

术者
罗岗 杨继芹

病例简介
患者:男性,68岁。
主诉:发现颅内动脉瘤2月余。
现病史:患者于2个月前在当地医院行脑血管造影检查,发现“左侧颈内动脉C7段动脉瘤”,形态不规则,为求进一步诊治来我院就诊,门诊以“颅内动脉瘤”收入我科。
既往史:高血压病10余年,最高达160/110mmHg,目前口服“硝苯地平缓释片20mg 1/日”,血压控制基本正常。2018年发现乙肝,目前口服“富马酸丙酚替诺福韦片25mg2/日”治疗。
个人史:否认吸烟、饮酒史。
体格检查:血压126/78mmHg心肺腹(-)。神经系统查体:神清,语利,问话反应正常。颅神经(-),四肢肌力及肌张力正常。病理征(-)。
辅助检查:
血常规、肝肾功能、凝血功能、传染病四项等未见明显异常。
心电图:心率63次/分,大致正常心电图。
心脏彩超(2024-4-22外院):EF 63%,二尖瓣、三尖瓣轻度返流,左室舒张功能减低。
胸部X线(2024-4-22外院):未见明显异常。
血小板聚集试验:

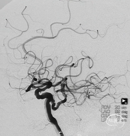
2024-03外院DSA
1. 右颈内动脉:(图1)


图1
2. 左颈内动脉:(图2)


图2
3. L-ICA(三维重建):(图3)


图3
4. 左侧锁骨下动脉(图4)



图4
5. 右侧锁骨下动脉(图5)

图5
术前头颅CT:(图6)

图6
术前诊断:
1.颅内动脉瘤(左侧P2段)
2.颈内动脉狭窄(左侧C1段)
3.高血压病3级(极高危)
4.病毒性肝炎(乙型慢性轻度)
术前用药
阿司匹林100mg qd
氯吡格雷片75mg qd
阿托伐他汀20mg qd
手术方案:
手术指征:
后交通动脉瘤,形态不规则,破裂出血风险高
手术风险:
术中动脉瘤破裂造成出血可能
支架展开不良、局部急性血栓形成
手术材料:
禾木导引导管(ERAC-088-90)
普微森中间导管(GC-070-115)
Synchro微导丝(0.014in×200cm)
Echelon-10微导管
SL-10支架微导管
Atlas支架(3.0×21mm)
弹簧圈数枚
本院造影:
1. L-ICA:永存三叉动脉起始多发斑块伴局部瘤祥突起,左侧大脑后功脉P2段动脉瘤。(图7)


图7
2. 3D重建:L-P2段动脉瘤,瘤体:3.9mm*4.5mm,瘤颈:3.9mm。L-PCA-P2段瘤体近端局限性狭窄,狭窄率约60%,左侧颈内动脉C6段小动脉瘤:1mm*1.5mm,瘤体向下。(图8)


图8
3. L-ICA:永存三叉动脉起始多发斑块伴局部瘤祥突起,左侧大脑后功脉P2段动脉瘤。(图9)


图9
4. 左锁骨下动脉造影:左椎动脉、左侧PICA远端显影欠佳,基底动脉未显影(图10)


手术过程:
建立通路(图11)
泥鳅导丝+多功能导管+导引导管:将导引导管送至左C1远端,跟进中间导管至左C3。


图11
输送支架微导管(图12)
Synchro 0.0141n*200cm头端塑形,带领SL-10经永存三叉动脉到达左侧大脑后动脉P3段,退出微导丝。


输送弹簧圈微导管(图13)
Syncho0.014in*200m带领①Echelon-10经永存三叉动脉到达左侧大脑后动脉动脉瘤瘤颈。
原计划三微导管进行栓塞,但大脑后动脉瘤体近端存在狭窄,第二根微导管通过时即存在一定阻力,因此调整策略为留置一根栓塞管Echelon-10,带支架释放后SL-10穿网眼再行双微管栓塞。


图13
弹簧圈成蓝(图14)
填入第一枚弹簧圈成蓝

图14
释放支架(图15)
经SL-10输送Atlas3mm*21mm,并释放在左侧大脑后动脉P2段至P1段,完全覆盖动脉瘤颈。


图15
致密填塞动脉瘤(图16)(图17)
SL-10穿支架网眼置于瘤体近端,经Echelon-10、SL-10依次填入弹簧圈数枚,间断造影确保左侧大脑后动脉血流通畅。



