
![]()
第1次住院情况
病情介绍:19岁女性,因“头部外伤后头痛、头晕11小时”急诊入院。
既往1型糖尿病病史、甲状腺功能减退病史,右眼糖尿病性视网膜病变行右眼玻璃体腔注药术术后1年。
查体:嗜睡-昏睡状态,精神差,刺激睁眼,简单应答,肢体活动简单从嘱。GCS13分。双侧瞳孔等大等圆,直径2.5mm,对光反射灵敏,伸舌欠合作。转头、耸肩欠合作,四肢肌力4级,肌张力正常,颈抵抗(+),双Babinski sign未引出。枕部可见约5*4cm皮下血肿,压痛,拒按。周身多发片状皮肤擦伤。颅脑CT:双侧额叶脑挫裂伤;右侧顶颞枕部硬膜外、硬膜下血肿;蛛网膜下腔出血;右侧颞骨骨折累及右侧人字缝、顶乳缝,右侧顶乳缝旁小骨片;头皮软组织损伤、局部皮下血肿;双肺挫伤可能。




因患者在病情观察期间意识状态变差,昏睡-浅昏迷状态,予以急症手术治疗,清除硬膜外血肿,鉴于术中脑组织压力不高,予以骨瓣回置,术后严格控制血糖水平,常规使用抗生素(头孢唑林钠)预防感染。

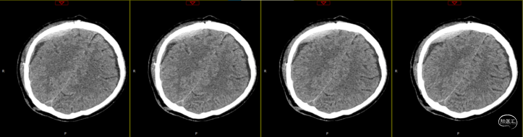
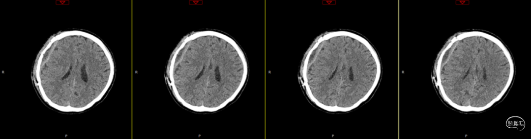
术后第1天颅脑CT复查(如上图)




![]()
出院后随诊期间情况


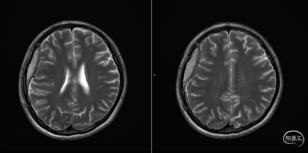
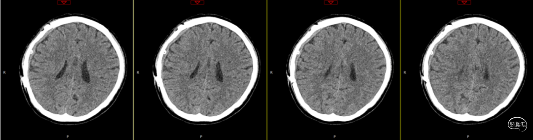
2024-07-21 08:58:55术后58天复查(如上图)。




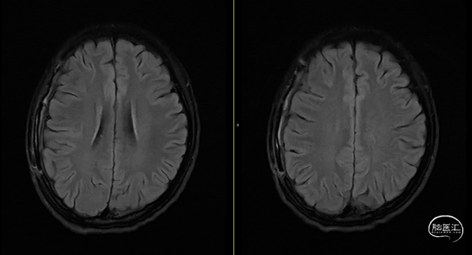
术后58天颅脑磁共振平扫(如上图):右侧额顶颞部见斑片状异常信号,呈片状T1WI低、T2WI稍高信号影,T2FLAIR呈稍高信号,边界清,右侧额顶颞叶脑组织受压,DWI(b=1000)呈混杂高信号,相应ADC呈混杂高信号影。
![]()
第2次住院情况
因患者局部头皮逐渐膨隆,且头皮疼痛,于术后89天再次入院。体查可触及头皮下异常物质存在,考虑头皮下积脓并硬膜外脓肿可能,患者无发热,血常规、C反应蛋白、降钙素原等感染指标均为在正常范围。


第1次术后88天,即第2次入院前1天复查(如上图),经反复沟通病情,病人及家属仍拒绝去除骨瓣清创手术,但同意进行手术清创。术中见右侧额部皮下炎性肉芽组织增生,伴有少量分泌物流出,骨瓣下见乳白色脓性分泌物,未闻及明显异味,收集脓性液体送细菌培养、涂片检查,局部硬膜增厚,较多炎性增生组织于局部硬脑膜黏连紧密,缓慢刮除局部异常增生组织后,低功率双极电凝行硬脑膜止血,骨瓣可见右侧额部外板局部被侵蚀,清理表面异物后,使用双氧水浸泡冲洗,并浸入碘伏液中消毒;彻底清除硬膜外、骨缘及右侧额部皮下增生异常组织,额顶部愈合不良刀口予以局部清创,反复使用双氧水及稀释后碘伏溶液冲洗创面,更换钛板及钛钉,还纳骨瓣并固定,皮下留置负压引流管1根,缝合逐层。术后使用万古霉素静脉抗炎治疗,留取术中脓性分泌物进行细菌培养及涂片检查(培养及检验均呈阴性)。


