
主 编:刘建民 海军军医大学第一附属医院
执行主编:赵开军 同济大学附属东方医院
题目:慢性颈动脉闭塞开通术后闭塞再通一例回顾
Title:A Case Review of Recanalization After Re-occlusion Following Chronic Carotid Artery Occlusion Reopening Surgery
摘要:一位42岁女性,有10年鼻咽癌放疗史,因右眼视力模糊和左侧肢体活动障碍就诊。磁共振血管造影(MRA)显示右侧颈内动脉闭塞,遂至长海医院接受闭塞开通手术,术后未再出现前述症状。然而,术后两月余,患者因反复鼻出血和全身皮下瘀斑,自行减少抗血小板药物,导致上述症状再次出现。复查彩色多普勒超声提示右侧颈内动脉再次闭塞,经充分抗血小板治疗后,再次进行颈内动脉开通手术,术后恢复良好,未出现新的神经功能障碍。
Abstract:A 42-year-old female with a decade-long history of nasopharyngeal carcinoma treated with radiation therapy presented with blurred vision in her right eye and impaired mobility of the left extremities. Magnetic resonance angiography (MRA) revealed occlusion of the right internal carotid artery, leading to a recanalization procedure at Changhai Hospital. Postoperatively, the patient did not experience a recurrence of the aforementioned symptoms. However, over two months after the surgery, recurrent epistaxis and widespread ecchymoses prompted the patient to reduce her antiplatelet medications, which led to the reemergence of the initial symptoms. A follow-up color Doppler ultrasound confirmed re-occlusion of the right internal carotid artery. Following the resumption of adequate antiplatelet therapy, she underwent a second recanalization procedure, from which she recovered well, without any new neurologic deficits.
前言
颈内动脉闭塞所引起的脑梗死和短暂性脑缺血发作占颅内缺血事件总数的10%~15%,是造成缺血性卒中的主要原因之一。临床上通常结合患者的临床症状与影像学资料将病程持续超过4周的颈内动脉闭塞称为慢性颈内动脉闭塞,该类患者的自然病史和临床症状与颅内动脉侧支循环的代偿能力密切相关。对于部分症状性慢性颈内动脉闭塞患者,即使通过内科的系统治疗仍有较高再发缺血性卒中的风险。近年来,血管内再通技术治疗慢性颈内动脉闭塞成为关注的热点之一。
病例简介
患者:42岁女性。
主诉:反复右眼视物模糊伴左侧肢体活动不利一周。
现病史:患者于2023年11月无明显诱因反复出现右眼视物模糊,持续时间4-5分钟,未重视。2024年5月出现发作性左侧肢体无力,言语不清,口角流涎,查头颅MRA示右侧颈内动脉闭塞,右侧基底节区梗死。于2024-06-06行右侧颈内动脉闭塞开通术,术后恢复良好。2024-07-12复查颈动脉超声提示支架内通畅。2024-08-07患者因反复鼻衄及周身瘀斑自行减双抗为单抗,2024-08-12再次出现右眼视物模糊伴左侧肢体活动不利,复查超声提示右侧颈内动脉支架内闭塞,为求进一步治疗来诊。
既往史:鼻咽癌放疗史10年,慢性鼻窦炎。
查体:双耳听力下降,余无阳性体征。
初步诊断:右侧颈内动脉支架内闭塞。
术前影像学资料
2024-05-24 MRA提示右侧颈内动脉闭塞

