
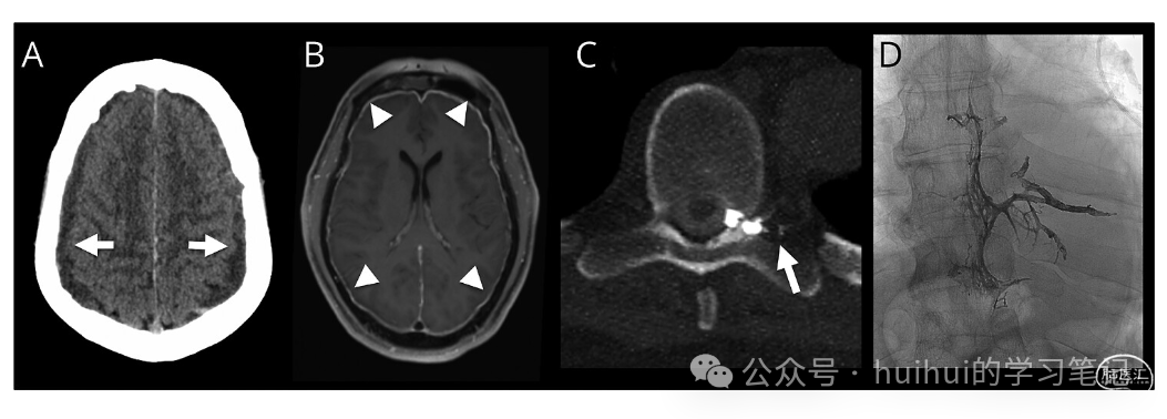
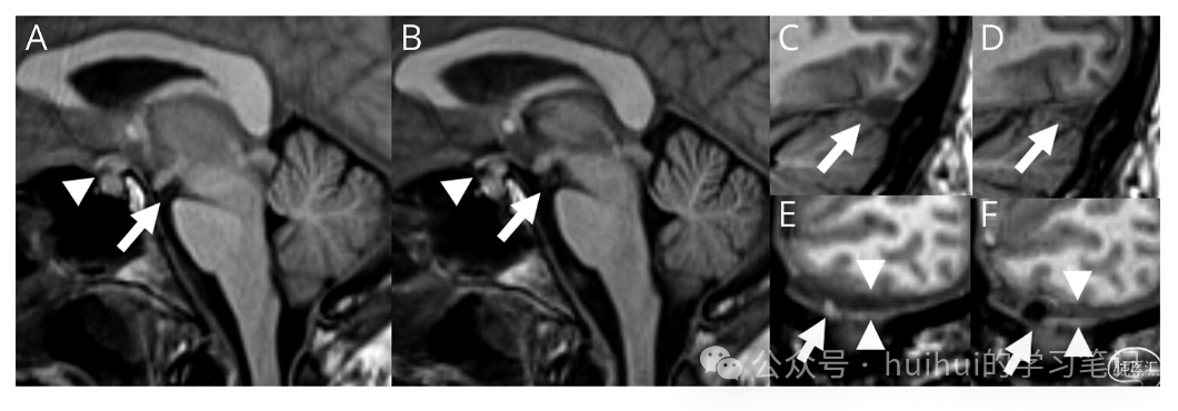
一名 65 岁男性出现 3 个月的每日直立性头痛和顽固性恶心,无外伤或出血素质。检查注意到右面部下垂波动,直立时唤醒减少,平躺时改善。头部 CT 显示双侧硬膜下积液,MRI 显示自发性颅内低血压 (SIH) 的柱头,包括脑下垂(图 1 和 2)。脊柱 MRI 显示小的神经周围憩室,无硬膜外液体。侧卧位动态 CT 脊髓造影1显示左侧 T8 CSF 静脉瘘(图 1C)。瘘管经静脉栓塞术(图 1D)导致第一天头痛、恶心和意识水平得到改善,位置神经功能缺损在 4 天内完全消退。48 小时重复脑部 MRI 显示脑下垂、静脉扩张和蛛网膜颗粒新出现明显改善(图 2)。治疗后数月通常可以看到 MRI SIH 结果的改善;然而,尚未很好地描述 48 小时内的快速改善。


自发性颅内低血压(SIH)是新发持续性头痛的重要原因在大多数患者中,潜在的原因是脑脊液泄漏,通常在脊柱水平脑脊液一旦进入硬膜外腔,就会被脊髓硬膜外静脉丛迅速吸收,在SIH的情况下,脊髓硬膜外静脉丛通常会最大程度地扩张。在常规影像学中,SIH未发现硬膜外静脉中存在造影剂,但静脉快速吸收的间接证据很常见,如CT脊髓造影显示肾收集系统中的造影剂或核池造影显示膀胱中示踪剂的早期活性。我们报告了使用数字减影脊髓造影(DSM)在SIH患者中直接csf -静脉瘘的放射学证明。DSM允许通过腰椎穿刺注射造影剂的实时高分辨率成像。
案例报告。案例1。一名52岁的女性指出,下半日头痛,颈部僵硬,肩胛间疼痛。神经系统检查正常。MRI显示硬脑膜增强及脑下垂。CT和磁共振(MR)脊髓造影显示多发胸椎囊肿,但未见脑脊液渗漏。脑脊液检查正常。卧床休息并不能缓解病情。DSM显示一个直接起源于左侧T-10囊肿的瘘管进入脊髓硬膜外静脉(图)。经皮注射纤维蛋白胶可缓解症状。
案例2。一名31岁的女性称她有直立性头痛、耳鸣和颈部僵硬。神经系统检查正常。MRI显示硬脑膜增强,脑下垂,垂体肿大。CT和MR脊髓造影显示广泛的脊髓腹侧硬膜外脑脊液收集。脑脊液检查正常。患者接受了多次硬膜外血贴,但症状持续存在。DSM显示T-2/3处腹侧脑脊液泄漏,患者接受手术修复,症状得到缓解。10个月后,症状复发,但CT脊髓造影未见脑脊液渗漏。DSM显示一个直接瘘管起源于左侧T-4神经根区域,进入脊髓硬膜外静脉(图)。腹侧脑脊液渗漏不再明显。手术时,硬膜外静脉扩张明显,发现左侧T-4神经根腋窝处有硬膜撕裂,并将其缝合,症状得以缓解。
