


本期病例
1
患者资料
患者基本信息:男性,60岁。
主诉:突发言语含糊伴右侧肢体无力18小时。
现病史:患者于入院前18个小时突然出现言语含糊伴右侧肢体无力,行走不稳,在当地医院静脉溶栓后仍觉肢体无力伴言语含糊,为求进一步诊治转诊我院。
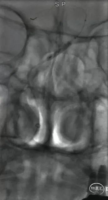
2
术前影像
急诊绿色通道多模式CT评估,诊断为急性脑梗死(大动脉硬化性),基底动脉闭塞。



左侧胚胎型大脑后动脉

右侧后交通动脉开放。

椎动脉造影显示基底动脉起始部以远未显影。

3
术前讨论
患者为中年男性,既往有高血压病史,未规范治疗;2年前“脑梗死”对症治疗后未遗留后遗症。患者病程中进展加重,静脉溶栓未见明显缓解,判断ICAS可能性大,为防止闭塞处血栓形成并逃逸,选择BASIS+技术急诊给予血管内介入开通治疗。
4
术中涉及介入器械选择
· 加奇生物 21系列 Fastunnel®输送型球囊扩张导管 2.25×15mm
· 加奇生物 Syphonet®取栓支架 4×30mm
· 5F 132cm 中间导管
5
手术过程
21系列 Fastunnel®输送型球囊扩张导管 2.25×15mm沿微导丝顺利通过闭塞血管,至右侧大脑后动脉。

通过21系列 Fastunnel®输送型球囊扩张导管 2.25×15mm顺利释放Syphonet®取栓支架 4×30mm。

将21系列Fastunnel®输送型球囊扩张导管送至病变血管,准确定位后,缓慢以6atm命名压充盈扩张。


造影

回收21系列 Fastunnel®输送型球囊扩张导管,并将中间导管越过病变部位,回收Syphonet®取栓支架。

基底动脉中下段局限性狭窄,远端血管显影良好,替罗非班推7,走6,并观察半小时。

再次复查造影,血管情况大致同前,结束手术。
6
术后情况
术后复查血管及灌注成像


病例总结
1.症状性基底动脉闭塞被称为“灾难性脑梗死”,影响预后的重要因素之一是疾病的早期识别及恰当的治疗策略。
2.基底动脉狭窄基础上进展性闭塞,发病机制可能与血流动力学改变基础上原位血栓形成相关。直接球囊扩张易导致易位栓塞,尤其对于术前远端血管存在的患者,无疑是“雪上加霜”;采用闭塞段支架取栓,可能因局部重度狭窄远端血栓不易取出,同时反复取栓对局部斑块的损害,导致斑块破裂,甚至血管夹层等。
3.Fastunnel®输送型球囊扩张导管与Syphonet®取栓支架的联合运用无疑是“双剑合璧”:BASIS+技术不仅能解决血栓逃逸,“一站式”球囊扩张与血管成形,减少术中交换,优化手术流程;支架远端铆定,大大增加了手术器械的输送能力,提高手术效率,减少手术并发症的发生率,正可谓“1+1>3”。
陈文伙
福建医科大学附属协和医院
主任医师、副教授,硕士研究生导师,福建医科大学附属协和医院脑血管病科主任。
2008年在北京宣武医院神经介入中心进修神经介入1年。
目前担任中国医师协会神经介入分会常务委员、中国卒中学会神经介入分会委员、中国研究型医院学会介入神经病学专业委员会委员、福建省医学会神经病学分会委员、福建省神经病学学会介入学组副组长、发表论文20余篇,其中以第一作者或通讯作者发表SCI 12篇。
张敏
福建医科大学附属协和医院
福建医科大学附属协和医院脑血管病科副主任医师 医学博士。毕业于空军军医大学附属西京医院。擅长各种类型脑血管疾病的诊断、内科治疗及介入治疗。
中国卒中学会移动医疗分会委员;
中国中西医结合委员会神经内科分会常务委员;
中国老年医学学会眩晕分会常务委员;
中国中西医结合介入学分会委员;
中国老年医学学会神经病学分会委员;
福建省多发性硬化联盟组员;
福建省海峡医学会神经病学分会常务理事 ;
福建海峡医学会高血压分会理事
主持及参与国家自然基金、福建省级、厅级重点课题、军区课题多项。实用性专利2项,在研发明专利1项;发表国、内外医学杂志十余篇。


声明:脑医汇旗下神外资讯、神介资讯、脑医咨询、Ai Brain 所发表内容之知识产权为脑医汇及主办方、原作者等相关权利人所有。
投稿邮箱:NAOYIHUI@163.com
未经许可,禁止进行转载、摘编、复制、裁切、录制等。经许可授权使用,亦须注明来源。欢迎转发、分享。
投稿/会议发布,请联系400-888-2526转3。








