
主 编:刘建民 海军军医大学第一附属医院
执行主编:赵开军 同济大学附属东方医院
题目:
右侧大脑中动脉瘤合并近端狭窄的介入治疗
摘要:
动脉粥样硬化性颅内动脉狭窄与颅内动脉瘤共存研究(CAIASA研究)表明,未破裂颅内动脉瘤患者中的颅内动脉粥样硬化性狭窄(ICAS)的总患病率为6.2%,并随着年龄增加。针对动脉瘤合并动脉狭窄的治疗根据治疗顺序不同,可以归纳为:优先颅内动脉狭窄的治疗、优先颅内动脉瘤的治疗以及同期治疗。本次将汇报一例右侧大脑中动脉瘤合并近端狭窄同期介入治疗及术后随访的病例。
Abstract:
The Coexistence of Atherosclerotic Intracranial Artery Stenosis and Intracranial Aneurysm (CAIASA) study indicates that the overall prevalence of intracranial atherosclerotic stenosis (ICAS) in patients with unruptured intracranial aneurysms is 6.2%, and it increases with age. Treatment strategies for aneurysms combined with arterial stenosis can be categorized based on the order of treatment: prioritizing intracranial arterial stenosis, prioritizing intracranial aneurysms, or simultaneous treatment. This report presents a case of simultaneous endovascular intervention for a right middle cerebral artery aneurysm with proximal stenosis and postoperative follow-up.
前言
在临床实践中,未破裂颅内动脉瘤合并颅内外动脉狭窄的情况越发多见。动脉粥样硬化性颅内动脉狭窄与颅内动脉瘤共存研究(CAIASA研究)表明,未破裂颅内动脉瘤患者中的颅内动脉粥样硬化性狭窄(ICAS)的总患病率为6.2%,并随着年龄的增加,从1.4%(<40岁)增加到10.4%(60-70岁)。患病率的地区与年龄分布,表明我国老年人相较于人群总体可能有更大的疾病负担。
动脉瘤合并动脉狭窄的分类主要考虑解剖因素——1、根据动脉瘤和动脉狭窄是否处于同一血管区域,可分为串联病变(同一流域)和并联病变(不同区域);2、串联病变可通过动脉狭窄和颅内动脉瘤的相对位置,进一步分为动脉瘤近端狭窄和动脉瘤远端狭窄;动脉瘤合并动脉狭窄的分类主要考虑解剖因素——1、根据动脉瘤和动脉狭窄是否处于同一血管区域,可分为串联病变(同一区域)和并联病变(不同区域);2、串联病变可通过动脉狭窄和颅内动脉瘤的相对位置,进一步分为动脉瘤近端狭窄和动脉瘤远端狭窄;3、抗血小板药物。
目前,还没有针对动脉瘤合并动脉狭窄的治疗共识,根据治疗顺序不同,可以归纳为:优先进行颅内外动脉狭窄的治疗、优先进行颅内动脉瘤的治疗以及同期治疗。当前的矛盾在于:1、如果先处理动脉狭窄,可能因颅内灌注压增加导致动脉瘤破裂,抗栓药的使用也可能增加动脉瘤破裂风险;2、如果先处理动脉瘤,可能会有更高的缺血风险,术中全身麻醉下可能出现低灌注诱发的急性缺血性卒中;3、如果同期处理,虽然可以短时间内解决两者的相关症状,但可能增加栓塞等并发症风险。
本次将汇报一例右侧大脑中动脉瘤合并近端狭窄同期介入治疗及术后随访的病例。
病例简介
患者:男,77岁。
主诉:左侧口角歪斜1月。
现病史:患者2023.01无明诱因下出现左侧口角歪斜,无眼睑闭合不全,无鼓气漏风,无肢体乏力或抽搐,至当地医院神经内科对症予抗板、稳斑、控压等对症治疗。2023.02患者至我院就诊完善高分辨磁共振示:右侧大脑中动脉M1段中重度狭窄伴动脉瘤形成。
既往史:高血压、脑梗塞(长期口服缬沙坦氨氯地平控压);2016 结肠肿瘤根治术;2021 腰椎椎管扩大减压术。
查体:神志清,精神可,双侧瞳孔等大等圆,直径约3.0mm,对光反射灵敏,四肢肌力V级,肌张力可,病理征(-)。
诊断:1.右侧大脑中动脉狭窄;2.右侧大脑中动脉瘤;3.高血压;4.右侧基底节区脑梗死。
术前影像学资料(MRI)









