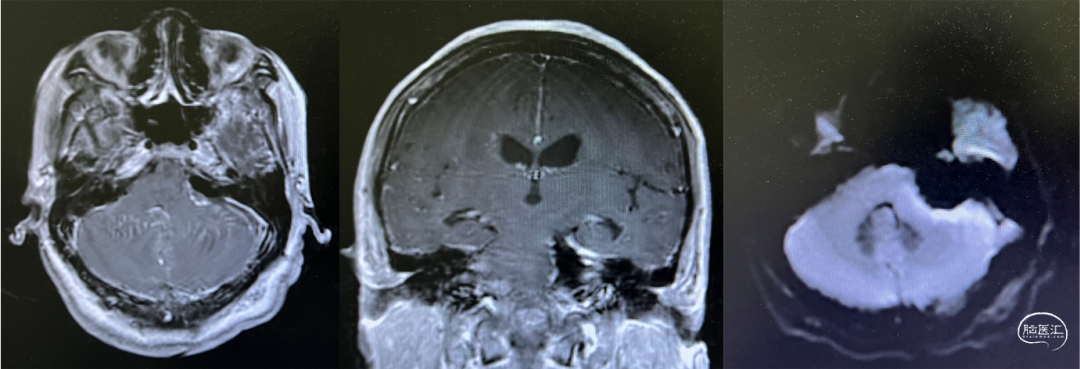
临近文山州庆假期前夕,由消化内科转诊,丘北县人民医院神经外科接诊了一例富血供的颅底脑干肿瘤患者。该患者有多年的头疼病史,本次住院,经头颅磁共振检查,发现了颅底、脑干区的巨大占位,脑干已明显受压变形,亟需手术治疗,并且强烈希望能够在丘北本地接受手术。
因疾病复杂,手术难度高,华山医院援滇医疗队冯睿博士组织了科内讨论,李啟能主任组织了全院的多学科讨论,以充分评估在县医院手术的可行性。拟进行充分术前准备(包括全脑DSA)后,在州庆假期结束后进行手术。
手术时间正值壮族传统节日“三月三”前夕,由冯睿医生主刀、付志为医生为一助,杨芳护士辅助,在无脑压板牵拉的显微操作技术下,充分显露肿瘤,逐步切除,同时利用电生理监测,实时保护神经功能。肿瘤与脑干和颅神经粘连极紧,在操作时多次出现心率下降,需要“抽丝剥茧”般的耐心,才能安全切除。最终,肿瘤达到全切除,颅神经、脑干功能和解剖结构均保存完好,电生理监测确认功能良好。妥善止血后结束手术。神经电生理监测由上海诺诚电气提供技术支持,术中进行了体感诱发电位(SEP)、运动诱发电位(MEP)、三叉神经监测、面神经监测等。手术总时间9小时,显微操作下肿瘤切除时间达6小时。
患者术后在手术室内即复苏、恢复神志,气管插管保留至次日拔除。患者术后第三日开始下床活动,并开始接受床旁康复治疗。磁共振复查提示,肿瘤全切除,脑干无缺血表现。
专家简介
冯睿 博士
复旦大学附属华山医院
复旦大学附属华山医院神经外科专业,中共党员
个人专长:微创神经外科手术治疗胶质瘤、癫痫、脑膜瘤、听神经瘤、面肌痉挛和三叉神经痛等颅神经疾病,以及立体定向微创活检手术;神经语言学、癫痫等功能性脑病及脑肿瘤的神经网络研究。

咨询更多脑肿瘤问题、进入病友交流群,请识别下方二维码添加脑医咨询助手为好友,我们将为您提供帮助。