提示
前言
神经肿瘤是颅内常见病,主要包括神经上皮肿瘤、脑膜瘤、转移瘤及淋巴瘤等。从483期开始将刊发“第二轮神经肿瘤系列”,与同道共享,欢迎大家批评指正和交流讨论。
病史简介
患者,女性,42岁,因“右侧肢体无力1月,加重伴言语困难2周”入院。
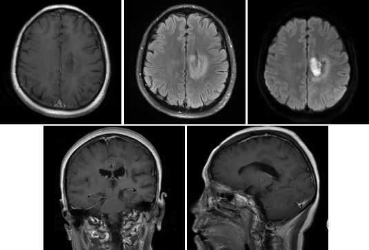
患者1月前无明显诱因下出现右侧肢体麻木无力,右手精细活动障碍,右腿无力,尚可搀扶行走,无头晕头痛,无恶心呕吐,无肢体抽搐等其他不适。遂至外院就诊,行头颅增强MR+MRS检查提示:左侧丘脑异常信号团影,胶质瘤考虑(图1),病灶区Cho/NAA=7.744,NAA/Cr=0.414,提示肿瘤性病变。患者于2周前在外院行病灶穿刺活检术,术后常规病理提示:弥漫性中线胶质瘤,伴H3K27改变,CNS WHO 4级,免疫组化示:GFAP(+),Olig2(+),IDH(-),ATRX(+),P53(+),H3K27M(+),CD34(-),Ki67(30%),H3K27me3(+/-),EMA(-)。近2周来患者右侧肢体麻木无力逐渐加重,并出现言语困难,遂到我院门诊就诊,拟“脑胶质瘤”收住入院。既往无殊。查体:神志清,精神软,言语障碍,语量少,词义性错语,双侧瞳孔等大等圆,直径3mm,对光反应存在,颈软,心肺腹查体未及明显异常,右侧肢体感觉减退,右上肢肌力0级,右下肢肌力III级,左侧肢体肌力V级,右侧Babinski征阳性,左侧阴性。

诊治经过
入院后复查增强磁共振,显示病灶环形强化,瘤内坏死(图2)。完善常规检查及相关检查排除禁忌后,于2023.05.13行磁共振引导下左侧丘脑肿瘤激光间质热疗术(MRgLITT)。

手术经过概述如下:患者头皮局麻后,安装头部定位框架,行CT薄层扫描获取定位参数信息。随后行全身麻醉及头架固定,将头颅CT图像与术前T1薄层导航MRI融合,确定左侧丘脑肿瘤为靶点,规划穿刺通道以避开脑内重要血管。常规消毒铺巾,立体定向框架确定进激光通道,以磨钻钻1孔,电凝烧破硬脑膜,固定颅骨基座钉,计算电极需植入的深度,硬质通条破入脑内形成通路后置入激光光纤并固定。后将患者转入术中磁共振室,取仰卧位,连接LITT机器、激光光纤端及水通路端,根据术前规划,分2次在MRI下及实时测温下激光消融左侧丘脑肿瘤灶,形成约3.5cm长、2.7cm宽的消融范围。术中再次行MRI增强检查,明确消融范围符合术前计划且未见明显活动性出血(图3),拆除激光光纤及颅骨基座钉,局部缝合穿刺口,术毕。术后第1天、第6天、第10天复查头颅CT提示左侧丘脑肿瘤MRgLITT术后改变,术区邻近脑实质水肿明显,未见明显活动性出血(图4);术后10天复查头颅MRI平扫提示左侧丘脑肿瘤MRgLITT术后改变(图5)。



术后常规予以减轻脑水肿、预防感染和预防癫痫等对症支持治疗。患者术后CT复查提示脑水肿和占位效应明显,予甘露醇100ml q6h静滴+地塞米松10mg qd静推+白蛋白静滴+呋塞米10mg q12h静推加强脱水降颅压治疗。术后12天患者情况稳定,转其他医院继续康复治疗。出院时患者神志清楚,遵嘱活动,言语困难较术前好转,右侧肢体肌力0级,左侧肢体无殊。
术后1月,患者恢复可,开始行TOMO刀放疗联合替莫唑胺5/28方案化疗,同时,患方自2023.06.23起在自主意愿下购买并使用试验性药物ONC201,以170mg×4粒 qw口服治疗。术后定期复查头颅增强MRI(术后3月、6月、12月、14月),提示左侧丘脑肿瘤MRgLITT术后改变,未见明显异常强化灶(图6)。患者于术后16月(2024.09.13)再次复查头颅增强MRI,见左侧丘脑肿瘤MRgLITT术后改变,左侧胼胝体体部增强病灶伴周围水肿,较前新发,考虑放疗野内肿瘤转移病灶(图7),患者言语困难明显。遂于当年9月底进行第二周期的TOMO刀放射治疗,期间联合替莫唑胺和ONC201口服治疗。2月后复查头颅增强MRI(2024.11.06,术后18月),见术区可疑环形强化,左侧脑室体部、后角旁多发转移灶,较前片强化范围增多增大(图8)。因考虑肿瘤复发,遂采用低剂量持续替莫唑胺化疗联合贝伐珠单抗300mg q3w治疗。2月后(2025.01.07,术后20月)再次复查头颅增强MRI,提示左侧丘脑肿瘤MRgLITT术后改变,左侧胼胝体体部及侧脑室体部旁病灶较前片缩小,周围水肿减轻(图9)。患者言语困难仍存在,右上肢肌力0级,右下肢肌力III级,左侧肢体肌力Ⅴ级,目前仍在持续随访中。





