
病例展播
1
病例信息
患者:女性,61岁。
主诉:醒后发现左侧肢体活动不灵3小时余。
现病史:患者于夜里22时左右正常入睡,零晨2点半左右醒来发现自己左侧肢体活动不灵,症状逐渐加重,伴有意识恍惚,喜睡,呼之能睁眼,可正确回答问题,伴言语笨拙,期间未予药物治疗。家人发现后拨打120急送我院,急诊行头CT后,为进一步诊治收入我院。
既往史:高血压病史多年,长期口服替米沙坦40mg,日一次,控制情况不详;冠心病病史1年,未予药物治疗。
查体:嗜睡,构音障碍,双侧瞳孔等大正圆,双侧眼球活动正常,左侧中枢性面舌瘫。肌力、左上肢肌力0级,左下肢肌力0级,右上肢肌力Ⅴ级,右下肢肌力Ⅴ级,Babinski征(L+R-)。NIHSS评分10分。发病前mRS评分0分,GCS评分10分(E3V1M6)。
辅助检查:血液分析、肝肾功、血凝未见明显异常。心电图:ST-T改变 。

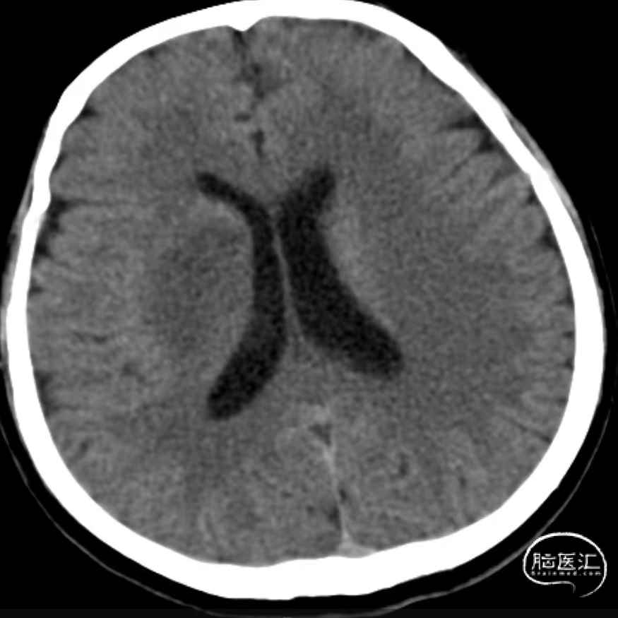
2
术前影像
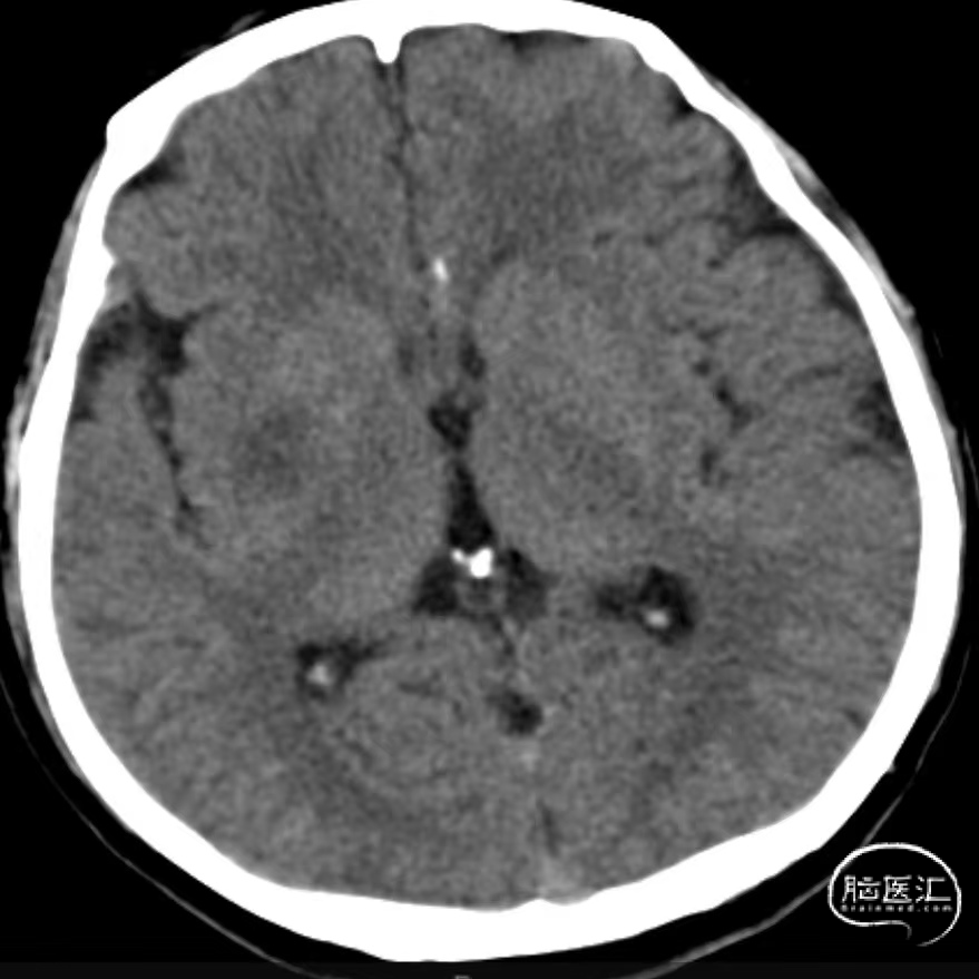
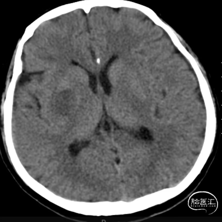
入院时CT:ASPECTS 9分(L1)。

