病例展播
1
病例信息
患者:女性,82岁。
主诉:意识不清、右侧肢体活动不灵1小时。
现病史:患者凌晨4点半左右步行去卫生间,排便后突然出现右侧肢体活动不灵、言语含糊,逐渐意识不清,倒在卫生间地上,症状无缓解。家人发现后拨打120急送我院,急诊行头CT后,为进一步诊治收入我院。
既往史:心功能不全、持续性房颤病史5年。
查体:昏睡,混合性失语,双眼向左凝视,右侧中枢性面舌瘫。肌力、左上肢肌力Ⅲ级,左下肢肌力Ⅲ级,右上肢肌力0级,右下肢肌力0级。Babinski征(L-R+),NIHSS评分23分。发病前mRS评分0分,GCS评分10分(E3V1M6)。
辅助检查:血液分析、肝肾功、血凝未见明显异常;心电图:房颤 ST-T改变。

2
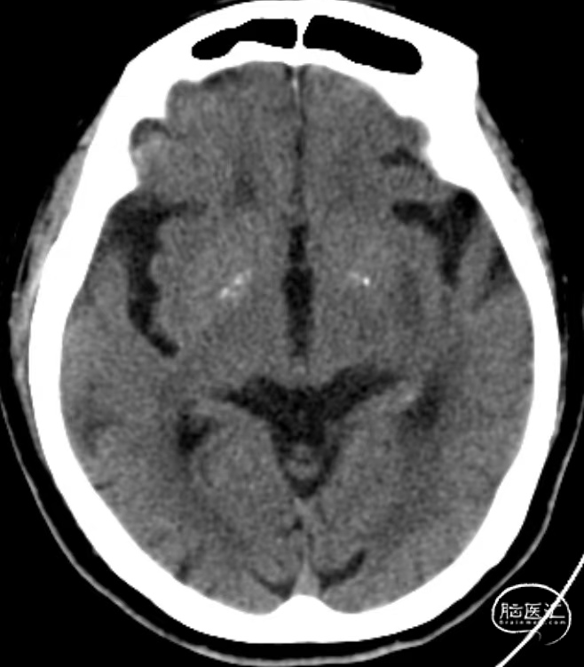
术前影像
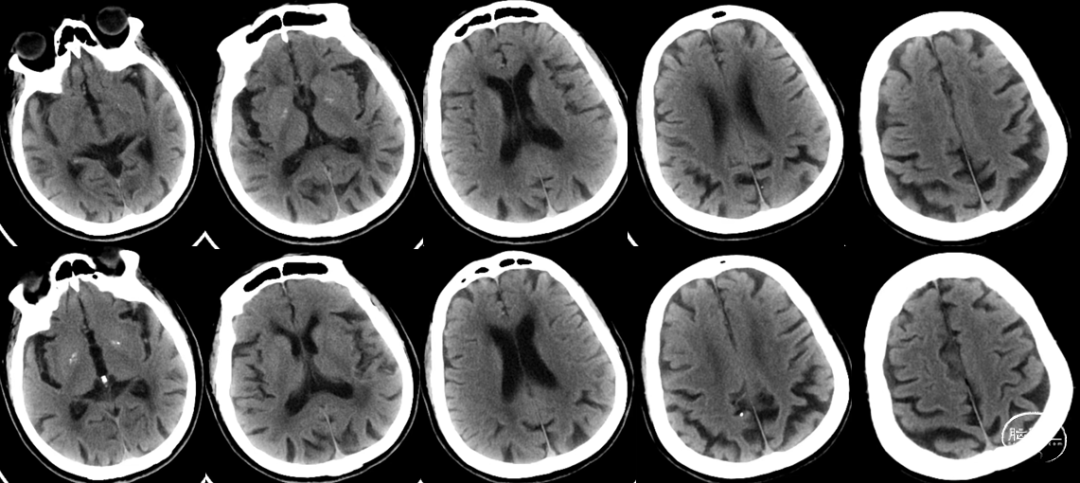
入院时CT:ASPECTS 10分。
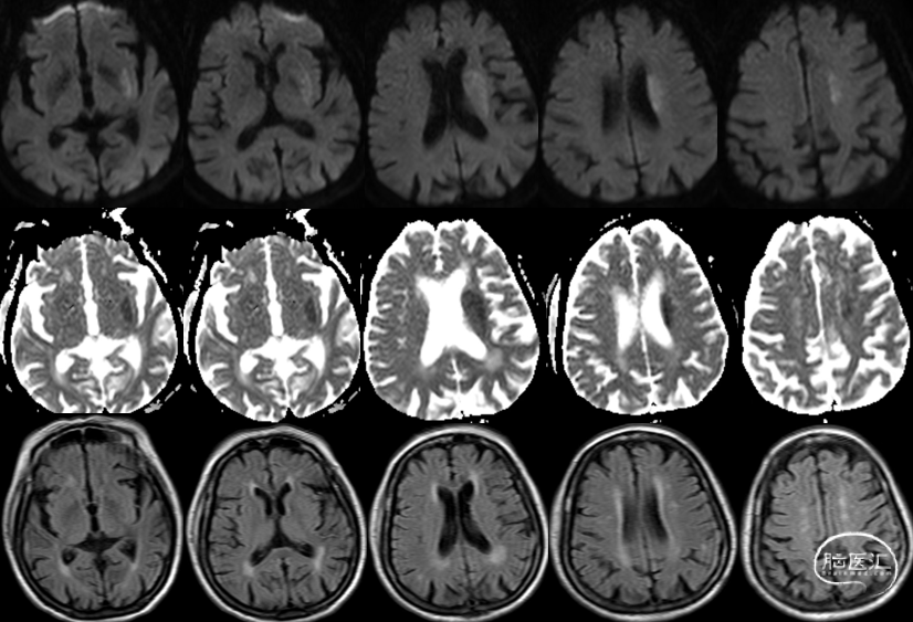
术前MRI
术前MRA:左侧大脑中动脉闭塞。
术前DSA造影(评估病变及代偿):Ⅰ型弓,左侧大脑中动脉闭塞;软脑膜动脉对其部分代偿,ASITN/SIR 1级。