讨论
弥漫性中线胶质瘤,H3K27变异型(Diffuse Midline Glioma, H3K27-altered,DMG)是一种具有高度侵袭性且预后极差的原发性中枢神经系统肿瘤,通常累及丘脑、脑干和脊髓等中线结构。其特征性的分子改变为组蛋白H3.3(由H3F3A基因编码)或组蛋白H3.1(由HIST1H3B和HIST1H3C基因编码)的K27M突变,这种突变导致组蛋白H3的第27位赖氨酸(K)被替换为甲硫氨酸(M),进而破坏了H3K27的三甲基化状态(H3K27me3),这在免疫组织化学染色中表现为H3K27M阳性和H3K27me3的表达丢失1。根据世界卫生组织2021年发布的中枢神经系统肿瘤分类第5版(WHO CNS 5th),DMG被划分为儿童型高级别胶质瘤,WHO 4级,无论其组织学特征如何(可表现为类似成人IDH野生型胶质母细胞瘤的高增殖速率和坏死或无相应改变),表明了其生物学行为的恶性程度2。根据流行病学研究,该病患者的5年生存率通常不足5%,中位总生存期为9-12个月。尽管DMG主要发生于儿童,但符合诊断标准的成人病例并不少见,比例约占所有DMG病例的10%-15%,且成人的病程相比于儿童较长,可能具备更长的生存时间3,4。在本院病例中,该患者为42岁中年女性,肿瘤生长部位为左侧丘脑,且病理检测明确提示了H3K27M突变和H3K27me3的表达减低,这符合DMG的诊断,而不考虑IDH野生型胶质母细胞瘤(GBM)。尽管两者均为高度恶性肿瘤,但是在治疗方案选择和患者生存预后方面存在差异性。通常而言,GBM患者在接受最大限度的安全切除手术治疗联合放疗和化疗的标准治疗流程后(Stupp方案),中位总生存期为12-15个月,且对于MGMT启动子甲基化的患者,替莫唑胺(TMZ)化疗的获益会更显著5,6;而DMG的治疗方案受限于其位置的复杂性,手术选择有限,而除放疗外的其他治疗方案的获益尚未明确,部分原因是这种肿瘤较为罕见,缺乏足够的临床试验数据。此外,在这些肿瘤中,MGMT启动子通常未甲基化,这进一步限制了TMZ化疗的获益7。由此可见,如何进行DMG治疗方案的选择仍面临着充分的挑战,临床试验新疗法联合其他常规治疗或许能改善患者的预后。本院病例中,在充分阐述不同治疗方案选择和告知患者及家属对应获益与风险后,患方接受了MRgLITT对左侧丘脑肿瘤进行消融,并在术后一月开始接受常规放化疗。MRgLITT通过立体定向导航系统将激光纤维精准定位到病损区域,利用激光纤维释放高温引起蛋白质变性和组织凝固性坏死,并通过实时MRI和温度监控系统动态监测热量扩散范围,确保病变组织的有效消融,同时减少对周围健康脑组织的损伤(图10)8。MRgLITT早先已成熟运用于治疗药物难治性癫痫,特别是伴随海马硬化的颞叶癫痫患者,通过精准定位癫痫灶并进行热消融,显著减少了患者的癫痫发作频率并改善了生活质量9,10。随着技术的成熟,MRgLITT逐步扩展到中枢神经系统肿瘤的治疗中,包括复发性GBM、DMG、转移性脑肿瘤等。特别值得一提的是MRgLITT作为一种实时监控下的微创技术,为治疗难以进行手术切除的深部肿瘤提供了新的选择11,12。