术中情况(如上图)。


第2次术后第1天复查颅脑CT资料(第1次术后92天)(如上图)。
再次手术后1周,换药时发现皮下积液,穿刺抽搐不凝血性液体6ml,送细菌培养及特殊细菌涂片,均阴性。




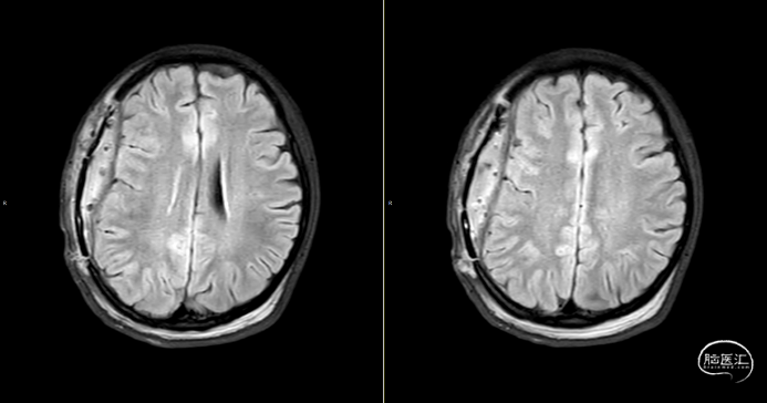
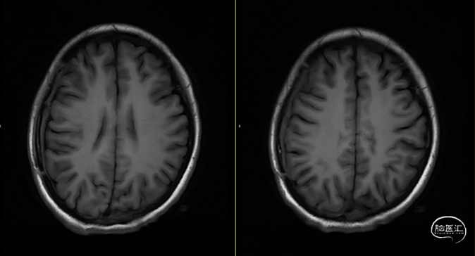
第2次术后12天,仍有间断头痛,刀口愈合可,复查颅脑MRI(如上图):右侧额顶颞部软组织稍增厚,右侧额顶部颅板下见条片状长T1、长T2信号,T2FLAIR呈稍高信号,边界清,DWI(b=1000)呈混杂高信号,相应ADC呈混杂高信号影,加用美罗培南联合万古霉素抗炎治疗。
![]()
第3次手术情况


第2次手术后第17天,行颅脑CT检查(如上图),科室讨论仍建议去骨瓣清创,但患者情绪波动明显,拒绝去骨瓣;经协商后行硬膜外脓肿置管引流术。术中根据术前规划,切开颞顶部部分头皮,高速磨钻经骨缘与骨瓣之间磨出骨孔及骨槽,可见骨缘硬脑膜增生,深部硬膜增厚,并伴有灰黄色粘稠脓性液体流出,无明显异味,使用无菌注射器收集脓液约7ml,备细菌培养等检查;置引流管于硬膜外,骨瓣下,反复使用温生理盐水冲洗至水清晰,接负压吸引,及引流袋;术后继续使用万古霉素及美罗培南联合抗炎治疗。术后每日使用万古霉素溶液冲洗硬膜外腔1次。
第3次术后第5天,增强病原微生物高通量基因检测(DNA)显示送检标本内检出表皮样葡萄球菌,未见其他细菌。



第3次术后第9天复查颅脑CT(如上图)。
第3次术后第11天,多学科会诊,停万古霉素及美罗培南,使用头孢曲松+多西环素口服治疗,同日停万古霉素冲洗硬膜外腔。




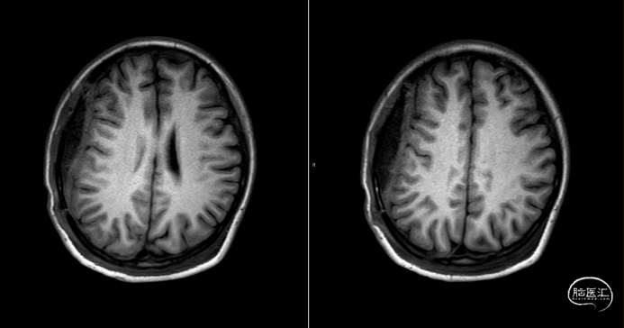
第3次术后16天,复查颅脑MRI(如上图),硬膜外及皮下异常信号较前明显减少,负压引流管引流不明显,拔除负压引流管,继续使用头孢曲松+多西环素口服联合抗炎治疗。


