
前言
血流导向密网支架的出现为颅内动脉瘤传统的瘤内栓塞提供了新的理念,治疗策略转至重建载瘤动脉并促进动脉瘤的愈合。通桥麒麟FD是国内首款远端闭合设计的密网支架,由铂金芯镍钛丝编织而成,通体显影,近远端各3个显影点,3.5mm及以下直径规格可通过21系列微导管释放。为临床治疗颅内动脉瘤提供新的方案。
本 / 期 / 病 / 例
患者基本信息
患者:女性,48岁。
主诉:因阵发性头晕、头痛3天,伴恶心数次,由门诊于2024.10.28 08:30收住入院。
现病史:患者及家属诉患者3天余前无明显诱因出现头晕、头痛,以前额部疼痛为主,呈再发性,每当起床体位改变后症状明显,感恶心,无呕吐,休息后可缓解,无吞咽困难、饮水呛咳、肢体活动不灵,无心悸、胸闷、胸痛及呼吸困难,无腹痛、腹泻、黑便及大小便失禁、昏迷、抽搐等。现为求进一步诊治,自行至我院门诊就诊。门诊遂以“头晕、头痛查因”收住我科。
既往史:“脑梗死”病史多年,自诉规律服用“阿司匹林”,未遗留明显神经系统功能障碍,具体不详;多年前枕部受伤病史,遗留左眼睑下垂症状(具体不详)。否认“高血压、糖尿病、心脏疾病、精神疾病”病史;否认“肝炎、结核、疟疾、伤寒”等传染病病史;否认食物、药物过敏史;否认其他重大外伤、输血史、手术史;新冠疫苗接种史不详,其余预防接种史不详。
查体:T 36.8℃,P 61次/分,R 19次/分,BP 136/76mmHg,SpO2 98%。自主睁眼,言语清晰,四肢自主活动,查体合作,GCS评分15分。双侧瞳孔等大等圆,对光反射存在。左眼睑下垂,睁眼稍受限,口角无歪斜,伸舌居中,无吞咽困难、饮水呛咳。颈软,无抵抗。肺气肿征阴性,双肺呼吸音清晰,双肺未闻干、湿性啰音。心浊音界正常,心率 61次/分,律齐,心脏各瓣膜区未闻及病理性杂音。腹软,无压痛、反跳痛及肌紧张。四肢肌力、肌张力均正常。生理反射存在,病理反射未检出。
辅助检查:2024.10.10 13:46:14 我院颅脑+颈椎CT:1、C3/4、C4/5、C5/6椎间盘突出;2、颈椎退行性变;3、颅脑CT平扫未见明确异常。
检验报告:


影像信息
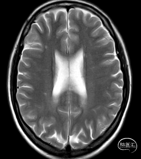
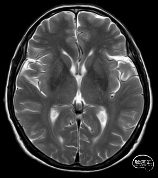
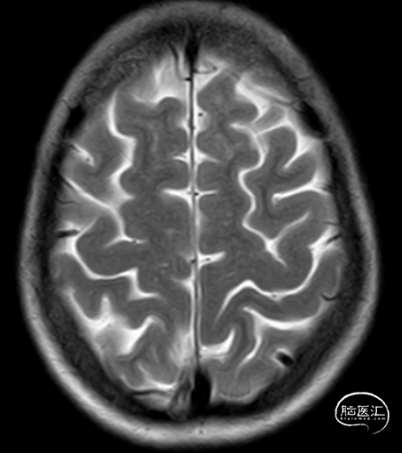
头颅MRI平扫



头颅MRA


头颅MRI+MRA提示
入院诊断
1、右侧颈内动脉床凸段及眼动脉段动脉瘤?
2、脑梗死后遗症;
3、C3/4、C4/5、C5/6椎间盘突出;
4、颈椎退行性变;
5、脑动脉硬化;
6、脑白质病变。
脑血管造影
3D-DSA检查



