2024年10月来自美国的Vincent M. Timpone等在AJNR上报道了6例脑空气栓塞的病例,这些病例的影像学特征,除了末梢边缘带为主的分布模式、血管源性水肿+细胞毒性水肿以外,他们发现了脑空气栓塞(Cerebral Air Embolism,CAE)的另一个影像学特征,即软脑膜强化。

之所以产生软脑膜强化,作者认为是因为脑空气栓塞的炎性机制在发挥作用。
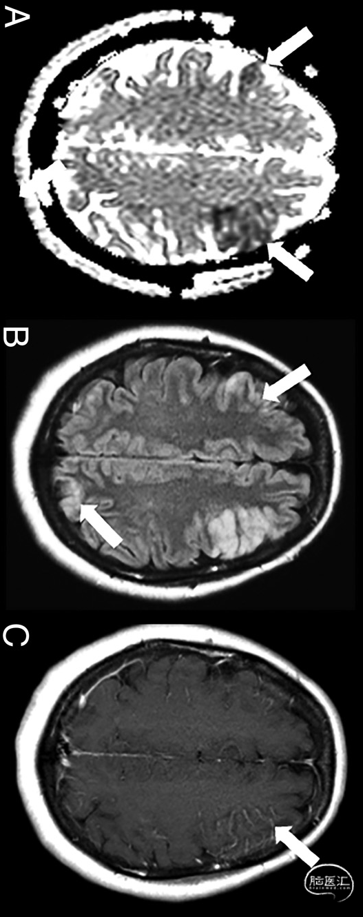
图1. 68岁疑似CAE患者的增强脑MRI。在远端血管床中,呈现细胞毒性水肿(白色箭头,DWI序列,a)和血管源性水肿(白色箭头、T2-FLAIR序列,B)的混合模式,水肿区域附近伴随软脑膜增强(白色箭头;增强后[MultiHance;Bracco Diagnostics]3D gradient-echo T1序列,C):

图2.男性,68岁。症状疑似CAE。增强脑MRI显示,远端血管床存在细胞毒性(白色箭头,DWI序列,a)和血管源性水肿(白箭头,T2-FLAIR序列,B)的混合模式,水肿区域附近有伴随软脑膜增强(白色箭头、增强后[MultiHance;Bracco Diagnostic]2D自旋回波T1序列,C)。头颈部CTA显示纵隔积气,食管和左心房之间有气体(未提供)。这些发现与心脏消融术后心房食管瘘的急性空气栓塞一致:

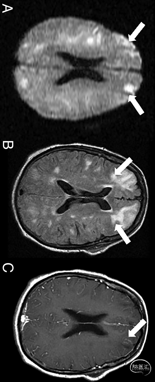
图3.女性,47岁,疑似CAE事件。增强脑MRI显示细胞毒性水肿(白色箭头,DWI序列,a)和血管源性水肿(白色箭号,T2-FLAIR序列,B)的混合模式,分布在整个大脑半球,主要分布在远端边缘带区域,沿左前ACA-MCA交界区可见软脑膜增强(白色箭头号,对比后[MultiHance;Bracco Diagnostics]2D spin-echo T1序列,C)。CAE与腹腔镜注入气体相关,导致血管内进入气体:

图4.男性,64岁,疑似CAE。平扫脑部CT显示右额叶存在轴外气体(白色箭头,A)。平扫脑MRI显示,双侧(右侧明显)MCA-ACA交界区存在细胞毒性(白色箭头,DWI序列,B)和血管源性水肿(白箭头,T2-FLAIR序列,C)的混合模式。病因为伤口填塞过程中沿患者胸壁腔血管内引入气体:

图5.女性,86岁,术中CAE。增强脑MRI显示,细胞毒性(白色箭头,DWI序列,a)和血管源性水肿(白箭头,T2-FLAIR序列,B)的混合模式散布在整个大脑半球,主要呈远端边缘带分布模式,沿左前ACA-MCA边缘带可见软脑膜增强(白色箭头后对比[ProHance;Bracco]3D梯度回波T1序列,C)。病因是在主动脉瓣置换手术中无意中血管内进入空气:

AJNR Am J Neuroradiol
. 2024 Oct 3;45(10):1413-1418. doi: 10.3174/ajnr.A8349.
Characteristic MR Imaging Findings of Cerebral Air Embolism Infarcts: A Case Series
*文章转载自“脑血管病及重症文献导读”,脑医汇获授权转载发布
声明:脑医汇旗下神外资讯、神介资讯、脑医咨询、Ai Brain 所发表内容之知识产权为脑医汇及主办方、原作者等相关权利人所有。
投稿邮箱:NAOYIHUI@163.com
未经许可,禁止进行转载、摘编、复制、裁切、录制等。经许可授权使用,亦须注明来源。欢迎转发、分享。
投稿/会议发布,请联系400-888-2526转3。





