
右滑查看更多

01
病史介绍
患者:女性,44岁。
主诉:因“头晕发现颅内动脉瘤7天”入院。
入院查体:神志清,精神可,各颅神经正常,四肢肌力正常,各病理征未引出。
02
影像信息


03
术前讨论
颅脑CTA发现双侧颈内动脉C5段动脉瘤,形态不明确。
处理方案:给予口服双抗5天后,先局麻给予脑血管造影,根据结果给予制定相应的手术方案。
04
术中涉及介入器械
· Cook 6F-90 钢丝鞘×1枚
· 6F 115 Tethys®中间导引导管×1根
· Headway-17、Headway-21 各1枚
· 0.14-200 微导管×1枚
· 4*17 编织辅助支架×1枚
· Jasper®弹簧圈 5/10、4/8、3/6、3/6、2/4、1.5/3 各1枚
05
治疗影像





01
病史介绍
患者:女性,69岁。
主诉:因“突发头痛伴恶心呕吐12h”入院。
入院查体:双目紧闭,刺痛肢体可定位,无语言表达,双瞳孔等大等圆,约3mm,光反迟钝,四肢均可活动,脑膜刺激征(+)。
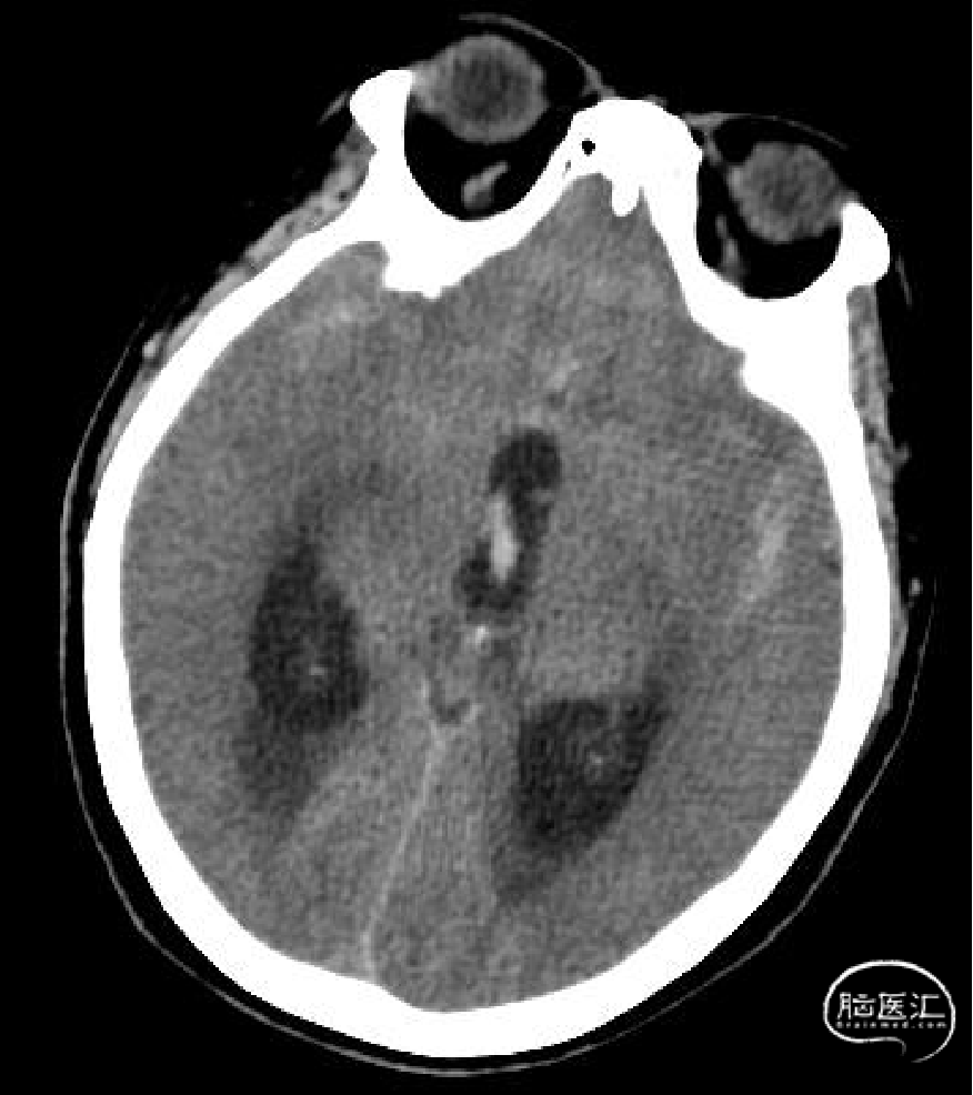
02
影像信息
颅脑CT检查显示为SAH,伴急性梗阻性脑积水。




