
今天为大家分享由温州市中心医院神经外科朱再军医师、陈献东主任医师、戴君侠副主任医师、孙军教授带来的左侧颞叶胚胎发育不良性神经上皮肿瘤病例分享,欢迎阅读、分享!
一
病史简介
患者基本信息:男性,24岁。
临床表现:
查体:神志清,语言欠流利,认知功能下降,两瞳孔等大等圆,直径约3.0mm,对光反射灵敏,两侧额纹对称,鼻唇沟对称,听力粗测正常,伸舌居中,颈软,四肢肌张力无增高或降低,肌力V级,全身痛触觉正常。
二
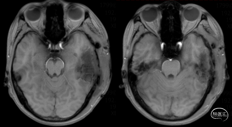
诊疗经过
辅助检查:
术前头颅MRI:左颅内占位术后,左颞叶混杂信号团块。



诊断:左侧颞叶肿瘤术后复发,继发性癫痫。

三
术后情况
01
术后病情变化
02
术后影像
术后即刻头颅CT:



03
病理结果
04
出院情况
05
随访
四
病例讨论
发生率:
临床表现:
影像学表现:
1.CT:低密度影,占位效应不明显,可见明显钙化。
治疗:
胚胎发育不良性肿瘤分为Ⅰ型、Ⅱ型和Ⅲ型[2]。
①Ⅰ型:肿瘤仅累及单个脑回。单脑回病变予完整切除。
②Ⅱ型:肿瘤累及多个脑回、脑叶。分块切除,如病变累及功能区则部分保留,术中在脑电图监测下行扩大脑叶切除。
因此,识别这种肿瘤具有治疗和预后意义,因为可以避免进行积极治疗,使年轻患者免受放疗和化疗的长期有害影响[4]。
![]()
参考文献:
01
作者简介
02
术者简介
03
审阅校对
戴君侠
温州市中心医院神经外科副主任医师、博士,温州市医学会血管外科分会青年委员,温州市卫健委雄鹰培养计划培养对象,温州市医坛新秀。擅长:出血性及缺血性脑血管病的微创治疗,脑肿瘤、椎管内肿瘤的显微手术治疗、神经内镜手术治疗等。
04
指导专家
孙军
温州市中心医院脑科中心主任,硕导,国务院特殊津贴获得者,2级主任医师。
学术兼职:
国家重点专科建设单位学科带头人;
浙江省区域专病中心学科带头人;
温州市脑血管病质控中心主任;
浙江医学会神经外科学会常务委员兼神经介入组组长;
浙江省卒中学会常务理事兼神经外科副主任委员;
浙江省医师协会神经介入专委会副主任委员、神经外科专委会常务委员;
中国医师协会神经外科分会神经介入委员;
国家卫健委卒中中心管理委员会委员;
中国康复学会脑血管病介入治疗与康复专委会副主任委员;
教育部学位评审专家;
国家药品监督管理局医疗器械技术审评中心专家;
中国临床神经外科杂志、温州医科大学学报、心脑血管病防治编委。
05
科室介绍


点击二维码,前往温州市中心医院 神经外科科室主页
查看更多精彩内容
声明:脑医汇旗下神外资讯、神介资讯、神内资讯、脑医咨询、Ai Brain 所发表内容之知识产权为脑医汇及主办方、原作者等相关权利人所有。











