提示
前言
神经肿瘤是颅内常见病,主要包括神经上皮肿瘤、脑膜瘤、转移瘤及淋巴瘤等。从483期开始将刊发“第二轮神经肿瘤系列”,与同道共享,欢迎大家批评指正和交流讨论。
病史简介
诊治经过
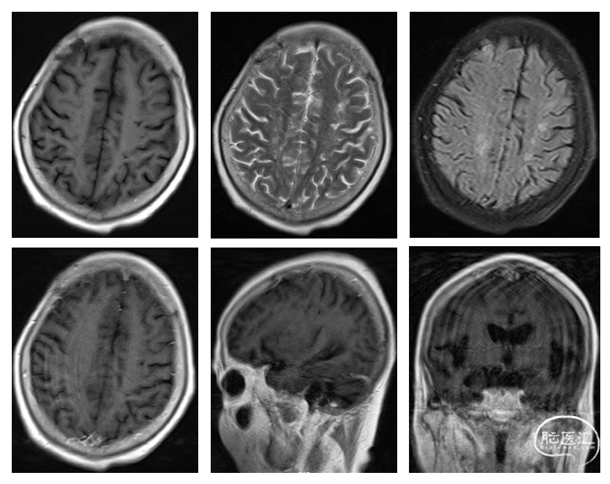
入院后进一步完善磁共振波谱(MRS)检查,提示:NAA明显下降,Cho轻度升高,Cho/NAA=2.20,Cho/Cr=1.68,MRS提示非肿瘤性病变(图1)。脑脊液NGS检测:脱髓鞘抗体阴性、EB病毒、副肿瘤及自免脑检测阴性。

因患者颅内病变性质不明,于2022年12月28日在全麻下行右侧额叶病变立体定向活检术。
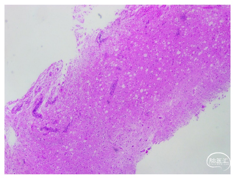
术后常规病理提示:血管内见单个散在或小巢团样聚集的单核异型细胞,免疫组化结果:CD20 +,CD79a +,PAX-5 +,CD3 个别+,CD5 个别+;CD68 +,CD163 +,GFAP 散在+,Olig-2 散在+,NF 部分保留,MBP -,IDH1(H09) -,ATRX 存在,P53 -,Ki-67 5%,SV40 -。特殊染色结果:变色酸2R 部分-,髓鞘(坚牢蓝) 部分髓鞘染色-,PAS -,PASM -,结合现有免疫组化结果,考虑血管内B细胞淋巴瘤(图2)。

手术1月后患者至血液内科进一步化疗,按照R-MTX(利妥昔单抗0.6g d0,MTX 6.2g d1)方案进行化疗1次,接着按照R-CHOP+MTX方案(汉利康600mg d0,MTX 6.2g d1,环磷酰胺1.3g d3,盖诺40mg d3,立幸50mg d3, 地塞米松15mg d3-7)化疗3次。化疗过程顺利,患者反应迟钝及走路不稳症状较前有所改善,复查头颅MRI提示颅内病灶较前缩小(图3)。恢复顺利后出院。出院后患者未定期随访,于2024年2月出现病情恶化,抢救无效死亡。

