
导语
血流导向密网支架的出现
对于一些难治动脉瘤
是最好的治疗方案
Surpass Evolve
使用简单、贴壁良好、导流稳定
为医生提供FDs有力武器
史赛克与中国医生一起
提供全面微创卒中解决方案
致力改善患者的临床预后

术者简介
陈峰
青岛市市立医院
神经外科主任医师
中国研究型医院学会脑血管病学专业委员会委员
中国卫生健康委员会脑卒中专家委员会出血性委员会委员
熟练掌握颅内动脉瘤、动静脉畸形、动静脉瘘、海绵窦瘘、脑(颈)动脉狭窄等脑血管病的介入治疗,颅脑损伤、颅内及脊髓肿瘤、脑血管病的显微外科治疗,脑积水,小脑扁桃体下疝畸形等先天疾病的手术及综合治疗
近年来在核心期刊及中华级杂志发表论文十余篇
刘明兴
青岛市市立医院
青岛市市立医院神经外科主治医师,科研副主任,美国Barrow神经外科中心进修,主持国家自然科学基金一项,熟练掌握脑血管介入技术及三叉神经痛微创治疗技术,权威杂志发表SCI十余篇,总影响因子50余分,擅长脑血管疾病的介入治疗,神经导航技术下脑肿瘤切除,临床预测模型的建立等
病例简介
患者基本信息
患者:中年男性。
现病史:进行性视力下降半年入院。
既往史:既往高血压病史7-8年,未发现药物过敏史。
体检:T 36.6 ℃,P 78次/分,R 19次/分,BP 142/67mmHg。中年男性,一般情况可,头颅外观无畸形。心率:78次/min,律齐,双肺呼吸音粗,未闻及干湿性啰音,腹部平软,肝脾肋下未触及。脊柱四肢外观无异常。神经系统查体:神志清,言语流利,问答合作;双侧瞳孔不对称,右侧瞳孔不规则椭圆形,大小直径3mm,对光反射灵敏,左侧瞳孔不规则椭圆形,大小直径2.5mm,对光反射灵敏双眼各方向活动自如,眼震(-);双侧视野缺损;双侧鼻唇沟对称,伸舌居中;四肢肢体肌力5级,肌张力可,腱反射(++),Babinski征(-);双侧痛温觉对称存在,双侧共济协调,颈软,脑膜刺激征(-)。
辅助检查示:2025-01-08 鞍区及垂体MR平扫:鞍内及鞍上肿瘤,垂体瘤并卒中?建议鞍区及垂体MR增强扫描。












2025-1-19 DSA造影3D重建及方案讨论:
手术难点:
1、支架辅助弹簧圈栓塞or密网支架植入术?
2、密网支架的锚定区如何选择?
3、密网支架植入术是否辅助填塞弹簧圈?
4、远端血管直径较细,支架微导管能否顺利到位,输送支架时能否稳定?
DSA造影3D重建测量



拟行脑动脉瘤密网支架置入术。

8F股鞘
90cm 6F长鞘
Catalyst5 115cm
XT-27微导管 150cm
Synchro2微导丝
2.5mm*15mm Surpass Evolve密网支架,支架锚定区为右侧A2~A1
顺利建立通路,在输送支架到位过程中,XT-27保持稳定。
造影确认远端打开良好,定位后完全释放支架。


支架置入后造影显示,瘤内滞留明显,对侧造影几乎未见瘤内造影剂显影,手术结果满意。


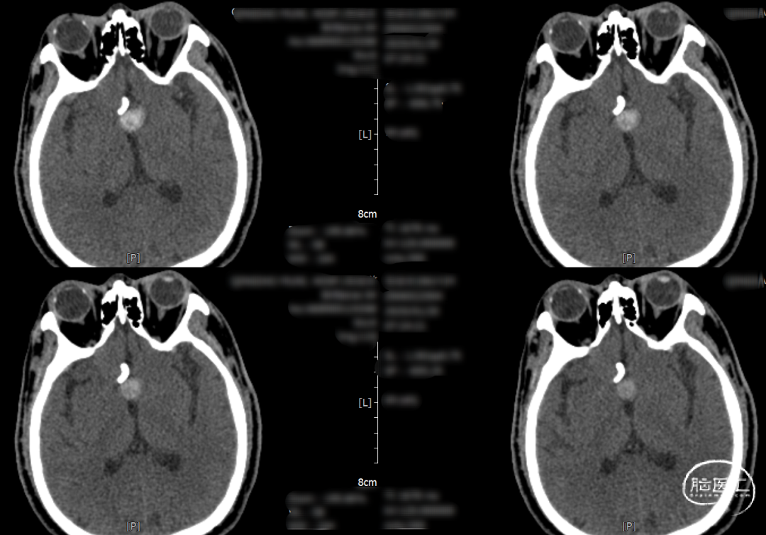
术后一天检查。







1.该病例通过多方面考虑,选择密网支架植入术手术方案,且锚定区仅为右侧ACA,不影响对侧血流。
2.Surpass Evolve输送顺滑,跟踪性强,在输送支架过程中,XT-27微导管头端稳定。
3.Surpass Evolve打开顺利,打开即贴壁。尤其支架的远端打开顺利,减少了小血管中释放密网支架的操作,降低了术中并发症的风险。
END


扫码进入史赛克品牌专区



声明:脑医汇旗下神外资讯、神介资讯、脑医咨询、Ai Brain 所发表内容之知识产权为脑医汇及主办方、原作者等相关权利人所有。








