2018年08月14日发布 | 201阅读

栓塞性中风可导致动脉瘤样蛛网膜下腔出血

王勇杰

浙江大学附属第二医院

达人收藏

【Ref: Rahme R, et al. World Neurosurg. 2016 Mar 22. pii: S1878-8750(16)00456-3. doi: 10. 1016/j. wneu. 2016. 03. 037. [Epub ahead of print]】


约15%的自发性蛛网膜下腔出血(subarachnoid hemorrhage,SAH)并非动脉瘤破裂所致。近期研究发现,缺血性卒中是导致自发性大脑凸面SAH的原因,但与脑池SAH的关系仍不清楚。到目前为止,文献仅报道过3例脑池SAH与穿支血管阻塞同时存在的病例,推测小穿支动脉阻塞后出血。美国爱诺华神经科学研究所神经外科的Ralph Rahme等在2016年3月的《World Neurosurg》上报告2例继发于栓塞性中风的SAH患者。

 

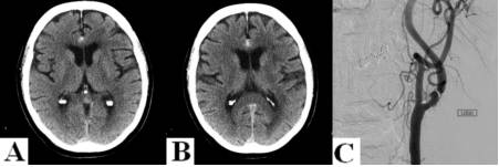
病例1:64岁女性患者,抽烟,既往高血压病史。因突发剧烈头痛入院,神经系统查体阴性。头颅CT提示颅底脑池内对称性、弥漫性SAH(图1A)。颈部CTA提示右侧锁骨下动脉近端重度狭窄,可见一钙化斑块起源于头臂干;此外,于右侧颈内动脉发现一钙化溃疡斑块(图1B和1C)。次日及1周后的DSA检查均未见颅内血管性病灶(图1D-F);右侧锁骨下动脉盗血明显,致使血流完全经右侧椎动脉逆转(图1G和1H)。第10天查MRI-DWI相上发现多发小梗死灶,分布于右侧大脑中动脉供血区和双侧扣带回(图1I-P)。患者诊断为右侧颈内动脉起源的颅内动脉血栓栓塞。给予阿司匹林口服后好转出院。



图1. A. 头颅CT显示弥漫对称的脑池SAH;B、C. 颈部血管CTA显示钙化的动脉粥样硬化斑块,导致右侧锁骨下动脉近端严重狭窄(B图箭头)和右侧颈内动脉起源处钙化溃疡斑块(C);D-H. DSA排除动脉瘤或血管畸形(D-F),DSA见右侧锁骨下动脉盗血现象,血流在右侧椎动脉逆流(G和H);最后2排MRI- DWI成像,显示右侧大脑中动脉供血区和双侧扣带回多发小弥散受限病灶。

 

病例2:66岁女性患者,吸烟,既往高血压病史。因突发右侧眼眶周围疼痛、畏光和看到漂浮物而收治入院。头颅CT提示前纵裂SAH。次日DSA未见颅内血管异常,左侧颈内动脉近端可见粥样硬化斑块引起90%以上狭窄。6小时后,患者突然出现失语,头颅MRI-DWI图像显示左侧大脑中动脉供血区多发弥散受限病灶,提示左侧颈内动脉斑块脱落引起的继发性血栓栓塞。患者给予口服阿司匹林治疗,次日行左侧颈动脉内膜剥脱术,术后患者恢复顺利。



图2. A、B. 头颅CT示前纵裂局灶性SAH,大脑前动脉动脉瘤可疑;C-F. DSA显示左颈内动脉近端粥样硬化所致高度狭窄(C),但未发现颅内动脉瘤和血管畸形(D-F);下面两排图像为头颅MRI-DWI相,示左大脑中动脉供血区多发弥散受限病灶。


作者指出,对于脑血管造影阴性的SAH,在鉴别诊断中应考虑栓塞性中风的可能性。可进一步行头颅MRI和颈部血管造影检查,或者在首次CTA或DSA检查时对颈部血管进行全面的评估,排查引起血栓栓塞的危险因素。

 

(浙江大学附属第二医院王勇杰编译;《神外资讯》主编、复旦大学附属华山医院陈衔城教授《神经介入资讯》主编、上海长海医院脑卒中中心兼神经介入中心主任刘建民教授终审


最新评论
发表你的评论
发表你的评论
来自于专栏
关键词搜索