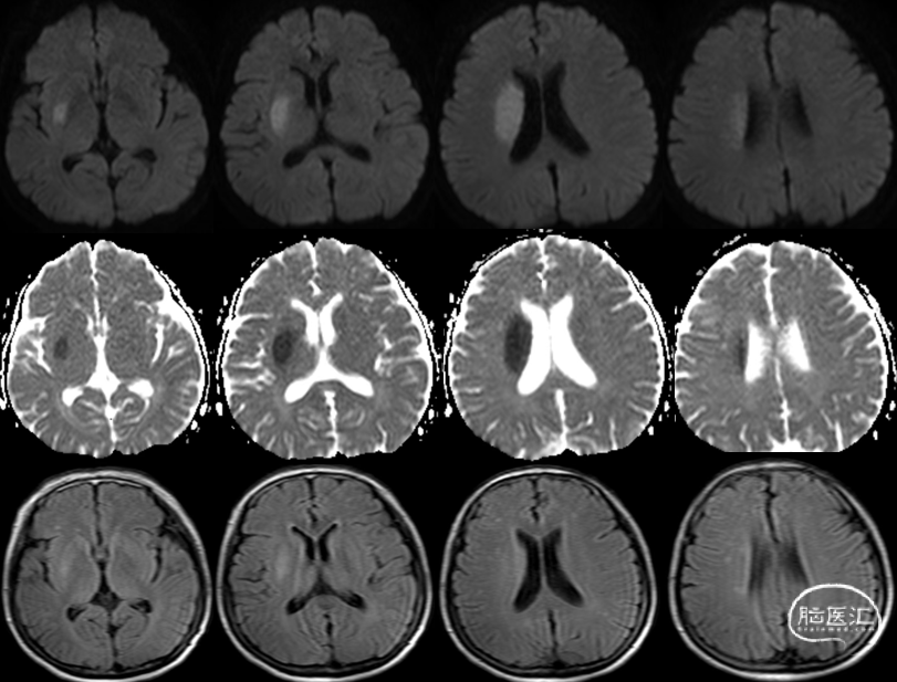
术前MRI

术前MRA:右侧大脑中动脉闭塞。

评估病变及代偿:Ⅰ型弓,右侧大脑中动脉闭塞,软脑膜动脉、大脑前动脉对其部分代偿,ASITN/SIR 2级。



术前DSA造影



3
术中器械
· 4.0*30 通桥蛟龙®取栓支架
4
治疗过程
微导丝携带2.0*10mm 输送型球囊扩张微导管通过闭塞段后,冒烟提示真腔,植入4*30 通桥蛟龙®取栓支架后扩张球囊。


撤出输送型球囊扩张导管,支架释放5分钟后,8F 通桥大禹™球囊导引导管(BGC)扩张,回拉4*30 通桥蛟龙®取栓支架,6F 115 通桥银蛇®颅内支持导管与BGC共同抽吸。