术前DSA造影


3
术前诊断&治疗
急性左侧大脑中动脉闭塞脑梗死
颈内动脉系统
大动脉粥样硬化型或心源性栓塞
· 存在静脉溶栓适应证,排除禁相关忌症。征得患者家属知情同意后,立即启动TNK静脉溶栓治疗。
· 患者体重:70kg;TNK:0.25mg/kg,总量17.5mg,立即静推。
4
术中器械
· 5*33mm 取栓支架
5
治疗过程
微导丝携带微导管通过闭塞段后,冒烟提示真腔,植入5*33mm 取栓支架后造影。


0.6ml打起8F 通桥大禹™球囊导引导管,6F 115 通桥银蛇®颅内支持导管抽吸血栓,回拉取栓支架,一次再通。


回退BGC球囊至颈总动脉,正侧位造影,达到TICI3级,远端血流稳定。


卒中诊疗过程。
取出的血栓。
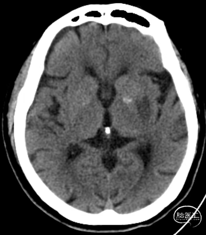
术后即刻复查CT,未见出血及造影剂渗出。




6
术后情况
⑤ 平时血压在130/80mmHg左右,术后控制血压维持在110-120/70-60mmHg。
查体:神志清楚,言语流利,双侧瞳孔等大正圆,直径约3.0mm,双眼活动正常,无面舌瘫,四肢肢体肌力5级。NIHSS评分0分,mRS评分0分。
术者简介
姜永宁
丹东市中心医院
神经内科三病区,主任医师
专业方面:脑血管病、癫痫
中国医师协会神经病学分会委员、中国医师协会神经介入专业委员会委员、中国抗癫痫协会委员、辽宁省红十字基金会神经介入专业委员会委员、丹东市医学会神经病学分会委员兼秘书、丹东市脑卒中质控中心委员会委员
曾先后在北京协和医院、中国医科大学附属第一医院、吉林大学白求恩附属第一医院进修学习。开展动脉桥接取栓、颅内外段血管支架植入治疗,在丹东市率先开展经桡动脉神经介入治疗及颅内动脉慢闭开通治疗。在国家卫健委举办的第三届神经介入手术大赛全国半决赛(东北赛区)第三名。承担六项国家级课题项目,承担丹东市科技局立项一项、丹东市社科联立项一项。参与辽宁省继续教育项目一项,承担市级继续教育项目三项
《神经内科特色诊疗技术与应用》主编,发表SCI三篇及多篇核心、国家级论文
本内容仅供医学专业人士作线上专业交流
本内容不向非医学专业人士开放,敬请理解
讲课内容仅代表专家个人观点,非通桥医疗推广产品

声明:脑医汇旗下神外资讯、神介资讯、脑医咨询、Ai Brain 所发表内容之知识产权为脑医汇及主办方、原作者等相关权利人所有。
投稿邮箱:NAOYIHUI@163.com
未经许可,禁止进行转载、摘编、复制、裁切、录制等。经许可授权使用,亦须注明来源。欢迎转发、分享。
投稿/会议发布,请联系400-888-2526转3。