微导管沿推送导丝上高并将推送导丝撤出。


术后即刻造影。





术后重建。
术后小结
强易达(Choydar)血流导向密网支架头端封闭结构,减少对血管壁的损伤,安全性好。
独特热处理技术增强了贴壁性。整体释放操作简单,无需过多推挤,显影清晰。
强易达(Choydar)血流导向密网支架2-3mm直径可通过其0.017微导管输送系统释放,通过性好,在此病例中也减少了更换微导管带来的操作和风险。
强易达(Choydar)血流导向密网支架打开贴壁良好,2mm和3mm支架在不同血管直径中均展现了良好的贴壁,小血管中表现优异。2mm-6.5mm直径可选,型号多,应用范围广。
经验总结
√ 强易达释放三部曲:头端打开-中段释放-尾端释放
头端打开:推出柔顺
中段释放:等张释放≠无张释放
尾端释放:低张释放
√ 有一定短缩:
支架型号尽量大一号(长度和直径)
远端锚定足够长,8mm以上更安全
√ 弯曲血管释放贴壁满意,导丝按摩稳定
术者简介
宋冬雷
上海冬雷脑科医院
上海冬雷脑科医院院长
BDG冬雷脑科医生集团创始人
原华山医院神经外科主任医师、博士生导师、脑血管疾病组创始人兼负责人
上海市医师协会神经外科分会副会长
上海市社会医疗机构协会神经外科分会会长
2020年荣获上海市首届“医德楷模”提名奖
盖延廷
上海冬雷脑科医院
神经外科主任医师
复旦大学附属华山医院神经外科研究生
世界著名神经介入中心加拿大多伦多西区医院访问学者
德国克虏伯医院神经介入中心访问学者
中国卒中学会神经介入分会委员
中国医师协会神经介入专科医师
浦奔放
上海冬雷脑科医院
神经外科副主任医师,神经外科硕士
从事神经外科工作20余年,拥有丰富的临床经验
擅长术式:颅内动脉瘤、脑动静脉畸形、颈动脉及椎动脉狭窄的微创介入治疗;颅内肿瘤的显微外科手术;偏头痛及糖尿病周围神经病的微创治疗
对重症颅脑外伤、自发性脑出血、急诊脑卒中的救治经验丰富


扫描左侧二维码
进入畅医达品牌专区

声明:脑医汇旗下神外资讯、神介资讯、脑医咨询、Ai Brain 所发表内容之知识产权为脑医汇及主办方、原作者等相关权利人所有。