患者男,50岁,于半月前脑梗塞在康复治疗。以病情加重"言语不利,嗜睡,四肢无力6小时"转我科。
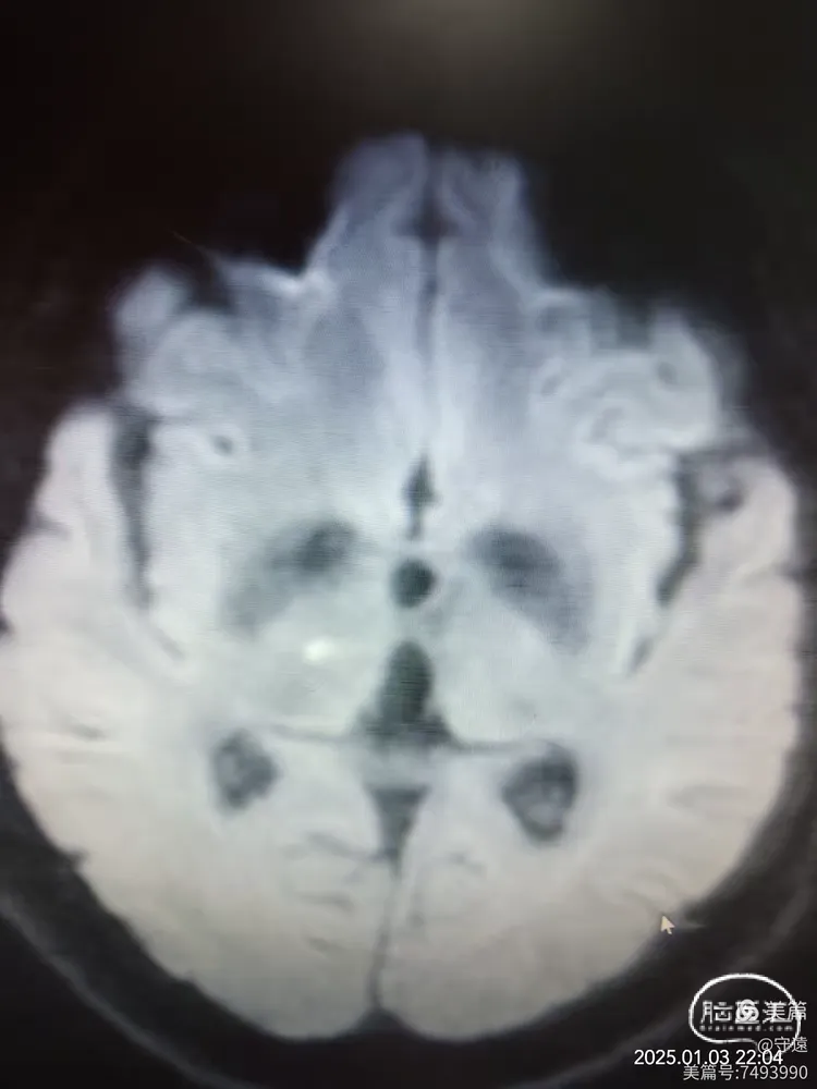
核磁显示:双侧桥臂,右侧丘脑梗塞。
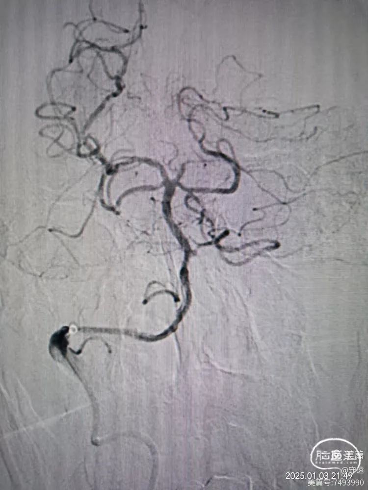
MRA示:双椎动脉、基底动脉中下段未显影。
DwI示双侧桥臂高密度影




右侧丘脑梗塞

双侧椎动脉及基底动脉中下段末显影影,左侧后交通向基底供血。


经桡动脉造影:左侧椎动脉起始终部中度狭窄。向颅内供血缓慢,v4段闭塞。

右侧椎动脉为优势椎,血流迟滞,V2以远未显影,考虑V4 闭塞。


右侧椎动脉顺应,更换6F动脉鞘经桡动脉入路行基底动脉开通。
泥鳅导丝导引6FGT68血栓抽吸导管,泥鳅导丝不出头,内芯支持抽吸导管到达V3段。
踹马桶抽吸出小块硬质血栓。

