
“重庆大学附属肿瘤医院神经外科月刊”每月回顾经典病例,针对神经系统疾病诊断、治疗提出最优治疗方案。病例包括神经系统肿瘤、脑血管疾病、脊柱脊髓疾病等。科室经历20余年发展,已形成以神经外科为先导、肿瘤专科为特色、专家有特长、专病专治的特点,拥有国内外先进技术并可以保持同步发展的神经外科专科队伍。科室目前可开展精准外科体系治疗脑胶质瘤、经鼻内镜下鞍区肿瘤切除手术、复杂颅内颅内动脉瘤介入及夹闭手术、脊柱脊髓肿瘤及退行性病变微创手术、神经导航或机器人辅助下脑内组织穿刺活检技术、神经内镜下脑室内、松果体区肿物切除、神经内镜与显微镜双镜联合行大脑深部、颅底的复杂肿瘤切除等。

本期为大家分享,重庆大学附属肿瘤医院神经外科病例精彩内容:胼胝体压部蝴蝶状胶质瘤。欢迎阅读和分享!

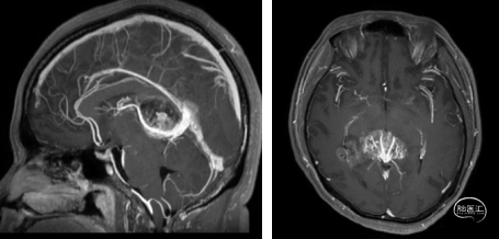
病人资料

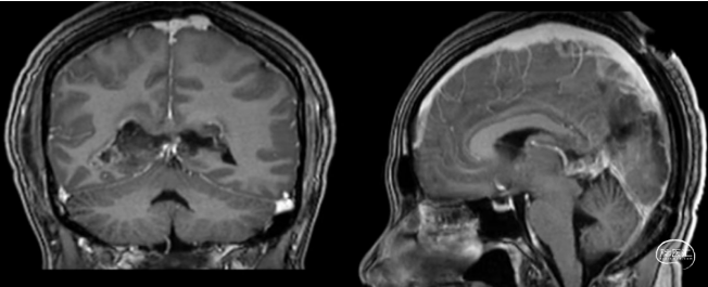
术前MRI


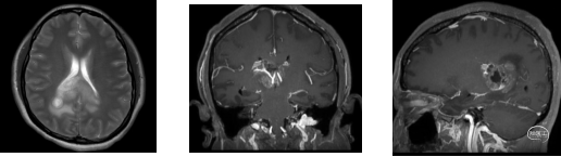
锥体束及视辐射

术前评估




手术方案设计
1
临床症状进行性加重,短期内出现头痛症状,影像学提示胼胝体压部占位,肿瘤紧邻三脑室顶后部、中脑顶盖、中脑导水管、四叠体池/脑深部引流静脉受压明显,占位效应重。
2
手术风险评估:肿瘤位于脑中央深部,毗邻重要功能结构,与大脑内静脉、大脑大静脉、脉络膜后内侧动脉、中脑顶盖关系密切,肿瘤血管丰富,可能来源于脉络膜动脉及其分支。
3
手术入路选择:采用枕部经右侧皮层造瘘+左侧纵裂/大脑镰入路,增加的对侧视野的暴露,同时右侧皮层造瘘,避免过多牵拉双侧枕叶、避免损伤重要血管结构及重要的神经纤维束。
4
手术技术要点:术中神经导航+超声定位,精准手术入路;采用CUSA瘤内减压,仔细辨别肿瘤供血动脉,精准保护引流静脉及周围脑组织,避免损伤静脉及重要功能结构。
5
手术策略:第一、瘤内减压,缓解占位效应;第二、仔细辨别肿瘤血供与引流静脉关系,分离重要静脉,阻断肿瘤供血;第三、分离瘤周,保护重要功能结构,尽力切除肿瘤。
6
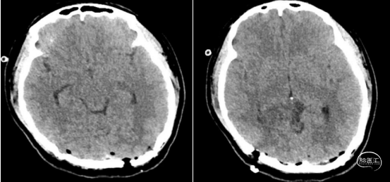
术后管理要点:严密监测神经系统症状,密切观察患者头痛缓解情况、发热等。术中血性或者炎性脑脊液容易出现三脑室底、中脑导水管部分黏连或者堵塞形成梗阻性脑积水,需要定期复查,制定后续治疗综合方案,若仍不能缓解者则需要手术治疗。
手术过程精要

