
病例简介

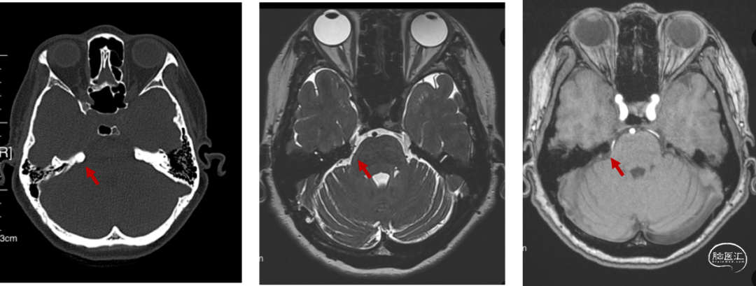
红色箭头显示为凸起的岩骨嵴
手术方法

结果
患者术后右侧面部疼痛完全消失,未出现面部麻木、听力下降等并发症。术后随访3个月,疼痛无复发。
讨论
结论
内镜辅助下三叉神经微血管减压术是治疗岩骨嵴遮挡三叉神经痛的安全、有效方法,具有视野清晰、操作精细、疗效确切等优点,值得临床推广应用。
专家简介
包映晖 主任医师
上海交通大学医学院附属仁济医院
● 医学博士,博士后,主任医师,硕士生导师,现任上海交通大学医学院附属仁济医院神经外科行政副主任和神经肿瘤组组长。中华医学会神经外科分会第八届委员会青年委员会委员,上海市医学会神经外科专科分会第十届委员会委员、青年委员会副主任委员
● 从事神经外科临床工作20余年,先后在美国迈阿密大学、德国雷根斯堡大学、美国Barrow神经外科中心等进修学习,擅长三叉神经痛及面肌痉挛的内镜微创手术,各种颅脑肿瘤和脊柱脊髓肿瘤等微创手术
● 以第一负责人获得国家自然科学基金资助和上海市科委基金多项,在国内外期刊发表论文60余篇,其中SCI论文30余篇,参编专著十余本,以主要完成人获上海市科技进步一等奖、教育部提名国家科技进步一等奖、中华医学科技奖二等奖,华夏医学科技奖二等奖,上海市科技进步三等奖,上海交通大学医学院医疗成果一等奖,上海市高校优秀青年教师等多个奖项
王宇 副主任医师
上海交通大学医学院附属仁济医院
● 现任上海交通大学医学院附属仁济医院神经外科颅底复合手术组副主任医师,中国医师学会神经外科分会神经内镜专业委员会全国委员,中国垂体瘤协作组专家委员会全国委员,中国中西医结合学会神经外科专业委员会全国青年委员和上海市分会委员,上海市垂体瘤研究中心专家组成员,中国医师协会神经内镜(仁济)培训基地副主任
● 从事神经外科临床医疗工作25年。目前专业化从事神经内镜下颅底微创手术工作。精通三叉神经痛、面肌痉挛等疾病的微创手术、各类型复杂难治性垂体腺瘤内镜治疗
兰津 主治医师
上海交通大学医学院附属仁济医院
● 医学博士,上海交通大学附属仁济医院神经外科主治医师
● 擅长三叉神经痛、面肌痉挛等经颅神经内镜微创手术,以第一负责人获得国家自然科学基金资助1项,上海市卫健委基金1项,发表SCI论文10余篇
声明:脑医汇旗下神外资讯、神介资讯、神内资讯、脑医咨询、Ai Brain 所发表内容之知识产权为脑医汇及主办方、原作者等相关权利人所有。