本例患者的肿瘤位于丘脑,该区域解剖复杂,毗邻多种重要神经结构,包括内囊、基底节、视放射和丘脑枕等,这些结构与运动、感觉和视觉功能密切相关,手术操作可能导致严重的神经功能损害。根据Niu等人报导的回顾性研究,共102例成人丘脑胶质瘤患者(包含12例H3K27M突变病例)在采用不同入路(包括经胼胝体穹窿间入路、颞部经脑室入路、顶枕部经脑室入路和其他入路)的开颅手术治疗后,约有四分之一的患者在术后一周内出现轻微或严重的手术并发症,包括术后瘫痪或病情加重(25例,24.5%)、脑积水(11例,10.8%)、昏迷(6例,5.9%)、出血(4例,3.9%)、术后死亡(5例,4.9%)及其他(12例,11.8%)13。Ashwin等人评估了针对54例患者进行的共计58次LITT治疗的安全性和有效性,其中包括18次针对深层解剖结构区域(如丘脑、岛叶和胼胝体)的消融操作。有9次LITT治疗在术后30天内发生了并发症(15.5%),包括脑水肿(3例,5.2%)、癫痫(3例,5.2%)、脑积水(1例,5.2%)、低钠血症(1例,5.2%)、感染(1例,5.2%)和术后死亡(2例,3.4%)14。但是由于目前仍缺乏丘脑肿瘤开颅手术和MRgLITT治疗的直接对比数据,我们很难说MRgLITT在安全性和预后上一定优于开颅手术。本例通过完善头颅CTA和薄层导航MRI,并结合术中MRI完成了光纤通道规划、术区温度和消融范围的监测,肿瘤消融效果满意,同时避免了对重要血管的损伤,术中和术后均未见明显出血。即便如此,患者术后仍出现了明显的脑组织水肿和肢体肌力下降,而在最近一次随访时(2025.01.07),患者肢体肌力已恢复至术前水平。就本病例而言,脑水肿以及神经功能障碍是MRgLITT围手术期中需要重点关注和干预的并发症。参考Holste总结的MRgLITT治疗脑肿瘤的经验15,笔者认为有两点对于预后改善是有帮助的,一是进一步完善DTI检查,与定位使用的CT和导航MRI图像信息进行整合,这样可以减少LITT的热损伤阈值线与重要的神经传导束重叠,避免术后产生永久性的神经功能障碍;二是尽早干预脑水肿,本例中应用了糖皮质激素静推,人血白蛋白联合利尿剂加强脱水治疗。
本例患者在术后16月时复查发现左侧胼胝体部新发强化病灶,由于距离第一次放疗已有1年余,故考虑放疗野内转移灶,为肿瘤复发,同时截至最近一次随访(2025.01.07)本例患者已生存21月,当前的生存数据已超过多项研究的中位无进展生存期和中位总生存期,这些队列中包含了手术切除联合术后放化疗等多种不含LITT在内的不同治疗方案的生存数据16,17。这提示MRgLITT联合放化疗治疗DMG可能使患者的生存期有所获益。尽管目前仍缺乏足够的病例数据形成循证学证据,但是我们可以在其他类型胶质瘤的研究中看到希望。在高级别胶质瘤残留和复发中进行的多项研究以LITT作为主要治疗手段,治疗耐受性良好;且对于其他治疗方案难治和无法再次手术切除的复发GBM病例,LITT治疗可以延长生存期,与姑息治疗相比是获益的18。此外,本例患者自术后1月起开始长期口服试验性小分子药物ONC201, 其通过拮抗多巴胺受体D2,从而使AKT和ERK失活以及直接结合和激活线粒体酪蛋白溶解蛋白酶P实现对胶质瘤和其他实体肿瘤的临床前抗肿瘤效应19。Venneti等人近期的研究证实了DMG患者放疗后口服ONC201可显著延长非复发H3K27M-DMG患者的生存期,35例患者的中位总生存期为从诊断开始的21.7个月,其中有大量患者(30%)的生存时间超过24个月,而ONC201改变肿瘤细胞的表观遗传学和代谢特征引起H3K27me3表达增加是其靶向DMG的分子机制20。在本例患者复发后,随即补充了第二轮的TOMO刀放疗,并继续联合TMZ化疗,然而复查MRI提示肿瘤进展可能。参考欧洲神经肿瘤协会(EANO)的指南,对于复发或进展的H3K27M-DMG应始终考虑进行二次手术,但其临床效益可能仅限于能够达到完全切除的患者;可以采取替莫唑胺再暴露和硝基脲类药物治疗,但是对于MGMT启动子非甲基化的肿瘤疗效有限;可根据实际情况使用贝伐珠单抗(BEV)7。本例患者并未选择二次开颅手术或再次应用MRgLITT处理复发病灶,而在放化疗的基础上加用了BEV,同时继续维持ONC201的口服剂量治疗。而最近一次复查的增强MRI检查提示强化病灶的缩小或许是一个令人欣喜的结果,然而这也可能是BEV的使用掩盖了真实的肿瘤进展21。因此,我们需要对本例患者进行持续的随访以评估MRgLITT联合多种治疗对该患者个体的生存预后获益情况,以期为治疗该类疾病提供临床数据。
参考文献
往期回顾
声明:脑医汇旗下神外资讯、神介资讯、神内资讯、脑医咨询、Ai Brain 所发表内容之知识产权为脑医汇及主办方、原作者等相关权利人所有。