讨论
中枢神经系统血管内B细胞淋巴瘤(IVLBCL)是一种罕见的侵袭性非霍奇金淋巴瘤,约占所有淋巴瘤的1%,好发于老年人,中位发病年龄60-70岁,男女发病率无明显差异[1]。其临床表现复杂多样,缺乏特异性,主要与受累器官和组织有关。中枢神经系统是最常受累的部位之一,约50%-70%的患者可出现神经系统症状,如认知障碍、精神症状、癫痫发作、肢体无力、感觉异常、共济失调等[2]。本例患者以反应迟钝、走路不稳为主要表现,符合IVLBCL常见的神经系统症状。此外,IVLBCL还可累及皮肤、肺、肝、脾、肾等多个器官,出现相应的临床表现,如皮肤紫癜、结节、斑块,咳嗽、呼吸困难,肝脾肿大,肾功能不全等。
IVLBCL的影像学表现缺乏特异性,头颅MRI是最常用的检查方法。典型的MRI表现为脑内多发散在的病灶,可累及大脑半球、小脑、脑干等部位,T1WI呈等或稍低信号,T2WI及FLAIR呈高信号,弥散加权成像(DWI)呈高信号,提示病变区细胞密度增高,水分子弥散受限。增强扫描多表现为轻度斑片状、结节状或环形强化,强化程度一般较轻。部分患者可出现脑膜强化。MRS检查对IVLBCL的诊断有一定的辅助价值,通常表现为Cho/Cr比值升高,NAA/Cr比值降低,与其他脑肿瘤相似,但一般无明显的Lip峰[2,3]。本例患者头颅MRI表现为右侧小脑半球、双侧脑室旁及半卵圆区多发弥散受限信号,增强可见局部轻度斑片状强化,MRS提示非肿瘤性病变,影像学表现不典型,易误诊为其他脑部疾病,如脑梗死、脱髓鞘疾病等。
IVLBCL的病理诊断具有高度特异性,其核心特征为肿瘤细胞选择性局限于血管腔内,尤其是小动脉、毛细血管及静脉内,形成“血管内栓塞”样结构,而血管外间质及脑实质内通常无肿瘤细胞浸润(图4)。本例患者的立体定向活检组织学检查显示,血管内见单个散在或小巢团样聚集的单核异型细胞。肿瘤细胞核染色质粗糙,核仁明显,核分裂象易见,符合大B细胞淋巴瘤的形态学特征。此外,IVLBCL免疫组化特征:肿瘤细胞强表达CD20及CD79a,证实其B细胞起源,CD20的弥漫性强阳性是IVLBCL的关键诊断标志,也是利妥昔单抗(抗CD20单抗)治疗的靶点。近年研究提示,IVLBCL常伴MYD88 L265P突变及BCL2重排,与弥漫大B细胞淋巴瘤(DLBCL)的分子特征部分重叠,但其血管内生长模式可能与肿瘤细胞黏附分子(如CD54/ICAM-1)异常表达相关。本例未行二代测序,未来可结合分子分型探索个体化治疗靶点[3,4]。本例患者术后病理及免疫组化结果符合IVLBCL的病理特征。

IVLBCL的治疗目前尚无标准方案,多采用以化疗为主的综合治疗。常用的化疗方案包括CHOP(环磷酰胺、表柔比星、长春新碱、泼尼松)、R - CHOP(利妥昔单抗联合CHOP)、大剂量甲氨蝶呤(MTX)等。利妥昔单抗是一种抗CD20的单克隆抗体,可特异性地与B细胞表面的CD20抗原结合,介导细胞毒作用,从而杀伤肿瘤细胞。多项研究表明,R-CHOP方案联合大剂量MTX化疗可提高IVLBCL患者的生存率[5,6]。对于局限于中枢神经系统的IVLBCL,也可考虑联合放疗。
VLBCL的预后较差,中位生存期约12-18个月,主要与疾病的分期、治疗方案、患者的一般状况等因素有关。早期诊断、及时治疗是改善预后的关键。本例患者虽经积极化疗,但仍于发病后14个月病情恶化死亡,提示IVLBCL的预后不佳[5,6]。
结论
IVLBCL是一种罕见的、具有独特临床病理特征的淋巴瘤,临床表现缺乏特异性,影像学表现不典型,易误诊。对于老年患者出现进行性神经系统症状且影像学表现不能用常见疾病解释时,应高度怀疑IVLBCL的可能,尽早行脑组织活检明确诊断,及时给予有效的治疗。提高对该病的认识,有助于早期诊断和治疗,改善患者的预后。
参考文献
往期回顾
声明:脑医汇旗下神外资讯、神介资讯、神内资讯、脑医咨询、Ai Brain 所发表内容之知识产权为脑医汇及主办方、原作者等相关权利人所有。