卒中诊疗过程。

取出的血栓。

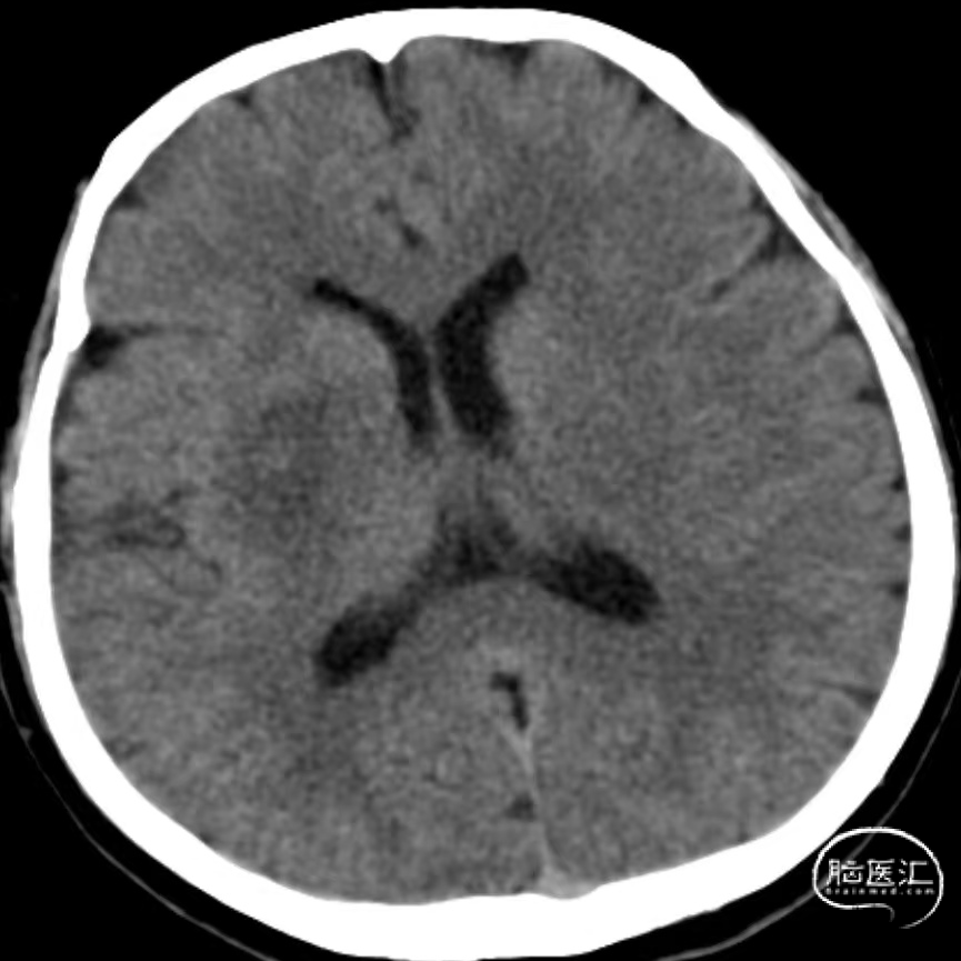
术后即刻复查CT,未见出血及造影剂渗出。




5
术后情况
术后一周复查


查体:神志清楚,言语流利,双侧瞳孔等大正圆,直径约3.0mm,双眼活动正常,无面舌瘫,左侧上肢肌力4级,左下肢肌力5级,右侧肢体肌力5级。NIHSS评分1分,mRS评分1分。
6
手术总结
BGC的应用:
① 高效:提高血管再通 --- 高效率;
② 安全:减少血栓逃逸 --- 低风险;
③ 快速:减少取栓次数 --- 短PRT;
④ 预后:提高患者预后。
通桥大禹™球囊导引导管(BGC)也可以与其他神介入耗材配合,形成新的根据不同病因取栓方式,起到1+1>2的事半功倍的效果。
术者简介
姜永宁
丹东市中心医院
神经内科三病区,主任医师
专业方面:脑血管病、癫痫
中国医师协会神经病学分会委员、中国医师协会神经介入专业委员会委员、中国抗癫痫协会委员、辽宁省红十字基金会神经介入专业委员会委员、丹东市医学会神经病学分会委员兼秘书、丹东市脑卒中质控中心委员会委员
曾先后在北京协和医院、中国医科大学附属第一医院、吉林大学白求恩附属第一医院进修学习。开展动脉桥接取栓、颅内外段血管支架植入治疗,在丹东市率先开展经桡动脉神经介入治疗及颅内动脉慢闭开通治疗。在国家卫健委举办的第三届神经介入手术大赛全国半决赛(东北赛区)第三名。承担六项国家级课题项目,承担丹东市科技局立项一项、丹东市社科联立项一项。参与辽宁省继续教育项目一项,承担市级继续教育项目三项
《神经内科特色诊疗技术与应用》主编,发表SCI三篇及多篇核心、国家级论文

本内容仅供医学专业人士作线上专业交流
本内容不向非医学专业人士开放,敬请理解
讲课内容仅代表专家个人观点,非通桥医疗推广产品
声明:脑医汇旗下神外资讯、神介资讯、脑医咨询、Ai Brain 所发表内容之知识产权为脑医汇及主办方、原作者等相关权利人所有。
投稿邮箱:NAOYIHUI@163.com
未经许可,禁止进行转载、摘编、复制、裁切、录制等。经许可授权使用,亦须注明来源。欢迎转发、分享。
投稿/会议发布,请联系400-888-2526转3。