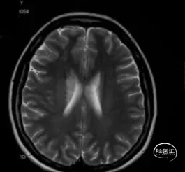
2024-05-24 MRI示右侧基底节区梗塞灶








2024-06-05 CTP提示右侧大脑半球显著低灌TTP延迟>4S

2024-06-06 DSA:左侧A1纤细,通过前交通向右侧少量代偿供血


椎动脉造影提示后循环通过软脑膜支及胼周动脉代偿右侧前循环


右侧颈总动脉造影见颈外动脉通过眼动脉向颅内代偿,颈内动脉闭塞,Hasan分型B型


6F Envoy导引导管到位后,微导丝通过闭塞段,引导微导管到达C6段,造影确认真腔


璞慧微导丝技术送至M1段,撤出微导管送入Sacspeed 2.5/15:Sacspeed 2.5mm/15mm球囊自远及近扩张




球扩成型后,依次植入Wallstent 7/50、7/30


C1段支架成型满意,但C3段仍狭窄,植入Apollo 3/23球扩支架


术后影像


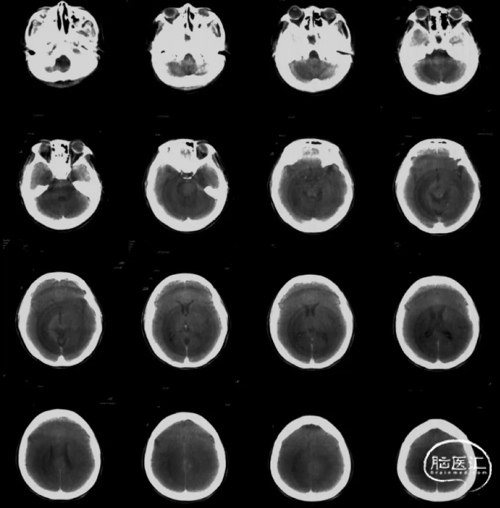
术后CT未见明显异常

患者术后恢复良好,无新发神经功能障碍,术后2天好转出院。出院后嘱患者规范服用阿司匹林肠溶片100mg qd及氯吡格雷片75mg qd。嘱患者术后一月门诊复查彩超。
二次手术术前影像
2024-07-12 复查彩超提示支架内血流通畅
2024-08-12 出现发作性视物模糊、左侧肢体活动不利伴言语不清、口角流涎
2024-08-14 复查彩超提示支架内闭塞
2024-08-19 入院查MR未见新发梗死灶

头颅CTP提示右侧大脑半球TTP延迟>4S

术前药物准备
术前5天,阿司匹林100mg qd+氯吡格雷75mg qd,血小板AA及ADP抑制率达标。术前AA抑制率56.8%,ADP抑制率50.2%
治疗方案
1.该患者颈内动脉闭塞开通后减少抗板药物后再次闭塞,CTP提示右侧大脑半球低灌注,头颅MR未见新发梗死灶。患者反复出现右眼视物模糊及左侧肢体活动不利,右侧颈内动脉为责任血管,有再次行右侧颈内动脉闭塞开通术的指征。
2.患者右侧颈内动脉再闭塞时间在一周左右,闭塞段内可能有大量新鲜血栓形成,开通过程中需要行近端/远端保护,防止血栓逃逸。
3.手术拟先行中间导管抽吸,清除近端血栓后,微导管微导丝送至大脑中动脉,释放加奇取栓支架建立远端保护后,随后进行近端血管成型,必要时支架植入。
手术难点
1.中间导管难以越过阿波罗支架,支架内血栓难以完全清除,取栓支架回收困难。
器械材料和设备
1、通路导管:GMax088
2、球囊扩张导管NC trek3/12,NC trek 2/12
3、微导丝:synchro-standard
4、抽吸导管:Catalysty7-115
5、远端保护装置:syphonet4/30
治疗过程
造影见右侧颈内动脉闭塞、颈内动脉开口可见残端,眼动脉向C6段代偿 Hasan分型为B型。


CAT7至C1-C2段多次负压抽吸,抽出大量血栓,C2段以远仍闭塞。


多次抽吸取出的血栓

在清除近端血栓后,微导丝谨慎通过闭塞段


微导丝引导微导管超选至M1段,造影确认真腔


将Syphonet 4*30支架释远端放在M1段,建立远端保护


造影见Apollo支架内狭窄伴血栓形成


3*12 NC-trek支架内扩张

再次造影见M1段闭塞,C6段血栓影,考虑血栓向远端移位,但被支架捕获。


拟将抽吸导管越过Apollo支架至血栓近端,但多次尝试CAT7均无法通过支架。后予2/12 NC-trek球囊部分充盈,辅助CAT7通过Apollo支架到达C6段,抽拉结合,取出血栓,随后恢复前向血流。



