2025
随着2025年的到来,2024年下半年华山医院专家在上海市静安区中心医院的定期援助工作也已接近尾声。在协助静安区中心医院神经外科完成日常工作的基础上,援助专家冯睿协同顾昕主任、陈炜副主任医师成功完成了多项较高难度神经外科手术,实现了静中心神经外科的临床实力提升。定期工作期间,援助专家冯睿已联合我院医生完成了颞-岛叶肿瘤切除术、丘脑-基底节肿瘤切除术、脑室肿瘤切除术、小脑-脑干肿瘤切除术、运动区肿瘤切除术、癫痫外科手术以及疼痛手术等,患者均顺利出院,无严重并发症出现。
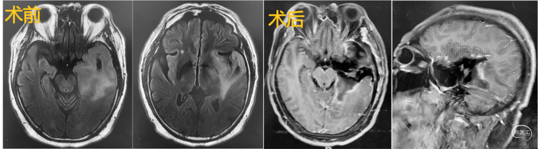
典型案例
1.基底节-丘脑-颞叶内侧肿瘤切除术
2.小脑-脑干肿瘤切除术
3.运动区肿瘤切除术
4.颞-岛叶肿瘤切除术
5.海马肿瘤手术
6.椎管肿瘤切除术

借助《静安区人民政府与华山医院深化合作协议》,上海市静安区中心医院作为『华山医院-静安』市内医联体单位,以及神经外科作为上海市神经外科临床能力促进与提升专科联盟单位,定期接纳华山医院专家来院开展工作。华山医院神经外科与静安区中心医院神经外科的合作医疗历史悠久,相信借助华山神外国家中心的国内领先学科力量,静安区中心医院神经外科必将迎来长期、持久的发展,方便周边群众就医,造福区域内群众。
专家简介
冯睿
复旦大学附属华山医院
复旦大学附属华山医院神经外科专业,中共党员
个人专长:脑肿瘤和功能神经外科手术
顾昕 主任
复旦大学附属静安区中心医院
复旦大学附属静安区中心医院神经外科主任
擅长:脑胶质瘤、脑膜瘤、垂体瘤、脊髓肿瘤、面肌痉挛、三叉神经痛、颅脑外伤脑出血、脑积水等的手术治疗。
专家门诊时间:每周三上午(微医,健康静安公众号,好大夫平台预约)
陈炜 副主任医师
复旦大学附属静安区中心医院
神经外科副主任医师,从事神经外科临床工作20余年,擅长对胶质瘤,脑膜瘤,椎管肿瘤等常见肿瘤的手术治疗。对颅脑外伤,脑出血后的颅骨缺损,脑积水,复杂感染等也有丰富经验。

咨询更多问题、进入病友交流群,请识别下方二维码添加脑医咨询助手为好友,我们将为您提供帮助。