3D造影。


03
治疗影像




“回马枪”技术虽然并不是栓塞颅内动脉瘤的一种常用的技术,但其在处理一些特殊的动脉瘤有着得天独厚的优势。
“回马枪”技术的塑形并不是单一的,可以根据需要灵活调整。
“回马枪”技术也可以辅助一些锐角分支的处理。
王亮
威海市立医院
威海市立医院神经外科主任,大学科行政主任,主任医师,硕士学位。
2003年在上海华山医院神经外科进修深造,2013年在齐鲁医院进行脑血管病介入治疗学习。
擅长神经外科各种疾病的诊治,在颅脑肿瘤方面进行了岩斜区脑膜瘤、颅咽管瘤、脑干后方四脑室大型室管膜瘤切除、与脑干粘连的大型神经鞘瘤的切除及桥小脑角区神经鞘瘤及脑膜瘤的切除。在脑血管病方面,分别在我院实行了左额叶功能区大型AVM的手术切除及小脑AVM的切除,手术效果良好。在颅内动脉瘤方面,能够完成各种前后循环动脉瘤的手术夹闭,独立完成各种动脉瘤的介入栓塞,目前每年独立开展颅内动脉瘤介入栓塞近百例。且在威海地区率先完成颈动脉内膜剥脱术,填补威海市在这方面的空白,达到省级医院先进水平。在脑出血方面,能够采用小骨窗开颅及微创手术灵活地治疗各种脑出血性疾病,手术效果好。近年逐步开展了椎管内肿瘤、三叉神经痛、面肌痉挛、癫痫DBS手术治疗,取得了良好的手术效果。
在省级以上杂志发表论文10余篇,完成科研项目5项,均达到国内领先水平并获得省市科技进步奖。
王雅栋
威海市立医院
首都医科大学宣武医院在读博士,正参与国家十三五计划的研究。
2006年毕业于青岛大学医学院,获得神经外科硕士学位。毕业后在威海市立医院从事神经外科工作,并于2012年在首都医科大学宣武医院神经外科血管组进修一年,期间参加过Yasargil显微吻合班及颅底解剖学习班。
擅长颅脑复杂动脉瘤、动静脉畸形、脑动静脉瘘及硬脑膜动静脉瘘的显微外科手术和血管内介入治疗,同时包括CAS、CEA、颅内动脉狭窄的介入治疗及急性大血管闭塞的拉栓取栓治疗,此外也擅长颅底的解剖及颅底肿瘤的切除。
第一作者发表SCI 2篇,中文核心期刊3篇。
特别说明:本页面所包含的文字、图片、音视频等内容仅供医学专业人士参考。本页面所包含的内容,仅为专家个人观点,不能代替医疗专业人士的判断。本页面不向非医学专业人士开放,敬请理解。


声明:脑医汇旗下神外资讯、神介资讯、脑医咨询、Ai Brain 所发表内容之知识产权为脑医汇及主办方、原作者等相关权利人所有。
投稿邮箱:NAOYIHUI@163.com
未经许可,禁止进行转载、摘编、复制、裁切、录制等。经许可授权使用,亦须注明来源。欢迎转发、分享。
投稿/会议发布,请联系400-888-2526转3。