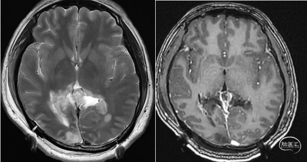
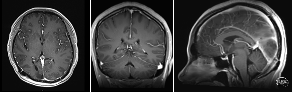
术后








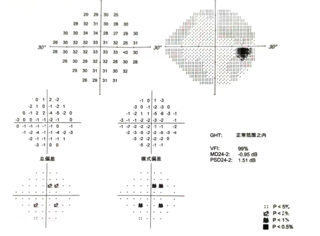
相关量表评分
MoCA 29/30
WAB 言语正常
MMSE 28/30
术后思考
本例患者影像学上表现为累及胼胝体压部的典型的蝴蝶状胶质瘤,病变累及双侧半球,非对称分布。手术均用右侧顶枕叶造瘘+左侧纵裂入路,术中先后探查和分块切除大脑镰后部两侧的病变。大脑镰后部毗邻大脑深部静脉系统,需要尽可能避免损伤Galen静脉或下矢状窦等重要结构,左侧纵裂入路可能有利于实现更好的功能保护。位于胼胝体不同部位的蝴蝶状肿瘤,由于解剖基础和功能保护的需求,采取不同的入路,从而在尽可能保护脑功能的前提下安全切除病变。
讨论
蝴蝶状胶质瘤(Butterfly Glioblastoma,bGBM)是胼胝体胶质瘤(胶质母细胞瘤)和胼胝体周围脑胶质瘤(胶质母细胞瘤)的总称,一种指肿瘤原发于胼胝体内,肿瘤局限于胼胝体内或者肿瘤大部分位于胼胝体内,有部分瘤体向一侧或两侧大脑侵犯,病变呈“蝴蝶状”;另一种是指胼胝体附近的脑胶质瘤侵犯胼胝体,肿瘤大部分位于一侧大脑半球深部向中线部位生长,影像学表现为“半个蝴蝶状”[1]。
bGBM最常见的部位是额叶(64.1%)和顶叶(15.4%)。bGBM侵袭胼胝体最常见的部位是在膝部(48.7%)和压部(28.2%)。bGBM最常见的症状包括头痛、认知能力下降,包括意识混乱和记忆丧失,以及癫痫发作。后期可出现神经功能缺损及颅内高压症的表现。影像学诊断基本同胶质瘤,特征即肿瘤存在于胼胝体两侧,突入脑室及脑实质内[2]。
1746例GBM中,39例为bGBM。患者确诊时的平均年龄为57.8岁。诊断后的中位总生存期为3.2个月,总6个月生存率为38.1%。在单因素分析中发现,年龄、诊断时的Karnofsky性能状态、术前肿瘤体积、术后肿瘤体积和切除程度对生存率有显著影响。在多变量分析中,术前肿瘤体积和切除与活检的治疗方法被确定为独立的预后因素,而不考虑患者在诊断时的年龄和KPS的特异性特征。切除和活检分别占35.9%和64.1%。切除比活检预后更好(HR 0.37, p = 0.009),最小切除程度为86%,观察到生存获益(HR 0.054, p = 0.03)。术后持续神经功能缺损率为7.14%。年龄小于70岁的患者预后较好(HR 0.32, p = 0.003)。接受肿瘤切除术和辅助放化疗的患者预后优于未接受三种治疗方式之一的患者(HR = 0.34, p = 0.015)[3]。
bGBM手术难点常表现为以下几个方面:①肿瘤体积大,显露困难,如何选择入路;②深部结构复杂,肿瘤与深部动静脉系统以及胼胝体关系密切;③如何平衡术后的生活质量下降和肿瘤预后不佳。不同研究中bGBM手术策略的选择不同。一般来说,肿瘤体积较大的一侧是首选的入路途径,当两种肿瘤大小相似时,首选非优势半球,对侧肿瘤通过同侧切除腔切除,可结合神经内镜技术。对于双侧肿瘤均体积较大单侧入路难以切除,或者肿瘤主体位于胼胝体压部周围毗邻重要静脉结构,亦可选择双侧入路[4]。
有文献介绍了一种新的扣带回保护技术使术后患者昏迷时间和昏迷发生率均有明显下降(术中扣带回电生理监测技术),在全身麻醉下,首先在非优势侧进行肿瘤切除。然后,对优势额叶和胼胝体膝的病变进行清醒手术。肿瘤切除术通过两个额叶的最小皮质切口进行。术后磁共振成像显示大体全切除,患者无运动性沉默症及昏迷。术中采用双极4mA电刺激法对额叶进行标测。同时进行计数、视觉命名和听觉理解测试。在语言治疗师与患者交谈时,仔细地切除了优势侧的肿瘤。当言语反应性降低时,遂停止手术。术后患者均未有明显失语或谵妄等症状,同时接受替莫唑胺化疗后,生存时间均超过24个月[5][6]。