磁共振灌注
TTP

MTT

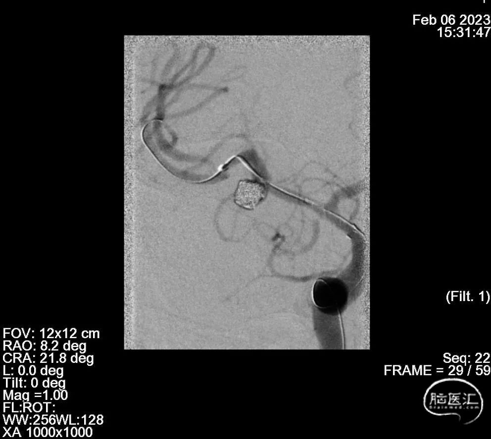
术前影像学资料(DSA)



术前影像学资料(Aneu-Flow®形态学)
CS动脉瘤形态学参数定义示意图

重构模型



动脉瘤形态学参数



壁面剪切应力

振荡剪切因子

相对滞留时间
VD 参数释义:
WSS:壁面剪应力,表示血流作用于血管壁而产生的切向作用力。颜⾊越红,血流作用于血管内壁的摩擦力越大。
OSI:振荡剪切因子,表示WSS方向变化在心动周期中对血管壁的作用。颜⾊越红,WSS方向变化越大。
RRT:相对滞留时间,表示血流在血管壁附近的停滞时间。颜⾊越红,血流停滞时间越长。

RFV(V=0.1m/s)

Velocity(m/s)

PR
参数释义:
Velocity:血流速度,血流在单位时间内通过血管的距离。流线表示动脉瘤及载瘤动脉位置速度流线变化。颜⾊越红,流速越快。
RFV:残余血流体积,表示动脉瘤及载瘤动脉内速度大于等于某一定值的血流流动状态。
PR:血流储备分数,表示狭窄血管远端与近端压力的比值,反映狭窄所带来的压力损失。


WSS:wall shear stress

OS:oscillatory shear index

RRT:relative residence time
术前准备
1、阿司匹林 100mg po qd
2、替格瑞洛 60mg po bid
3、阿托伐他汀 20mg po qd
治疗方案
1、血管成形术
2、支架辅助动脉瘤栓塞术
3、再次血管成形(如需)
4、术后至少3个月双重抗板治疗(阿司匹林 100mg po qd+替格瑞洛 60mg po bid)+阿托伐他汀 20 mg po qd
5、3月后长期阿司匹林 100mg po qd+阿托伐他汀 20 mg po qd
器械材料和设备
1、Neuron MAX 6F
2、颅内球囊扩张导管2.0mm*30mm球囊
3、颅内球囊扩张导管3.0mm*20mm球囊
4、ENTERPRISE2 4.0mm*30mm
5、Microvention Traxcess14
6、Axium Prime 3mm*8cm、2mm*6cm
7、通桥4mm*8cm、2.5mm*4cm、1mm*4cm、1mm*4cm
治疗过程
血管成形
Angioplasty Balloon (2.0mm)


Postprocedural ICA Angiogram

支架辅助动脉瘤栓塞



再次血管成形
300-cm exchange micro-guidewire (0.014 inch)



Angioplasty Balloon (3.0mm)


治疗结果

术后药物指导
2、3月后长期阿司匹林 100mg po qd+阿托伐他汀 20 mg po qd。
影像学的随访
术后3月DSA

术后18月MR




术后18月MR




术后18月MR,缺血较前改善。

TTP

MTT
术后18月DSA


讨论
1.特色:优先扩张狭窄血管,为微导管进入瘤腔提供条件;处理完动脉瘤后再次使用较大球囊扩张狭窄血管预防再狭窄;
2.可行性:术前完善高分辨磁共振、DSA以及血流动力学,结合患者病情制定合理手术策略;
3.安全性:术前经血流动力学与形态学充分评估动脉瘤应力情况与破裂风险,结合患者病情综合考量选择同期治疗狭窄与动脉瘤;
4.注意事项:术中扩张狭窄血管需谨慎加压,避免血流动力学改变致动脉瘤破裂出血;
5.未破裂颅内动脉瘤患者中的颅内动脉粥样硬化性狭窄(ICAS)的总患病率为6.2%,颅内动脉瘤的患者,合并存在动脉硬化斑块、动脉狭窄,脑出血与脑缺血风险叠加起来,会增加疾病风险,同时增加处理的难度。对于动脉狭窄合并动脉瘤者应行个体化治疗;
6.术中扩张狭窄血管需谨慎操作,做到亚满意扩张,及时造影关注血流动力学改变情况。
专家点评:路华教授