图16


术后造影
瘤体完全栓塞,支架打开良好,载瘤动脉血流通畅。(图18)


永存三叉动脉(PTA)(图20)(图21)
定义:是颈内动脉海绵窦段与基底动脉之间的胚胎性吻合,为颈内动脉系统椎-基底动脉系统之间最常见的异常交通,其他异常吻合包括永存舌下动脉、永存听动脉与永存节间动脉。
病因可能为胚胎时期胚胎性主动脉与神经动脉之间的吻合支未退化,正常情况下该血管应在后交通动脉发育后退化。脑血管造影中本畸形的发现率最高,为0.1%~0.6%。一般为单侧,偶见双侧发病。其次为永存舌下动脉,发生率约0.02%~0.1%。多为单侧发生,左右比例相似。
出现PTA时,后交通动脉一般发育不良或缺如,基底动脉也发育不良。PTA的存在使颅内动脉瘤及血管畸形的发生率增大。本病本身无临床症状,常为影像学检查偶然发现,无需治疗,极少数出现三叉神经痛及垂体功能障碍,若合并动脉瘤则可见脑神经麻痹及蛛网膜下腔出血。

图20




图21
大脑后动脉动脉瘤(PCA-AN)(图22)
大脑后动脉动脉动脉瘤约占颅内动脉瘤的0.7%~2.3%,它们通常起源于PCA的前部,P2段是其好发部位,并且往往是大的和梭形的。此病的好发人群以低龄为主,具有较高的大动脉瘤及出血比例,这也是它不同于颅内其他位置动脉瘤的地方。这些动脉瘤可能与血管疾病(如烟雾病、动静脉畸形和动脉闭塞)以及全身性疾病(如败血症、马凡综合征、系统性红斑狼疮和创伤性脑损伤)相关。

图22
策略选择及实施要点

1.1 瘤体呈囊状,瘤颈:3.9mm,大小:3.9*4.5mm,形态不规则。
1.2 后交通动脉瘤位于左侧大脑后动脉P2段,瘤体近端载瘤动脉局限性狭窄,血流动力学变化,血流冲击,容易破裂出血。
2. 治疗路径:左侧颈内动脉→→→永存三叉动脉→→→左侧大脑后动脉,PTA及ICA动脉粥样硬化较重,管腔迂曲,ICA与PTA成反向锐角,导丝及微导管超选困难。
✿中间导管置于原始分叉近段,微导管塑形,微导管配合微导丝逐步跟进,避免路径过长,微导丝操控性差,过度转动微导丝易导致微导丝断裂风险。
3. 如何增加动脉瘤填塞密度和保护重要分支血管,促进动脉瘤的预后,降低复发率?
大脑后动脉囊性动脉瘤主要以瘤腔栓塞为主,对于近段(P1或P1-P2交界处)动脉瘤,无论囊性还是夹层,保持载瘤动脉通畅是主要目标,必要时可采用球囊或支架等辅助技术。对于P2段以远的夹层动脉瘤,以动脉瘤及载瘤动脉闭塞为主。解剖研究显示,P2段动脉直径平均为2.9mm,有允许血管内操作的空间,根据此动脉瘤的位置及形态,选择支架辅助栓塞。
✿术前计划三微导管,但大脑后动脉以及瘤体近段存在狭窄,双微导管通过狭窄时已有阻力,同时通过狭窄后造影,狭窄远端血管显影浅淡,而且瘤体内微导管相对容易进瘤,所以最终选择双微导管。
4. 如果支架结合弹簧圈失败,还有什么后补措施?风险在什么地方?
✿闭塞同侧大脑后动脉,但是需要做微导管到位后的前循环造影,评估大脑中动脉和大脑后动脉的倒流侧枝代偿,若代偿不好,存在枕叶梗死风险。

栏目主编
罗岗
北京天坛医院
杨继芹
宁夏第五人民医院
宁夏第五人民医院神经内科副主任医师,宁夏第五人民医院青年委员会常委
石嘴山市“十佳医疗技术标兵”,石嘴山市卫生“三名工程”青年后备人才。

声明:脑医汇旗下神外资讯、神介资讯、脑医咨询、Ai Brain 所发表内容之知识产权为脑医汇及主办方、原作者等相关权利人所有。






