
首都医科大学三博脑科医院神经外科刘方军、胡孟庆主任团队成功完成一例颞前部脑膜瘤全切+PEEK额颞蝶眶颧颅骨重建手术。
患者情况
薛某某,男,16岁,主因“发现左侧眶部肿胀伴眼球突出1月”于2025年2月入院治疗。

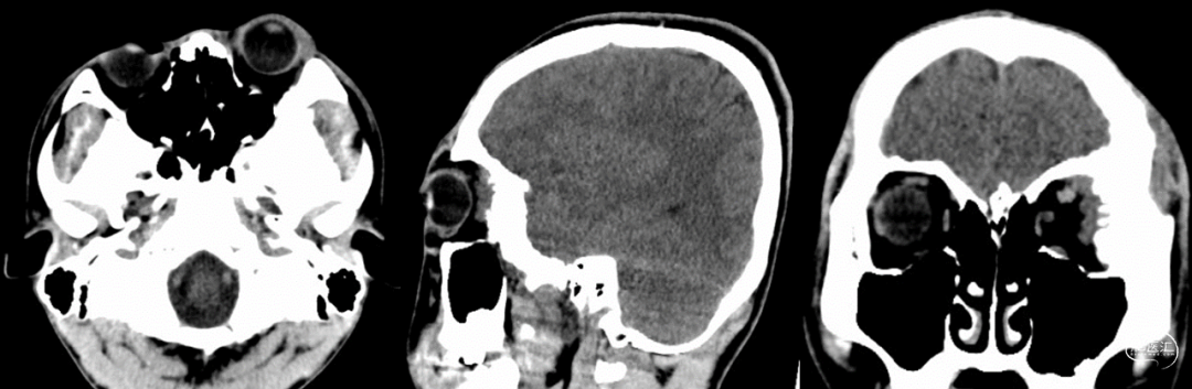
头颅CT组织窗(左侧眼球突出,左侧额颞蝶眶颧骨质增厚)

头颅CT骨窗(显示左侧额颞蝶眶颧骨质增生明显,部分骨质破坏)
病例特点

手术情况

术中PEEK颅骨修补(左),颞肌筋膜复位并保留颞浅动脉通畅(右)

术后肿瘤及增生侵蚀颅骨全切除

PEEK颅骨修补满意
本术式技术难点
术者简介
刘方军 主任医师
● 首都医科大学三博脑科医院神外三病区主任
● 中国非公立医疗机构协会神经外科专业委员会副秘书长
● 中国研究型医院学会脑血管病专业委员会青年委员
● 中国医师协会脑胶质瘤专业委员会委员
● 中国医师协会神经修复学专业委员会委员
● 以第一作者身份在核心期刊上发表文章15篇,其中SCI杂志1篇
● 完成卫生部重点学科课题《巨大动静脉畸形的手术治疗及并发症防治》
● 完成首都医科大学临床-基础课题《冠切开颅纵裂联合侧裂入路切除鞍区巨大颅咽管瘤的临床及解剖研究》
● 担任《脑室外科学》编写秘书,《脑肿瘤就医指南》编委
● 担任《中华脑科疾病与康复杂志》、《临床神经外科杂志》、《现代医药卫生》等杂志的审稿专家
● 参与临床项目《颌内动脉搭桥治疗颅内巨大,蛇形和巨肠性动脉瘤》,获得华夏医学科技奖三等奖
胡孟庆 副主任医师
● 长期作为首都医科大学三博脑科医院精品学习班“神经外科技术暨脑血管搭桥及神经吻合学习班””缺血性脑血管病血运重建学习班”“颈动脉内膜剥脱学习班”的指导教师,培训前来学习的全国青年神经外科医师
● 作为参与人员完成“华夏医学奖三等奖”获奖课题“颌内动脉搭桥技术治疗颅内复杂动脉瘤”以第一作者发表多篇SCI论文及中文核心期刊论文
● 目前主要从事于颅脑肿瘤及脑血管病的临床及科研工作。肿瘤方面主要针对:脑膜瘤、胶质瘤、听神经瘤、垂体瘤、颅咽管瘤等肿瘤的外科治疗。血管病方面主要是从事于颈动脉内膜剥脱术、烟雾病搭桥及贴敷治疗、动脉瘤夹闭术、三叉神经痛/面肌痉挛微血管减压术及缺血性脑血管病的血运重建治疗等。并开设“脑血管病加强恢复”特色门诊,主要通过外科手段治疗脑血管病引起的脑积水、脑膨出、颅内感染、肢体瘫痪、功能障碍等疾病

声明:脑医汇旗下神外资讯、神介资讯、神内资讯、脑医咨询、Ai Brain 所发表内容之知识产权为脑医汇及主办方、原作者等相关权利人所有。