
前言
椎动脉起始部狭窄(VAOS)是椎动脉狭窄最常见的类型,将导致后循环系统供血减少或继发椎-基底动脉栓塞,产生一系列神经系统功能缺损的临床表现。VAOS的治疗取决于狭窄的严重程度、临床表现和血管代偿情况,治疗方法包括一般治疗、药物治疗和血运重建(血管内介入治疗、外科手术治疗),其中血管内介入治疗因其创伤小、安全性高等优势,逐渐成为VAOS的首选血运重建策略。而药物洗脱支架治疗椎动脉狭窄可以有效降低支架内再狭窄发生率,为VAOS患者的治疗提供了一个更为安全有效的治疗方法。
Bridge椎动脉雷帕霉素靶向洗脱支架采用单面刻槽药物涂层支架设计,精准靶向释放药物,其低剂量药物搭载既降低了裸支架相关的支架内狭窄发生率,也有效避免了药物对支架内皮化的负面影响。
本期术说卒中由同心县人民医院曹文娟、宁夏回族自治区人民医院杨云振教授分享Bridge椎动脉雷帕霉素靶向洗脱支架治疗椎动脉狭窄。
01
01
患者男性,68岁。主因“发作性头晕6天”入院。
现病史:患者于6天前无明显诱因出现反复头晕,发作时自觉天旋地转,不能睁眼,伴有恶心、耳鸣,无呕吐,每次持续约数秒钟经休息后症状可缓解,自诉头晕发作与体位无明显关系,无畏寒、发热,无舌根僵硬及饮水呛咳,无肢体麻木及肢体无力,无视物模糊及视物双影,于家中休息后症状缓解不明显,为求进一步诊治就诊于我科,以“眩晕”收住。
既往史:既往高血压病史1余年,血压最高达180/110mmHg,间断口服“坎地沙坦酯片8mg qd,硝苯地平控释片30mg qd”,院外未规律监测血压,血压控制不详。既往2型糖尿病病史10余年,间断口服“二甲双胍胶囊 0.,g bid,阿卡波糖片50mg bid”,平素血糖控制欠佳。既往脑梗死病史10年,未遗留有后遗症,间断口服“阿司匹林肠溶片100mg qd,阿托伐他汀10mg qn,脑心通胶囊 3粒 tid”。15年前因“胆囊结石”于外院行“胆囊切除手术”,否认肝炎、结核,无外伤及输血史。平素体质良好,无烟酒嗜好,无药物及食物过敏史。
入院查体情况:神清语利,查体合作,问答切题,理解力、定向力、远近记忆力、计算力均正常,双侧瞳孔等大等圆,直径约3.0mm,对光反射灵敏,双侧眼球活动无受限,无眼震,面纹对称,伸舌居中,指鼻试验及跟膝胫试验均阴性,四肢肌力及肌张力均正常,生理反射存在,病理反射未引出。