颅内动脉瘤和颈动脉狭窄的同时存在,使其治疗策略变得更加复杂。难点在于:
1.先处理脑动脉狭窄可能增加下游动脉瘤或willis环上动脉瘤的血流量、压力,增加动脉瘤破裂的风险。先处理动脉瘤可能增加围手术期狭窄血管供血区域的急性缺血性脑血管事件的发生;
2.脑动脉狭窄术后应用抗血小板药物可能会增加动脉瘤出血破裂的严重程度;
3.血管路径的变化和血流动力学的变化,是增加病情复杂度的二个因素;
4.抗血小板药物对两种疾病的收益与风险不一,也会增加治疗选择的难度。
对于动脉狭窄合并动脉瘤者,其治疗应根据动脉瘤与狭窄的关系、动脉瘤的形态特点、患者的情况综合评价,进行个体化治疗:
· 对于动脉瘤首先需要评定其破裂风险,如果风险较高需要采取手术治疗,这时优先处理动脉瘤,优先采用介入治疗,术后给予阿司匹林、氯吡格雷等口服治疗,也有利于预防血栓形成、减轻缺血症状,之后处理动脉狭窄。如果风险较低,对动脉瘤采取随访观察;
· 对狭窄程度>70%且有缺血症状的患者,处理动脉瘤后可同时或尽早行支架置入治疗,改善血流,减少动脉瘤的发生和缺血性卒中;对狭窄程度<70%且临床症状轻微者,可保守治疗,给予抗血小板、抗凝药物,观察病情进展,狭窄及动脉瘤的发展;
· 重度颈动脉狭窄可影响微导管的进入,限制了同侧动脉瘤的治疗,这时可以考虑先期或同期处理狭窄。
指导专家简历

路华
江苏省人民医院
主任医师
江苏省研究型医院学会神经介入专业委员会主委
江苏省卒中学会脑脊髓血管病复合手术专业委员会主委
江苏省医学会神经外科分会神经介入学组副组长
江苏省医师协会神经外科分会神经介入学组副组长
中国卒中学会高危人群管理分会委员
中国神经科学学会脑血管功能与疾病分会委员
江苏省人民医院(南京医科大学第一附属医院)神经外科血管组组长
术者简介

林超
江苏省人民医院
副主任医师
副教授、医学博士
中华医学会创伤外科分会青年委员
中华医师协会创伤外科分会损伤与康复专业委员会委员
《中华创伤杂志》青年学术委员会委员
江苏省医师协会神经外科分会脑血管病学组秘书
江苏省卒中协会脑脊髓血管病复合手术专业委员会秘书
首届中国神经外科医师诊疗能力大赛脑血管神经外科十佳医生
科室简介
南京医科大学第一附属医院(暨江苏省人民医院)神经外科由国内著名神经外科前辈侯金镐教授创立于1954年,是国内最早的神经外科专科之一,也是江苏省内首个神经外科。经多年发展已成为江苏省内综合实力最强的神经外科临床诊疗、教学和科研中心之一,为江苏省临床医学重点专科、省强卫工程医学重点学科、南京医科大学神经外科学科联盟主任委员单位(联盟现已发展包括省内外56家成员单位)。学科为南京医科大学硕士生、博士生培养点、博士后流动站,国内首批获认证的神经外科专科医师培训基地、国家卫生健康委能力建设和继续教育神经外科进修与培训基地。
学科目前在编人员186人,包括医师46名,专职科研技术人员3名,护士137名。现有博士生导师7人,硕士生导师10人。团队中包括中组部“万人计划”青年拔尖人才1名、江苏省有突出贡献中青年专家1名、省“333工程”第二层次培养对象2名、“强卫工程”医学重点人才2名、省特聘教授1名、省特聘医学专家1名、省六大人才高峰高层次人才5名。学科成员担任中国医师协会脑胶质瘤专业委员会候任主任委员、中国医师协会神经外科医师分会常委、中华医学会神经外科分会委员、江苏省医学会神经外科分会候任主任委员、江苏省医师协会神经外科医师分会会长等学术职务,享有良好的执业口碑和学术地位。

点击上方图片
声明:脑医汇旗下神外资讯、神介资讯、脑医咨询、Ai Brain 所发表内容之知识产权为脑医汇及主办方、原作者等相关权利人所有。
投稿邮箱:NAOYIHUI@163.com
未经许可,禁止进行转载、摘编、复制、裁切、录制等。经许可授权使用,亦须注明来源。欢迎转发、分享。
投稿/会议发布,请联系400-888-2526转3。