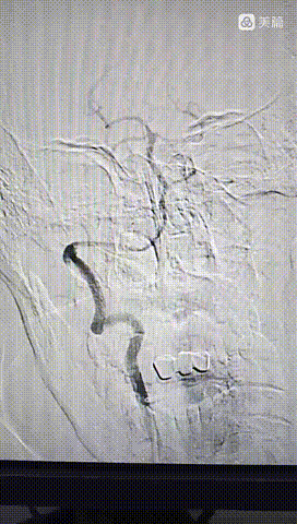
微导管造影显示Ⅴ4狭窄。
微导丝携带2.5*15mm球囊在V4~基底动脉下段扩张。




撤出球囊血管,造影显示再次闭塞,考虑夹层或回弹可能。

球囊穿梭:跟进抽吸导管至狭窄部位,再次输送球囊至狭窄部位。球囊半含状态下再次在7个大气压下扩张。


撤出球囊,踹马桶抽吸出暗红色血栓。

微造影显示:血管再通

回撤导管至V3段造影,狭窄不明显,血流通畅。


回撤至椎动脉起始段造影血流通畅,左侧大脑后似有少量血栓逃逸,推注替罗非班10mL,结束手术。



术后情况:术后患者生命体征平稳,瞳孔等大等圆,言语含糊,四肢活动可。
术后管理:给予依达拉奉佑莰醇、甲强龙、纳络酮脑保护、替罗非班抗血小板聚集、脱水防止脑水肿。

术后12小时情况:
患者可按指令动作,言语障碍,左侧下肢力弱,生命体征正常。复查CT:双侧桥臂浅淡低密度影,与术前核磁大致相同,无出血征像。中脑、延髓区域未见明显梗塞。
术前核磁与术后12小时CT检查对照





1.文献复习:
桥臂又称小脑中脚(middle cerebellar peduncle,MCP),连接脑桥和小脑,是3对小脑脚中最大者,是连接大脑皮质和脑桥、小脑的中继站。
由脑桥基底部对侧脑桥核发出的脑桥小脑纤维构成,是联系脑桥与小脑的联系通路,主要由小脑前下动脉(AICA)支配,小脑上动脉(SCA)也参与部分供血(图1)。
桥臂区侧支循环较丰富,很少发生孤立的桥臂梗死,以往文献报道其仅占急性脑梗死的0.12%,孤立的双侧梗死临床更为少见。

2.双侧大脑脚梗死影像学犹如米老鼠两只耳朵,称之为“米老鼠耳征."
桥臂梗死隶属于AICA(小脑前下动脉)综合征,可表现为一种或多种临床症状,脑神经受累主要为Ⅴ、Ⅶ、Ⅷ对脑神经。
临床表现为眩晕、行走困难(小脑共济失调)、构音困难(言语断续)、部分表现耳鸣、双耳听力下降、周围性面瘫 及Horner综合征,应尽早行头颅MRI+MRA检查。



3、本例患者双侧V4段闭塞,小脑前下动脉(AICA)支配,小脑上动脉(SCA)缺血导致。
4、本例患者双侧椎动脉及基底动脉均闭塞性改变,使双侧桥臂及双侧大脑脚支配区血流灌注不足,导致双侧桥臂及大脑脚急性梗死,故推测病因机制为血管慢性闭塞和低灌注共同参与。
5.此患者基底动脉闭塞未引发严重梗死的原因考虑是:后交通动脉代偿闭塞以远基底动脉供血区血流。
4.开通基底动脉恢复血流。经GT68抽吸导管抽吸清理V3~V4滞留血液或血栓,球囊扩张后再次闭塞,可能为扩张出现夹层。
跟进抽吸导管至狭窄部位,球囊半含扩张后血管再通。


作者简介
赵宝元 主任医师
武威市中医院 神经内科
主任医师。 武威市中医医院脑病科主任。甘肃省陇原人才,武威市中医院脑血管介入团队学科带头人,武威市脑血管介入与卒中早期康复创新工作班组组长。 从事神经内科工作20余年,曾在兰大二院进修神经内科和急诊,中国人民解放第940医院神经内科高级卒中中心、陆军军医大附属新桥医院高级卒中与介入中心学习脑血管介入。 任武威市老年病专业委员会主任委员、武威市中西医结合神经内科专业委员会副主任委员、武威市中西医结合眩晕专业委员会副主任委员、武威市神经内科学会常务委员、甘肃省脑血管专业委员会委员。 开展脑出血微创锥颅引流近500余例,经桡动脉脑血管造影500余例,开展急性脑梗塞血管内机械取栓,动、静脉桥接、颈内动脉狭窄、椎动脉狭窄、锁骨下动脉狭窄或闭塞的血管支架成形术。
![]()
声明:脑医汇旗下神外资讯、神介资讯、神内资讯、脑医咨询、Ai Brain 所发表内容之知识产权为脑医汇及主办方、原作者等相关权利人所有。







