病 例 分 享
硬质坚韧大血栓的挑战
病例特点:
1、硬质坚韧大血栓是艰巨挑战
硬质坚韧的大负荷血栓是急诊取栓术中面临的一个很大挑战,常导致手术时间明显增加,多次转换操作策略,并发症风险增高,预后变差,甚至可能取栓失败,本病例即是如此。
2、微导丝无法通过血栓,增强通路支撑后,单独微导管通过血栓
首先,常规微导丝操作试图通过此硬质血栓失败,后微导管抵进配合和微导丝头端重新塑形,但还是尝试失败。又调整治疗通路,上高中间管入颅增强支撑下,微导丝还是不能通过血栓,最后是谨慎操作单独用微导管通过了此硬质坚韧血栓。
3、第一次抽拉结合取栓,5F中间管无法紧密嵌合血栓,回撤中间管时血栓脱落ICA
其次,这个患者血栓不仅坚韧而且比较大,第一次抽拉结合取栓后,5F中间管头端虽然吸住了血栓,但嵌合不牢固,负压回撤中间管时血栓脱落卡在ICA后交通开口处。此坚韧血栓再次导致微导丝通过困难,微导丝成袢后才最终通过。
4、最终更换大腔6F中间管后,取栓成功
由于血栓大,第2次抽拉结合取栓时,5F中间管无法容纳此血栓,仅部分再通。此时更换6F中间管,第三次抽拉结合取栓,取出数块较大硬质坚韧血栓,闭塞完全再通。
5、应对硬质坚韧大血栓的其他潜在方法
第一,使用更大内腔的.088”抽吸导管;第二,双支架取栓。
简要病史:
患者:女,71岁
发病-到院:40分钟
症状:突发言语不能和左侧肢体无力
NIHSS:16
既往史:高血压,糖尿病

CT平扫:右侧MCA区ASPECT-6。
CTA:弓上血管迂曲,右侧颈内动脉行程迂曲,其远端闭塞。

CTA:右侧颈内动脉末端分叉部T栓塞。
CTP:右侧MCA区大范围严重低灌注,仍可见较大范围可挽救脑组织。
静脉溶栓桥接急诊取栓治疗:
患者取栓手术详细视频和讲解

5F多功能管(125cm)+6F长鞘(90cm,Cook)组成同轴,泥鳅导丝导引下,快速过弓,把长鞘头端送至右侧颈总动脉远端,造影见溶栓后栓子迁移至M1远端;泥鳅导丝导引5F中间管克服C1段迂曲,上高到海绵窦段,同时尽量上高长鞘增强支撑。

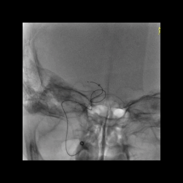
微导丝习惯性进入后交通动脉。

跟进微导管,以及微导丝头端重新塑形后进入M1。


M1远端栓子坚硬,微导丝难以通过;尝试微导管通过,但失败;微导丝头端重新塑形后尝试也未果。

中间管内衬.018"导丝(Command 18),并尽力推高长鞘,在增强支撑下把中间管头端推送至颈内动脉末端,以增加对微导管微导丝的支撑性。

微导丝配合下,微导管首先通过闭塞血栓位置进入M2下干,导丝跟进把微导管送至M2下干中远段,造影证实位于真腔后,送入取栓支架Trevo 4*20mm,释放支架后恢复前向血流,支架完全覆盖病变,血栓负荷较大。

5F中间管负压下退至颈内动脉末端时,经长鞘造影示右侧MCA再通。

持续负压下回收中间管,后造影示颈内动脉后交通位置闭塞,提示血栓较大且坚硬,从5F中间管头端脱落。

血栓坚硬,微导丝最终成袢通过闭塞位置,微导管跟进进入M1,释放支架。

抽拉结合取栓后造影:颈内动脉远端和M1多发充盈缺损;更换6F中间管,且6F长鞘上高到C1远端。

微导丝微导管超选到M1下干。

微导管造影证实真腔,再次送入和释放支架。

抽拉结合取栓后造影示:闭塞完全再通,取出数块大血栓。

术后第2日CT平扫:右侧半球仅见少许片状低密度梗死灶。
取栓后患者快速恢复,术后第2日NIHSS将至2。
术者简介
陈红兵
中山大学附属第一医院
中山大学附属第一医院神经科,副主任医师,医学博士,硕士研究生导师;
中华医学会神经病学分会神经介入协作组委员;
中国神内医师分会神经介入专委会委员;
中国研究型医院学会介入神经病学分会委员;
中国卒中学会脑静脉病变分会委员;
广东省健康管理协会介入专委会常委;
广东省医师协会脑血管病分会委员;
广东省卒中学会理事;
广东省临床医学会介入神经病学分会副主委;
长期从事缺血性脑血管病临床和科研工作,擅长神经介入和脑血管病影像。完成近千例神经介入治疗手术,熟练掌握各类缺血性脑血管病的择期和急诊手术,在复杂高危脑动脉缺血病变和脑静脉窦狭窄/闭塞介入治疗领域有一定造诣,尤其是脑静脉窦血栓闭塞介入治疗在国内处于领先水平。较早将管壁高分辨MRI和多模式CT技术应用于脑血管病诊治,极大提高了脑血管病的临床诊断水平,对药物和介入治疗具有重要指导价值;目前已应用于数千病例,积累了丰富经验,国内领先。
END
声明:脑医汇旗下神外资讯、神介资讯、脑医咨询、Ai Brain 所发表内容之知识产权为脑医汇及主办方、原作者等相关权利人所有。
投稿邮箱:NAOYIHUI@163.com
未经许可,禁止进行转载、摘编、复制、裁切、录制等。经许可授权使用,亦须注明来源。欢迎转发、分享。
投稿/会议发布,请联系400-888-2526转3。






