支架辅助栓塞后交通宽颈动脉瘤对神经介入医生来说,比较常见。对后交通动脉近段与颈内动脉近端夹角呈锐角相交,且后交通动脉十分重要,必须保留通畅的病例,采用一些非常规的支架释放技术,能起到一些不错的效果。今天神经介入资讯“病例专栏”为大家带来的是宜昌市中心人民医院神经外科汪雷主任提供的胚胎型大脑后动脉合并宽颈后交通动脉瘤支架辅助栓塞两例欢迎阅读。

汪雷 主任
三峡大学第一临床医学院脑血管病中心主任,宜昌市中心人民医院脑血管病与功能神经外科病区主任,主任医师,中共党员,医学硕士。中国研究型医院学会脑血管病专业委员会委员,湖北省医学生物免疫学会神经免疫专委会常务委员,湖北省中西医结合学会神经专业委员会委员,湖北省卒中学会神经外科分会委员,宜昌市医学会神经学分会常务委员。从事神经外科临床与科研工作20年余,主要从事脑、脊髓血管性疾病的显微手术及介入治疗,年手术量近三百例,在省内位居前列。
女,73岁,蛛网膜下腔出血量还挺多的,H-H 分级4级

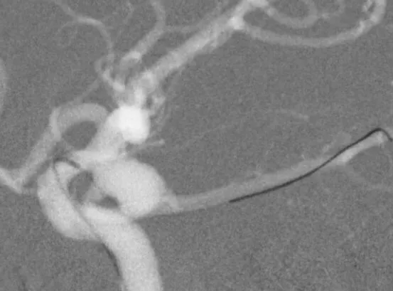
造影显示左侧后交通动脉瘤

椎动脉造影没发现大脑后动脉,双侧的大脑后动脉都是由颈内动脉-后交通动脉发出,双侧胚胎型大脑后动脉

我们来看看动脉瘤的结构:红色为颈内动脉走向,绿色为后交通动脉走向,蓝色为动脉瘤

栓塞的要点,既要致密填塞,又要保证颈内动脉和后交通动脉的通畅。决定通过对侧前交通动脉-颈内动脉远端-后交通动脉途径来置入输送支架的微导管,从后交通动脉释放支架直到颈内动脉末端,以达到一个支架对颈内动脉和后交通动脉的保护

双侧穿刺置鞘,对侧90cmCOOK长鞘+115cmNavien导引导管 ,导引导管头端尽量走得远一些

输送支架的微导管从右侧通过前交通动脉进入左侧

大脑前动脉与颈内动脉之间的夹角太小,导致微导管从大脑前动脉进入颈内动脉遭遇了一些困难

终于将导丝送入了后交通动脉以远

输送支架的微导管终于到位了,输送弹簧圈的微导管到位比较容易

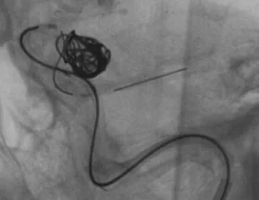
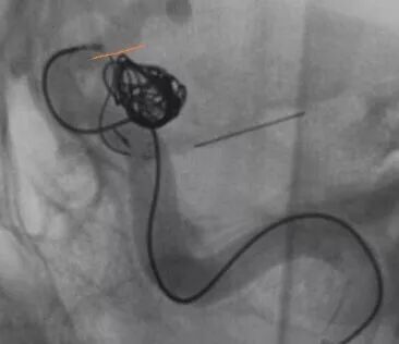
释放支架

找到支架与弹簧圈之间的切线位,继续填塞。支架很好地保护住了颈内动脉和后交通动脉

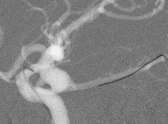
最后的填塞结果
几点体会:1、输送支架的微导管行进的路程太远,导引导管一定要尽可能的走远,不然微导管到不了目标位。2、如果支架与血管直径匹配,能通过更细的微导管来释放的支架应作为首选,如LVIS jr等,这样微导管的到位会容易些。3、到位后先行释放支架,不影响输送弹簧圈的微导管的调整。4、能更大胆地进行动脉瘤的致密填塞,需双侧穿刺,且操作复杂,用时较长,建议在其他方法不佳的情况下使用。

男,49岁,蛛网膜下腔出血

左侧后交通动脉瘤,胚胎型大脑后动脉

3D

局部观,宽颈,涉及颈内动脉和后交通动脉

椎动脉造影见左侧大脑后动脉P1段很细

栓塞的关键是既要保持颈内动脉通畅,又要保持后交通动脉通畅。双导管单纯填塞;通过颈内动脉释放支架灯笼技术辅助是可选的方案。本例是通过后交通动脉释放支架,利用支架摆尾技术(half-T)来进行栓塞。支架导管塑型

塑型后的形状

利用微导管的形状,将微导丝送入后交通动脉

微导丝走远

支架微导管到位

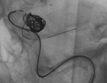
填了一个HydroFram8×30的弹簧圈成篮,从形态来看,应用双微导管技术栓塞是能够完成手术的

Enterprise4.5×22支架半释放,支架尾端的有效段能恰好覆盖全瘤颈

支架有效段完全释放,这个时候开始将支架导管往前顶,让导管头端尽量越过瘤颈远端

支架完全释放

释放后的造影。突入颈内动脉和后交通动脉内的弹簧圈被压入瘤体内


继续填塞,后面就简单了。最后的结果,一共用了四枚弹簧圈,栓塞致密,瘤体及破口都不显影了
顺利完成手术。几点体会:1、支架要选用Enterprise或LVIS jr,好定位。2、支架末端够用就行,不能留得太长。3、弹簧圈不要先解脱,支架释放成功再解脱,一旦失败还有余地。4、推导管的时候要拽着支架推送杆,不要让支架提前意外解脱了。5、颈内动脉瘤颈以远太细或有狭窄的不建议。6、缺点是技术稍显复杂,优点是能很好的将瘤颈填致密,难度不大,适合的病例可以选择。在此感谢各位长期指导我的教授及专家。感谢冯雷教授的经验分享。
(宜昌市中心人民医院神经外科汪雷主任供稿,神介资讯主编、上海长海医院神经外科主任刘建民教授终审)