术后CT未见异常,患者无新发神经功能障碍。

术后药物指导
阿司匹林肠溶片100mg qd(长期)+氯吡格雷75mg qd(3月)+阿托伐他汀钙片20mg qn(长期)。
讨论
严格的手术指征把控、充分的术前评估、个体化的手术方案,是慢性颈内动脉闭塞成功开通的前提条件,也是提高患者获益率、降低手术并发症、保证手术安全性的关键因素。目前没有指南或高质量RCT研究对慢性颈内动脉闭塞开通给出统一方案,每一例手术都需要结合患者实际情况制定个性化的手术策略。慢性颈内动脉闭塞开通仍然是神经介入的一个难点,虽然目前已在全国范围内广泛开展,但仍然存在一定的“探索性”,最佳的药物治疗仍然是基石,颅内外血管吻合、血管内介入治疗、复合手术治疗都应在严格把控手术指征、术前充分评估的前提下进行。
学习要点
1、闭塞再通术后短期内再次闭塞患者闭塞段常伴有大量新鲜血栓形成,可当做急性颈内动脉闭塞处理。
2、小球囊充盈于抽吸导管头端,能有效辅助抽吸导管通过植入的支架,降低支架损伤及移位风险。
专家点评:刘建民教授
1.慢性颈内动脉闭塞开通术后再闭塞并不少见,该患者术后规范双抗一月后复查彩超提示支架内通畅,停药一周后即出现支架内闭塞。提示术后规范双抗治疗非常重要,即存在在其他双抗风险或不良反应,也应在充分评估风险获益比及替代方案后方可谨慎减少抗板药物。
2.慢性颈内动脉闭塞远近端保护装置可根据闭塞时间长短、高分辨磁共振、脑血管造影结果等多方面因素综合判断是否合并血栓而使用。
点评专家简历

刘建民
海军军医大学第一附属医院
主任医师,教授,博士生导师
现任海军军医大学第一附属医院脑血管病中心主任、战创伤中心主任
全军脑血管病研究所所长
中国医师协会介入医师分会副会长
中华医学会神经外科分会常务委员
上海市医师协会神经介入专业委员会会长
术者简介

黄清海
海军军医大学第一附属医院
海军军医大学附属长海医院脑血管病中心主任医师、教授,博士生导师
中华医学会神经外科分会神经介入学组副组长
上海医学会脑卒中分会副主任委员
《中国脑血管病杂志》杂志副主编

邹超
海军军医大学第一附属医院
医学硕士,海军军医大学第一附属医院(上海长海医院)脑血管病中心副主任医师。擅长脑血管病外科及介入治疗。多次在国内外学术大会上进行学术交流和手术演示。以长海介入团队参与人身份先后获上海市科学技术成果奖、科学技术进步一等奖和上海市科学技术奖。参加军队和地方各类课题10余项。参编脑防委介入治疗适宜技术、脑血管病介入治疗操作规范、颅内动脉瘤介入治疗学等专著;发表国内外文章十余篇。

姜山
连云港市中医院
医学博士,连云港市中医院副主任中医师。擅长脑血管病介入治疗。参与及主持各级课题5项。负责连云港市中医院卒中绿色通道建设及管理工作。以第一作者及通讯作者发表国内外期刊论文多篇。

肖健豪
上海市浦东医院
医学硕士,上海市浦东医院神经内科主治医师,主要从事急性脑血管病的急诊溶栓、介入诊治和常见神经内科常见病的治疗。以第一作者发表SCI论文2篇,核心期刊4篇。
点击上方图片

声明:脑医汇旗下神外资讯、神介资讯、脑医咨询、Ai Brain 所发表内容之知识产权为脑医汇及主办方、原作者等相关权利人所有。