02
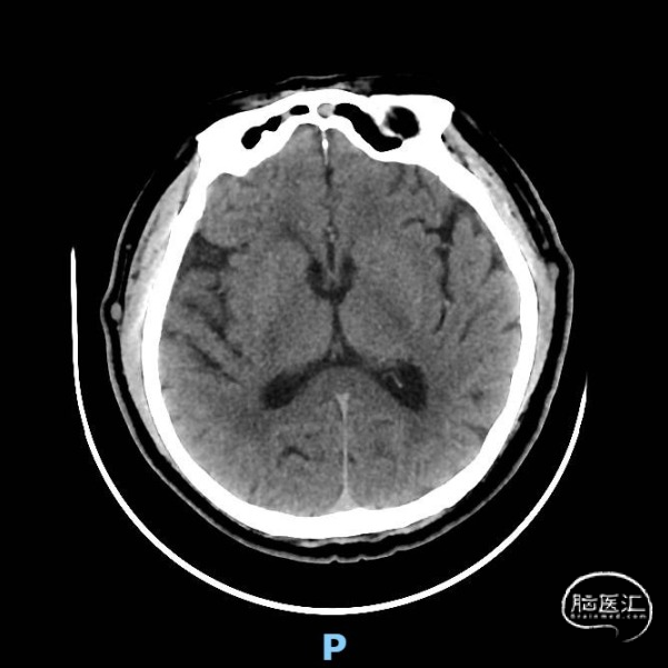
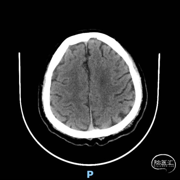
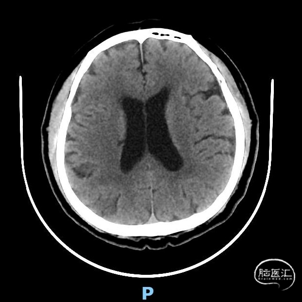
术前颅脑CT示:右侧脑室旁陈旧性腔梗。
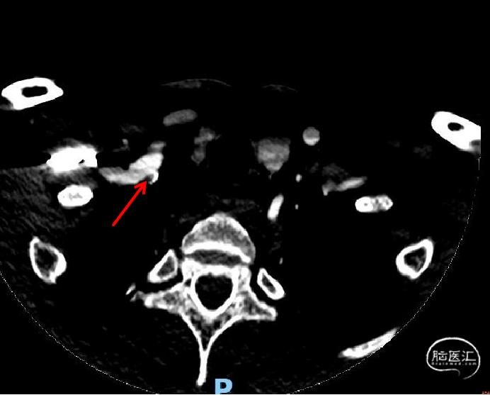
术前头颈部CTA示:(1)左侧锁骨下动脉、左颈总动脉、右锁骨下动脉起始部、双侧颈内动脉粥样硬化表现。(2)右侧椎动脉起始部粥样硬化表现,管腔中-重度狭窄。
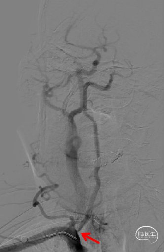
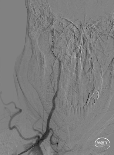
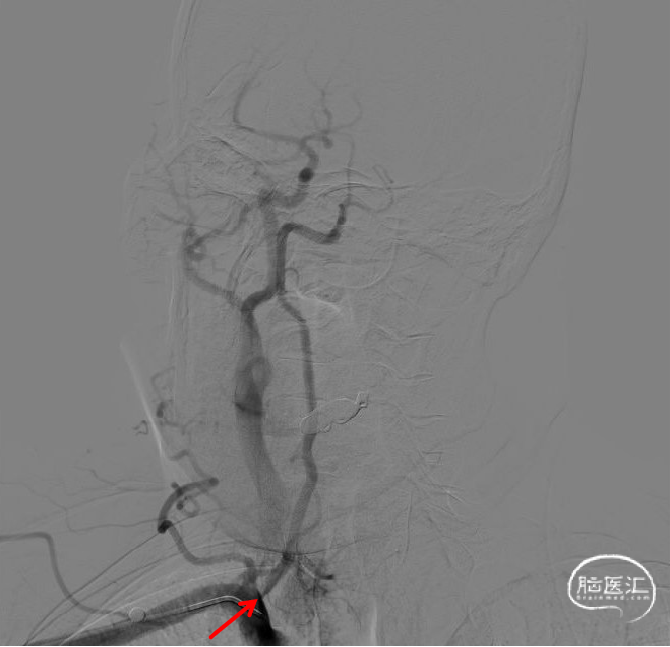
术前脑血管造影示:右侧椎动脉V1段重度狭窄。
初步诊断:
(1)椎动脉重度狭窄(右侧V1段)
(2)后循环缺血
(3)高血压病3级(极高危)
(4)2型糖尿病
(5)陈旧性脑梗死
治疗预案:
患者发作性眩晕,脑血管造影证实右侧椎动脉V1段重度狭窄,且右侧椎动脉为优势椎,拟行经皮椎动脉支架植入术。
药物准备:
阿司匹林肠溶片0.1g qd po,氯吡格雷片75mg qd po,阿托伐他汀钙片20mg qn po
术中涉及器械
6F动脉鞘
5F单弯造影导管
6F 95cm远端通路导引导管
0.035inch 180cm泥鳅导丝
0.014inch 180cm导引导丝
4.0mm*13mm Bridge椎动脉雷帕霉素靶向洗脱支架
03
1
穿刺并建立通路:
患者取平卧位,常规消毒术区皮肤,置无菌单,右侧桡动脉局麻后,行右侧桡动脉Seldinger法穿刺,并置入6F动脉鞘,以180cm超滑泥鳅导丝携单弯管行选择性脑动脉造影。造影结果示:右侧椎动脉V1段重度狭窄。
2
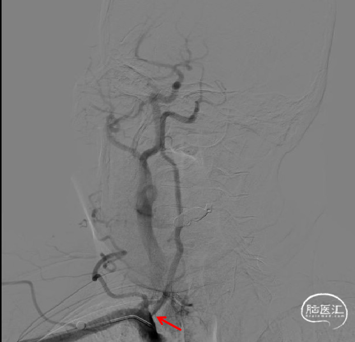