案例3。一名48岁女性,体位性头痛、恶心、呕吐和颈部僵硬。神经系统检查正常。MRI显示硬脑膜增强及脑下垂。CT和MR脊髓造影显示广泛的脊髓腹侧硬膜外脑脊液收集。脑脊液检查正常。她接受了多次硬膜外血液补片,但症状持续存在。DSM显示T-5/6腹侧脑脊液泄漏,并与脊髓硬膜外静脉直接相通(图)。在手术中,硬膜外静脉扩张是显著的,腹部硬膜撕裂被修复,导致症状缓解。

病例1:数字减影脊髓造影(DSM)图像(A-C,正面投影)显示造影剂填充脊髓静脉(箭头)。
病例2:DSM图像(D-F,正位投影,G和H,侧位投影)显示造影剂填充脊柱静脉(箭头)和椎体基底静脉(箭头)。
病例3:DSM图像(I-K,正位投影,L和M,侧位投影)显示造影剂填充脊髓静脉(箭头)和腹侧脑脊液泄漏(箭头)。
在本报告中,我们证明了蛛网膜下腔和脊髓硬膜外静脉之间的直接瘘管,这是以前未报道的SIH发现。在3例患者中的2例中,瘘管为定位脑脊液泄漏部位提供了重要信息。事实上,MRI和CT脊髓造影并没有显示这2例患者脑脊液泄漏的任何证据。对于所有难治性SIH但常规脊柱成像不明确的患者,是否应考虑DSM仍有待确定。DSM通常用于快速脑脊液泄漏,MRI或CT脊髓造影显示为广泛的纵向椎管内硬膜外积液。DSM由于其固有的时间分辨率优势,可以可视化快速脑脊液泄漏。尽管相关风险相似,但该手术与常规脊髓造影在几个方面有所不同。我们发现最好的诊断信息是在患者处于麻醉和完全麻痹并屏气的情况下完成DSM,尽管其他人也报道了在没有麻醉的情况下取得了很好的结果。DSM技术需要在鞘内注射造影剂,以最大限度地提高成像效果,并允许屏气成像。DSM的辐射剂量略高于常规的脊髓造影,但低于常规的CT脊髓造影,因为脊髓造影后的CT成像不依赖于渗漏的显示。
既往有脊髓造影后医源性脑脊液静脉瘘的报道我们的病例表明,我们的案例表明针头对静脉的损伤对于建立这样的直接瘘管是没有必要的。硬膜外静脉扩张(SIH的常见脊柱影像学特征,2例手术修复脑脊液泄漏的患者证实了这一点)和蛛网膜颗粒(沿脊神经根可见)的存在可能导致自发性脑脊液静脉瘘的发生。
声明:脑医汇旗下神外资讯、神介资讯、神内资讯、脑医咨询、Ai Brain 所发表内容之知识产权为脑医汇及主办方、原作者等相关权利人所有。




