病史简介
🔹患者男,17岁,因“脑动静脉畸形介入栓塞术后2年。” 入院。
🔹既往:2年内分别行动脉、静脉入路脑动静脉畸形栓塞
🔹 查体:神志清醒,对答切题,双侧瞳孔等大等圆,对光反射灵敏,视力视野粗测正常,四肢肌张力正常,肌力正常。
🔹诊断:右侧额叶动静脉畸形栓塞术后
7个月前第一次静脉入路栓塞








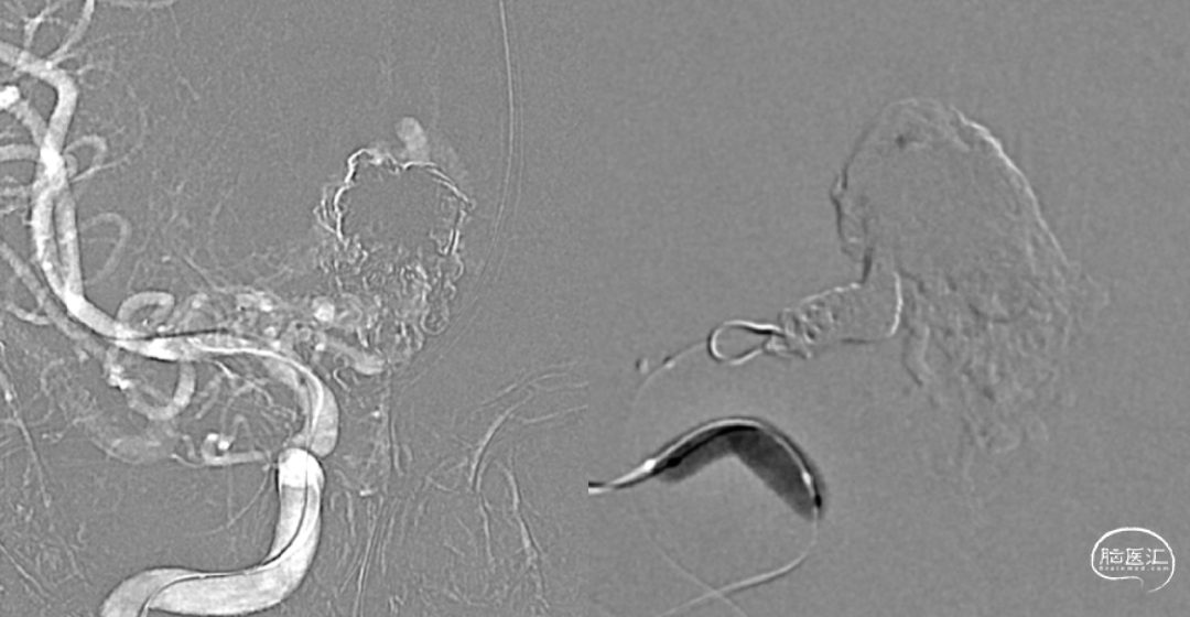
术后即刻造影

术前检查


诊疗计划
🔹治疗方案:全麻下经静脉入路脑动静脉畸形栓塞术
手术经过
经静脉入路超选到位

经Echlon10微导管填入弹簧圈做塞子

经Apllo微导管注入Onyx胶

术后造影脑动静脉畸形消失
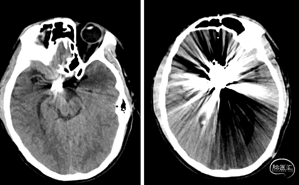
术后CT未见出血及梗塞

钟书
广西自治区人民医院
脑血管、脊髓神经外科副主任医师,广西右江民族医学院外科副教授
中国卒中专科联盟委员
中国医师协会神经介入专委会委员
国家卫健委脑防委出血介入专委会委员
中国生命关怀协会理事
中国生命关怀协会脑卒中救治及康复照护专业委员会常务委员
中国老年医学会神经医学分会常委兼副总干事
中国老年医学会脑血管病分会委员
中国老年保健医学研究会脑卒中防治分会委员
海峡两岸医药学会神经外科专委会脑血管病学组委员
中国人体健康科技促进会临床神经科学技术转化专委会委员
中国神经外科重症管理协作组委员
中国神经科学转化与循证医学协作组委员
广西脑血管病专科联盟副主席兼秘书长
美国神经介入(JNIS)杂志中文版编委
脑医汇-神介资讯编委
获国家卫健委脑防委优秀中青年专家、国家卫健委脑卒中防治工程十周年菁英先锋奖、中国志愿医生脱贫攻坚功勋奖、广西区直机关青年岗位能手、广西优秀青年志愿者等荣誉称号

声明:脑医汇旗下神外资讯、神介资讯、脑医咨询、Ai Brain 所发表内容之知识产权为脑医汇及主办方、原作者等相关权利人所有。
投稿邮箱:NAOYIHUI@163.com
未经许可,禁止进行转载、摘编、复制、裁切、录制等。经许可授权使用,亦须注明来源。欢迎转发、分享。
投稿/会议发布,请联系400-888-2526转3。