参考文献

[1] BJORLAND L S, D?HLI KURZ K, FLUGE ?, et al. Butterfly glioblastoma: Clinical characteristics, treatment strategies and outcomes in a population-based cohort [J]. Neuro-oncology advances, 2022, 4(1): vdac102.
[2] DADARIO N B, ZAMAN A, PANDYA M, et al. Endoscopic-assisted surgical approach for butterfly glioma surgery [J]. Journal of neuro-oncology, 2022, 156(3): 635-44.
[3] DAYANI F, YOUNG J S, BONTE A, et al. Safety and outcomes of resection of butterfly glioblastoma [J]. Neurosurgical focus, 2018, 44(6): E4.
[4] HOSOYA T, YONEZAWA H, MATSUOKA A, et al. Combination of asleep and awake craniotomy as a novel strategy for resection in patients with butterfly glioblastoma: Two case reports [J]. Surgical neurology international, 2022, 13: 492.
[5] PALMISCIANO P, FERINI G, WATANABE G, et al. Gliomas Infiltrating the Corpus Callosum: A Systematic Review of the Literature [J]. Cancers, 2022, 14(10).
[6] SINHA S, AVNON A, PERERA A, et al. Butterfly gliomas: a time for stratified management? [J]. Neurosurgical review, 2023, 46(1): 223.

专家简介

杨海峰 主任医师
● 重庆大学附属肿瘤医院神经外科科主任,主任医师,医学博士,硕士研究生导师
● 主要从事神经系统肿瘤的显微手术及内镜手术治疗及恶性脑肿瘤发生发展机制研究
● 近5年主持国家及省部级课题5项,发表高水平SCI文章20余篇
● 学会任职:中国抗癌协会神经肿瘤专委会常委,中国抗癌协会肿瘤神经病学专委会常委,中国抗癌协会脑胶质瘤专委会委员,中国医师协会脑胶质瘤专委会委员,中国临床肿瘤学会神经肿瘤专委会委员,中国解剖学会神经解剖专委会委员,中国医学装备协会神经外科分会委员,中国医药创新促进会脑神经药物临床研究专业委员会委员,中国脑膜瘤多学科诊疗协作组专家委员会委员,重庆抗癌协会脑胶质瘤专委会主任委员,重庆市医药生物技术协会神经外科专委会主任委员,重庆市医师协会脑胶质瘤专委会副主任委员,重庆抗癌协会神经肿瘤专委会副主任委员,中国临床医生杂志审稿专家,美国Cleveland Clinic访问学者
吴碧莹 住院医师
● 重庆大学附属肿瘤医院神经外科住院医师,医学硕士
● 重庆市生物医药技术委员会神经外科专委会委员
● 主要从事神经脊柱脊髓疾病及中枢神经系统肿瘤的治疗
阮健 副主任医师
● 副主任医师,医学博士
● 德国Klinikum Kassel神经外科访问学者
● 美国威斯康星麦迪逊分校显微神经外科实验室访问学者,作为Research Fellow进行颅底显微解剖研究及训练一年
● 北京天坛医院神经介入中心进修学习
● 欧美同学会颅底外科分会委员
● 中国抗癌协会脑胶质瘤/脑转移瘤专业委员会委员
● 重庆市医师协会青年医师委员会委员
● 主要从事神经系统肿瘤的显微外科手术及脑血管疾病神经介入治疗

科室简介


01
科室简介:
02
科室人员构成:
03
科室特色:
(1)现代精准外科体系治疗脑胶质瘤;
(2)经鼻内镜下鞍区肿瘤切除手术,包括常见垂体腺瘤、颅咽管瘤、鞍结节脑膜瘤、侧颅底肿瘤等;
(3)复杂颅内颅内动脉瘤介入及夹闭手术;
(4)神经导航或机器人辅助下脑内组织穿刺活检技术;
(5)神经内镜下脑室内、松果体区肿物切除以及神经内镜下三脑室底造瘘技术治疗脑积水;
(6)脊柱脊髓微创切除及固定手术;
(7)神经内镜与显微镜双镜联合行大脑深部、颅底的复杂肿瘤切除。
点击上方二维码
查看重庆大学附属肿瘤医院神经外科更多内容

声明:脑医汇旗下神外资讯、神介资讯、神内资讯、脑医咨询、Ai Brain 所发表内容之知识产权为脑医汇及主办方、原作者等相关权利人所有。