第3次术后23天,拔管后7天复查颅脑(如上图)。


第3次手术后49天,出院后2周复查颅脑CT情况(如上图),刀口愈合正常,患者回归日常生活、学习。
![]()
讨论
本病例报告了颅脑外伤合并1型糖尿病术后并发硬膜外脓肿的综合治疗方案。该病例的复杂性体现在多重病理生理机制的叠加:1型糖尿病导致的免疫功能障碍、颅脑手术创伤引发的局部屏障破坏,以及耐药菌感染风险增加。在此背景下,硬膜外脓肿的治疗需兼顾局部感染控制与全身代谢调节。
1
糖尿病与感染风险的交互作用
1型糖尿病患者的持续高血糖状态可通过多种机制加剧感染风险:①高血糖抑制中性粒细胞趋化及吞噬功能[1];②晚期糖基化终末产物(AGEs)损害血管内皮功能,阻碍抗生素局部渗透[2]。本病例中,患者术前HbA1c达12.7%,提示血糖控制欠佳,可能延长了硬膜外脓肿的病程进展。这一发现与Frisch等人的研究一致,证实HbA1c每升高1%,术后感染风险增加30%[3]。
2
局部与全身抗生素治疗的协同效应
采用万古霉素溶液硬膜外冲洗联合静脉给药的治疗方案具有双重优势:局部冲洗可使药物直接接触脓肿壁,突破血脑屏障限制,达到杀菌浓度(文献报道局部药物浓度可达静脉给药的10-20倍)[4];而静脉给药则能清除可能存在的菌血症。值得注意的是,硬膜外冲洗需严格控制浓度(建议≤5mg/mL),以避免化学性脑膜炎等神经毒性反应[5]。本病例采用万古霉素溶液(2mg/ml)每日1次冲洗,未出现神经功能恶化,与Chen等推荐的浓度范围相符[6]。
3
多重耐药菌感染防控的特殊考量
颅脑术后硬膜外脓肿常见病原体为金黄色葡萄球菌(包括MRSA)和革兰阴性杆菌[7]。本病例虽未获得细菌培养结果,但经验性选择万古霉素符合IDSA指南推荐[8]。对于糖尿病患者,需警惕生物膜形成导致的治疗失败,研究表明脉冲式冲洗较持续冲洗可提高生物膜清除率[9],这可能解释本病例选择间断冲洗方案的理论依据。
4
多学科协作的治疗价值
本病例成功的关键在于神经外科、内分泌科与感染科的协同管理:①动态血糖监测将空腹血糖控制在6-8mmol/L,既避免低血糖风险,又优化免疫微环境[10];②定期监测肝肾功能,平衡疗效与肾毒性风险[11];③通过MRI及颅脑CT扫描动态评估脓肿范围,指导引流管调整时机。
![]()
参考文献
1. Peleg AY, et al. Diabetes mellitus: Impact on acute inflammatory responses. Nat Rev Endocrinol. 2010;6(6):326-334.
2. Brownlee M. Biochemistry and molecular cell biology of diabetic complications. Nature. 2001;414(6865):813-820.
3. Frisch A, et al. Glycemic control and infections in postoperative period. Ann Surg. 2010;251(2):195-200.
4. Kulkarni AR, et al. Intrathecal vancomycin dosing. J Neurosurg. 2019;131(5):1567-1575.
5. Tunkel AR, et al. Practice guidelines for bacterial meningitis. Clin Infect Dis. 2004;39(9):1267-1284.
6. Chen CH, et al. Safety of intrathecal vancomycin*. Antimicrob Agents Chemother. 2013;57(5):1961-1965.
7. Darouiche RO. Spinal epidural abscess. N Engl J Med. 2006;355(19):2012-2020.
8. Tunkel AR, et al. 2017 IDSA Clinical Practice Guidelines for Healthcare-Associated Ventriculitis. Clin Infect Dis. 2017;64(6):e34-e65.
9. Azizi M, et al. Biofilm disruption in neurosurgical infections. Neurosurgery. 2020;86(5):E425-E434.
10. Umpierrez GE, et al. Hyperglycemia: An independent marker of in-hospital mortality in patients with undiagnosed diabetes. J Clin Endocrinol Metab. 2002;87(3):978-982.
11. Rybak MJ, et al. Therapeutic monitoring of vancomycin. Am J Health Syst Pharm. 2020;77(11):835-864.

声明:脑医汇旗下神外资讯、神介资讯、神内资讯、脑医咨询、Ai Brain 所发表内容之知识产权为脑医汇及主办方、原作者等相关权利人所有。






