
前言
发病24小时内的急性大血管闭塞患者,经临床评估及多模态影像学筛选符合现行循证医学标准者,均应接受血管内取栓治疗(Ⅰ类推荐,A级证据)。支架取栓与直接抽吸取栓技术具有相近的血管再通效率,但二者在操作原理及适用场景上存在差异,需根据患者血管解剖特点及病变性质个体化选择,因此基于影像及临床特征的精准筛选是治疗决策的核心环节。
本期“术”说卒中由长安医院的李博主任带来NeuroHawk颅内取栓支架联合WAVE-track颅内血栓抽吸导管治疗颈内动脉大脑中动脉M1段闭塞一例。
01
01
患者男性,40岁。
主诉:“全身乏力12小时”之主诉入院。
现病史:12小时前患者突发全身乏力麻木,伴言语不清,急诊头颅CT未见出血,DWI提示:右侧颞叶新近脑梗死;MRA提示:静脉溶栓后症状部分好转动脉粥样硬化改变;右侧大脑中动脉及分支未见显影。
既往史:高血压病史,未规律服药。
入院查体情况:神清,言语含糊。左侧肢体肌力III级,右侧肢体肌力IV级。NIHSS评分15分(意识水平提问1分,意识水平指令1分,面瘫1分,右上肢运动1分,右下肢运动1分,左上肢3分,左下肢3分;感觉2分,语言1分,构音1分)。
02
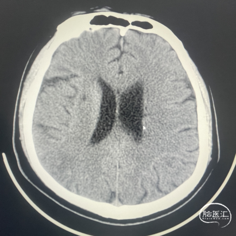
辅助检查:CT见右侧基底节区及右顶叶低密度病灶。
辅助检查:DWI:右侧大脑半球脑梗死灶;MRA检查:右侧大脑中动脉闭塞。
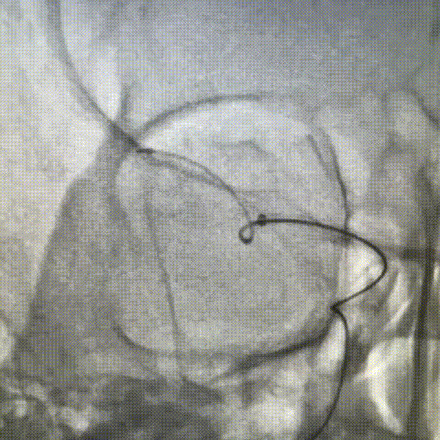
术前DSA影像:造影显示患者右侧大脑中动脉闭塞。
DSA—主动脉弓造影
右侧颈内动脉造影—M1段闭塞
03
初步诊断:右侧大脑中动脉闭塞。
手术方案:患者急性缺血性脑卒中诊断明确,发病到入院时间在4.5h内,因患者神经功能缺失明显,CT见右侧大脑中动脉M1段高密度征,MRA见右侧大脑中动脉闭塞存在,远端显影不佳,拟行脑血管造影及机械取栓术。
手术难度与风险评估:减少栓子逃逸,较少对穿支牵扯,预防高灌注综合征,尽量缩短开通时间。
药物准备:超窗患者,溶栓禁忌;术前阿司匹林肠溶片300mg、硫酸氯吡格雷300mg。
术中涉及器械
8F 导引导管
6F 125cm WAVE-track颅内血栓抽吸导管
0.021inch QUEEN-track微导管
0.014inch 200cm微导丝
4.0mm*25mm Neurohawk颅内取栓支架
04
1
穿刺及通路建立:
患者全麻后平卧位,双侧腹股沟区常规消毒、铺巾,取右侧腹股沟韧带中点下2cm处股动脉为穿刺点,采用Seldinger法穿刺成功,8F短鞘+8F导引导管置入右侧颈内动脉。
建立三轴系统,导引导管置于右侧颈内动脉C1段,6F 125cm WAVE-track抽吸导管置于眼动脉附近,QUEEN-track微导管在微导丝引导下越过闭塞段入M2上干。
2
微导管到位及微导管造影:
微导丝与QUEEN-track微导管越过血栓,通过造影确血栓远端位置、分支灌注情况,同时确认微导管在真腔内,证实远端通畅。
3
支架输送及定位:
经QUEEN-track微导管将4.0mm*25mm Neurohawk取栓支架输送至病变部位,直至支架远端显影超过血栓,定位时确保血栓位于支架有效长度的中后段。
4
支架释放:
固定支架推送杆,缓慢回撤微导管,释放Neurohawk取栓支架,微导管的头端必须撤至显影段远端露出。支架后程释放时,支架推送杆给张力的同时回撤微导管。Neurohawk取栓支架全身通体显影,可以通过3根显影丝,观察支架打开情况,支撑性较好。
WAVE-track颅内血栓抽吸导管上行至大脑中动脉M1段后,负压抽吸,抽拉结合,取出血栓。WAVE-track颅内血栓抽吸导管0.070inch大口径内腔,血栓抽吸能力强;管体近端PTPE,远端超柔软材料兼顾支撑性和到位性,易推送抗扭折。
5
取出的血栓:
6
术后造影显示血管开通:
术后CT:术后即刻CT,以及术后24h CT。
随访结果:
术后第一天:神志清楚,双侧瞳孔等大形圆,直径3mm,对光反射灵敏,左上肢肌力III级,左下肢肌力III级,NIHSS评分6分。
术后第五天:神志清,双侧瞳孔等大正圆,直径3mm,对光反射灵敏,左侧肢体肌力4+级,NIHSS评分2分。
治疗体会
超时间窗患者经综合评估,可考虑急诊开通闭塞血管,避免因代偿不足导致继发性梗死加重。
术中明确梗死部位及血栓负荷量,可依据病变情况选择抽吸、支架或球囊成形等治疗手段
选用适宜直径Neurohawk颅内取栓支架,取栓同时避免损伤血管。
应用支架中后部有效段,利于捕捉血栓,防止血栓逃逸。
可配合微创WAVE-track颅内血栓抽吸导管应用SWIM技术提高血栓取出成功概率。
术后标准双抗、控制血压,可降低再栓塞及灌注损伤发生概率。

术者简介
李博
长安医院
副主任医师
长安医院神经外科副主任
陕西省医师协会神经介入委员会成员
陕西卒中专科联盟成员
陕西省周围神经专业委员会委员
陕西省医学传播学会委员
-END-

声明:脑医汇旗下神外资讯、神介资讯、脑医咨询、Ai Brain 所发表内容之知识产权为脑医汇及主办方、原作者等相关权利人所有。