术前诊断
1、右侧颈内动脉床突段动脉;
2、右侧颈内动脉眼动脉段多发动脉瘤;
3、脑梗死后遗症;
4、C3/4、C4/5、C5/6椎间盘突出;
5、颈椎退行性变。
术前讨论
方案一:保守治疗,继续药物治疗,暂不手术,动态复查。
方案二:开颅动脉瘤夹闭术。
方案三:双抗三天后行普通支架+弹簧圈栓塞术,术后双抗3月,根据复查情况改用单抗。
方案四:双抗三天后行密网支架植入术,术后双抗6月,根据复查情况单抗6月。结合造影血管情况通路选择经股治疗。
术中器械
手术过程
术前造影测量血管直径及长度,选择合适的密网支架。


8F血鞘组、6F 90cm 长鞘、125cm多功能造影管、亲水涂层泥鳅导丝以及5F 115cm 颅内支持导管建立治疗通路,选择合适工作角度,微导丝引导0.027" 支架微导管到位。
根据测量血管直径大小及长度,将0.027" 支架微导管置于大脑中动脉,推拉结合,将通桥麒麟™血流导向密网支架 3.5*20mm头端释放,泄支架微导管张力后,将支架后撤至大脑前分叉处,逐步释放支架到一半定位,观察是否覆盖大脑前动脉分叉。
确定位置可,未覆盖前分叉处,支架位置及形态可,贴壁良好,半释放通桥麒麟™血流导向密网支架 。
通桥麒麟™血流导向密网支架完全释放后造影,支架贴壁良好,位置可。
通桥麒麟™血流导向密网支架完全释放后,微导丝塑型,成攀按摩支架,使支架贴壁更佳。
通桥麒麟™血流导向密网支架完全释放,造影示动脉瘤内造影剂滞留明显。

通桥麒麟™血流导向密网支架完全释放,全脑血管造影。
术后情况
术后意识清楚,四肢肌力正常,言语功能可。
术后给予阿司匹林+氯吡格雷+瑞舒伐他汀治疗。
术后第7天正常出院。
术者简介
徐刚
华宁县人民医院
华宁县人民医院神经系统疾病科科主任,主治医师。
擅长重症医学急危重症处理、呼吸机使用、气管插管、气管切开术、支气管镜肺泡灌洗术、胸腔闭氏引流术、深静脉置管术;擅长神经外科常见病及多发病诊治、脑外伤开颅手术、高血压脑出血开颅血肿清除术、脑出血颅内血肿微创碎吸术、侧脑室穿刺引流术、脑膜瘤切除术、chair畸形减压术内固定术、颅骨缺损修补术、脑室腹腔分流术、慢性硬膜下钻孔引流术、神经介入脑血管造影、颅内动脉狭窄球囊扩张支架植入术、颅内动脉瘤支架辅助栓塞术及外周血管介入治疗等手术。
2019玉溪市人民医院神经外科及重症医学科进修;2022年在昆明医科大学第一附属医院神经外科进修神经介入;2017年参加全县疑难病例讲课竞赛获得第二等奖;2020年获得疫情援边优秀工作者;2021年6月获得最美科技工作者;2021年获得玉溪市优秀医师。
玉溪市神经外科专业委员会成员,昆明医科大学第一附属医院专科联盟医院成员,玉溪市重症医学专业委员,云南省头疼专科联盟成员,玉溪市神经质控委员,玉溪市神经病学专业委员,云南省加速神经外科修复专业委员,云南省卒中神经介入分会专业委员。
本内容仅供医学专业人士作线上专业交流
本内容不向非医学专业人士开放,敬请理解
讲课内容仅代表专家个人观点,非通桥医疗推广产品

声明:脑医汇旗下神外资讯、神介资讯、脑医咨询、Ai Brain 所发表内容之知识产权为脑医汇及主办方、原作者等相关权利人所有。
投稿邮箱:NAOYIHUI@163.com
未经许可,禁止进行转载、摘编、复制、裁切、录制等。经许可授权使用,亦须注明来源。欢迎转发、分享。
投稿/会议发布,请联系400-888-2526转3。