2024年术者在首都医科大学三博脑科医院院内外共手术治疗岩骨及颈静脉孔区肿瘤23例,神经鞘瘤11例(包括面神经瘤2例,舌下神经鞘瘤1例),脑膜瘤5例,颈静脉球瘤3例,内淋巴乳头状腺瘤2例,软骨肉瘤1例,腺样囊性癌1例。23例中岩枕入路7例,迷路下入路6例,乙状窦后入路4例,颞下窝入路3例,远外侧入路1例,颞下联合迷路下入路1例,颈部切口入路1例。

图1. 病例1-11术前核磁共振影像

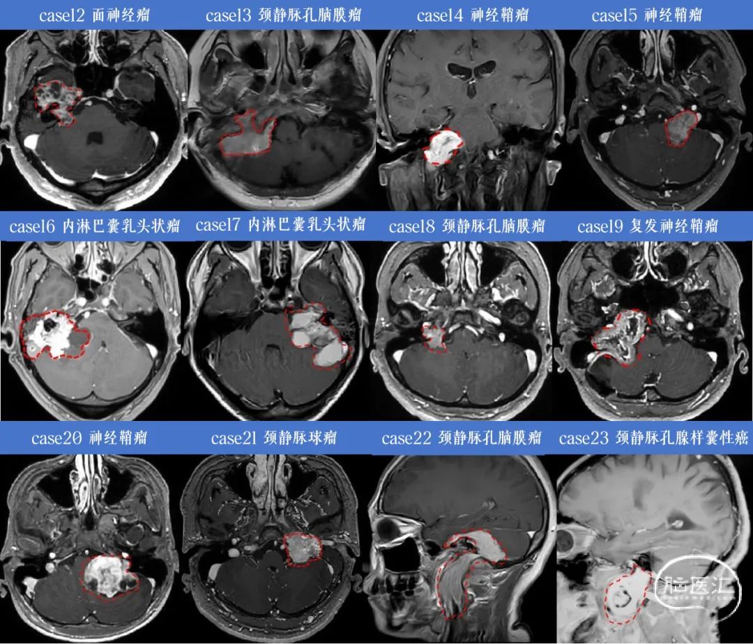
图2. 病例12-23术前核磁共振影像
病例11,女性,55岁,头痛半年,加重伴头晕半月。阳性体征:伸舌右偏。
肿瘤位于右侧枕大孔腹外侧经舌下神经管内外沟通,术前诊断为舌下神经鞘瘤,手术采用右侧远外侧经髁入路肿瘤切除术,术中于枕髁前方磨除部分枕髁及舌下神经管外壁显露肿瘤,先切除颈部及管内肿瘤,然后切除颅内部分肿瘤,肿瘤镜下全切,术后患者无新增神经功能缺损,术后复查头MRI肿瘤全切,三个月后复查舌肌萎缩有所恢复。

图3. 病例11术前核磁共振影像 增强核磁共振提示肿瘤位于枕大孔腹侧经舌下神经管颅内外沟通,右下角CT骨窗可见右侧扩大的舌下神经管
病例11手术视频

图4. 病例11术前术后核磁共振影像对比
病例19,女性,42岁,右侧颈静脉孔区鞘瘤术后11月,声音嘶哑8个月,右侧面瘫3个月。
患者11个月前因颈部不适检查发现颅内占位,在当地医院行枕下乙状窦后入路肿瘤切除术,术后复查提示肿瘤残留,复查发现肿瘤复发,因肿瘤巨大向颅内生长给于手术治疗。手术采取右侧岩枕入路肿瘤切除术,肿瘤镜下全切,术后症状同术前,目前术后1月余,面神经功能较术前有改善。

图5. 病例19术前核磁共振影像:肿瘤经颈静脉孔颅内外沟通,岩骨内肿瘤向岩尖方向侵袭
病例19手术视频

图6. 病例19术前术后核磁共振影像对比
● 主任医师,副教授,硕士研究生导师,神经外科博士
● 首都医科大学三博脑科医院神经外科二病区主任
● 行业任职:
中华中青年神经外科交流协会委员
北京医学会神经外科学青年委员会委员
医促会颅底外科分会青年委员会委员
海医会神经外科专业委员会颅底外科学组委员
中国临床肿瘤学会恶性黑色素瘤专家委员会委员
中国抗癌协会神经肿瘤专业委员会转移癌学组委员
中国抗癌协会胶质瘤专业委员会转移癌学组委员
中国抗癌协会神经肿瘤专业委员会第四届青年委员会委员
中国抗癌协会北京神经肿瘤专业青年委员会副主任委员
北京医学会神经外科分会智能化医疗开发和应用学组委员
北京医学奖励基金会肺癌青年专家委员会肺癌脑和脑膜转移协作组委员
● 专业特长:听神经瘤、垂体瘤、胶质瘤、脑膜瘤,颅内外沟通肿瘤,颅内转移癌等颅内肿瘤的诊断与治疗
● 主任医师,神经外科博士,留美博士后
● 首都医科大学三博脑科医院神经外科二病区副主任
● 1999于中国医科大学获临床医学学士学位
● 2003年于中国医科大学获神经外科硕士学位
● 2003年于中国医科大学附属盛京医院神经外科工作
● 2005年留学日本就读于日本浜松医科大学神经外科
● 2010年获得医学博士学位
● 2010年留学美国俄亥俄州立大学医学院神经外科做博士后研究工作。
● 2012年回国,在首都医科大学三博脑科医院神经外科颅底肿瘤病区工作至今,任颅底病区副主任。
● 长期从事神经系统脑肿瘤的临床和研究工作,在脑肿瘤诊断、手术治疗方面有丰富的临床经验。
往期回顾:
声明:脑医汇旗下神外资讯、神介资讯、神内资讯、脑医咨询、Ai Brain 所发表内容之知识产权为脑医汇及主办方、原作者等相关权利人所有。









