听说过“藏在脑子里的淋巴瘤”吗?
——弥漫大B细胞淋巴瘤
原发性中枢神经系统淋巴瘤(PCNSL),是一种罕见的脑癌,就像个躲在大脑里的“隐形杀手”。它在所有脑肿瘤中只占 2%,在非霍奇金淋巴瘤(NHL)里占 4%-6%,算是淋巴瘤家族里跑去“单干”的一类。
90% 的PCNSL都是弥漫大B细胞淋巴瘤,属于淋巴瘤里的“主力军”。剩下的 10% 可能是T细胞淋巴瘤、低级别淋巴瘤或伯基特淋巴瘤,数量不多,但也不能小看。

⚠谁更容易得?
这家伙主要找成年人下手,而且年纪越大,风险越高。不过,和很多癌症不一样的是,它并不挑免疫力低下的人,身体好的人也可能中招。

典型症状有哪些?
大部分患者在几天到几周内,会出现突然而来的神经系统问题,比如头疼、视力模糊、认知障碍,甚至癫痫发作。相比于其他脑瘤,它很少慢慢发展,但如果病人用了糖皮质激素,情况可能会有所不同。
最喜欢攻击的地方?
超过 80% 的病灶会在大脑本体,但偶尔也会溜进眼睛(玻璃体视网膜)、脑膜或者脊髓,不过这种情况少见。
怎么才能发现它?
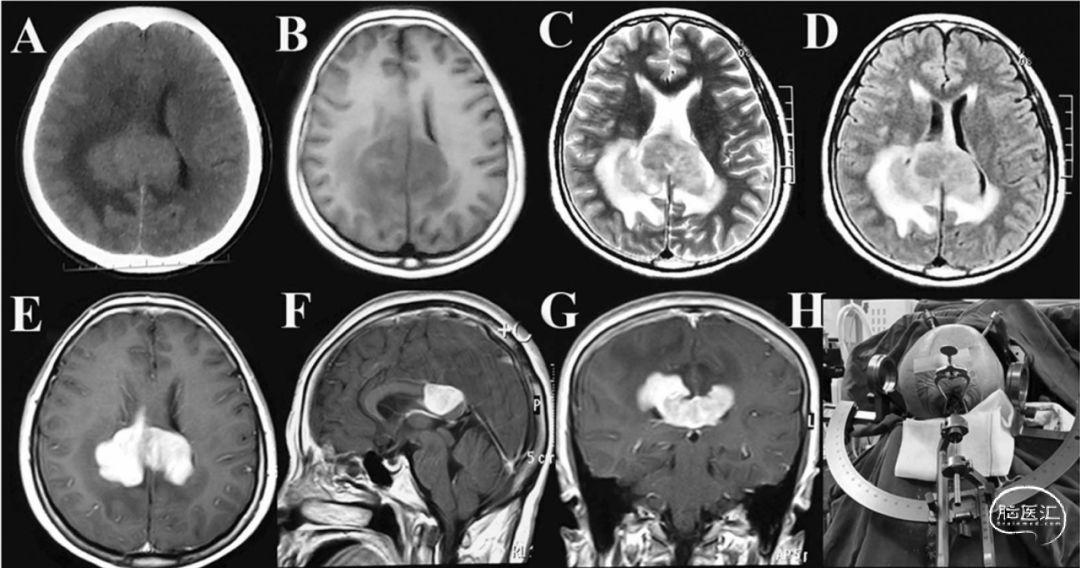
首选检查是增强MRI,如果肿瘤长在脑组织里,通常会表现为不规则、均匀增强、弥散受限的病灶,就像个在大脑里“发光的异物”。

确诊靠什么?
组织病理学检查是金标准! 也就是说,得取肿瘤组织来看才算数。如果可以做脑活检,建议尽早进行,尤其是还没用糖皮质激素之前,以免干扰诊断。
⚖️怎么和其他病区别?
这家伙的影像学表现和很多其他脑部疾病撞脸,比如胶质母细胞瘤、脑转移瘤、脑梗死、脱髓鞘疾病、炎症甚至感染。所以,单凭影像不能武断下结论,一定要靠病理检查确认!

总结一下!
✅ 这是一种少见但凶猛的脑淋巴瘤,大部分是弥漫大B细胞淋巴瘤。
✅ 好发于成年人,年龄越大风险越高,但免疫力正常的人也可能得。
✅ 病情发展快,短时间内出现神经症状,MRI有助于发现病变。
✅ 确诊必须做病理检查,影像学表现可能和其他疾病相似,不能单靠影像诊断!
这病虽然少见,但如果遇到,一定要快准狠地确诊,早治疗,别拖!

声明:脑医汇旗下神外资讯、神介资讯、神内资讯、脑医咨询、Ai Brain 所发表内容之知识产权为脑医汇及主办方、原作者等相关权利人所有。




