一位饱受10余年癫痫发作摧残的年轻患者,长期多药治疗效果不佳,特地从壮乡富宁县赶来求医。在与复旦大学附属华山医院对口支援专家冯睿博士、神经外科李啟能主任和付志为医生进行了深入交流后,患方得知有机会通过手术治愈多年的癫痫顽疾,经完善脑电图等综合检查,最终决定在丘北县人民医院神经外科接受手术。这是继文山州首例癫痫外科手术之后的第二例癫痫外科手术。
丘北县医院神经外科团队首先完成了癫痫术前的多模态评估,包括发作症状学、脑电图和高清磁共振读片分析。
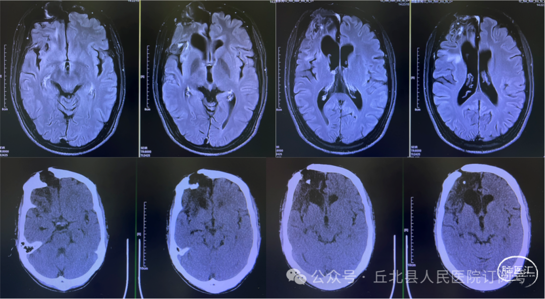
术前影像评估
术前脑电图
6月19日, 通过李啟能主任、冯睿博士、付志为医生以及洗手护士李海珠的协作互助,成功在显微镜下进行癫痫灶切除,并按计划进行包含软化灶在内的前额叶切除。手术顺利,切除范围达前颅底、脑室、中线结构等各解剖标准,妥善止血后,结束手术。
术中照片
患者术后即苏醒,次日拔除气管插管,转回神经外科监护室,隔日转回普通病房,无神经功能障碍。术后1天可进食进水,拔除脑室引流管后早期下床活动,术后2周左右出院。术后无癫痫发作,影像评估提示切除范围达到预期目标。出院后,需经过1年以上的药物治疗,如癫痫发作消失,患者可以选择逐步停药,最终治愈癫痫。
术后影像评估
在沪滇协作的帮扶机制下以及华山神外-丘北县医院党建共建的支持下,丘北县人民医院神经外科在功能神经外科方面取得了多项零的突破,已能够在当地开展癫痫外科、微血管减压等手术,真正造福了当地百姓。
随着本例手术的成功进行,中华社会救助基金会的脑病公益项目成功落地丘北县人民医院,相信在不久的将来,一定能够让更多的贫困患者获得救助。本批华山医院援滇医疗队的工作虽已接近尾声,但新一批医疗队即将接棒,华山-丘北的长期协作和情谊定将绵延不绝。
专家简介
冯睿 博士
复旦大学附属华山医院
复旦大学附属华山医院神经外科专业,中共党员
个人专长:微创神经外科手术治疗癫痫、胶质瘤、脑膜瘤、听神经瘤、面肌痉挛和三叉神经痛等颅神经疾病,以及立体定向微创活检手术;神经语言学、癫痫等功能性脑病及脑肿瘤的神经网络研究。

咨询更多癫痫问题、进入病友交流群,请识别下方二维码添加脑医咨询助手为好友,我们将为您提供帮助。