沿泥鳅导丝将6F 95cm远端通路导引导管送至右侧椎动脉开口近狭窄处,撤出泥鳅导丝,在路途下,将0.014inch 180cm导引导丝超选至右侧椎动脉V3段远端,沿微导丝将Bridge椎动脉雷帕霉素靶向洗脱支架送至右侧椎动脉V1段狭窄处,支架释放之前再次通过显影点,确认支架位于合适位置,排气后,以10-15s/atm缓慢加压至10atm打开输送系统球囊以扩张支架。
3
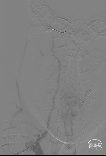
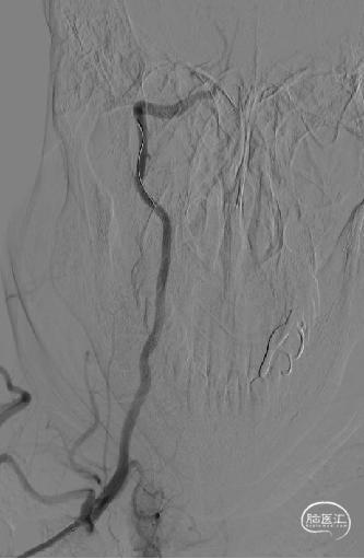
造影示支架完全覆盖狭窄段,与血管壁贴合良好。复查脑血管造影颅内远端血流通畅。
4
术后影像
术前影像
药物治疗:
阿司匹林肠溶片0.1g qd po
氯吡格雷片75mg qd po
阿托伐他汀钙片20mg qn po
随访:患者术后一般情况良好,自觉头晕、头昏症状明显缓解,血压、血糖控制良好,于术后第3天出院。
治疗体会
此患者主因“发作性头晕”入院。头颈部CTA提示右侧椎动脉起始段成中-重度狭窄,完善DSA证实右侧椎动脉V1段重度狭窄,且右侧椎动脉为优势椎,有明确的手术指征。
药物涂层支架在椎动脉狭窄治疗中具有显著优势。通过精确的定位和扩张,可以有效改善椎动脉狭窄,改善血流,从而缓解患者症状,另外可以有效预防支架内再狭窄。同时,我们也需要关注术后并发症的预防和处理,确保患者的安全和治疗效果,期待远期随访结果。

术者简介
曹文娟
同心县人民医院
同心县人民医院主治医师
宁夏卒中学会神经介入分会委员
掌握神经内科常见病及多发病的诊断及治疗
先后于2022年、2024年于泉州第一医院、苏州大学第二附属医院进修学习神经介入治疗,擅长脑血管病的规范化诊疗及危重脑血管病的超早期急救,包括静脉溶栓、动脉取栓、急诊支架成形术等多模式血流重建治疗
指导专家
杨云振
宁夏回族自治区人民医院
副主任医师
宁夏医学会神经外科分会委员
宁夏医学会创伤协会委员
宁夏医学会神经介入分会委员
国家卫健委炬火计划神经外科专业培训讲师
获得医院新技术新业务一等奖和三等奖各一项
-END-

声明:脑医汇旗下神外资讯、神介资讯、脑医咨询、Ai Brain 所发表内容之知识产权为脑医汇及主办方、原作者等相关权利人所有。